Loading...

SR497

Cohen Syndrome (IB9)

Male

Male

SR497

Cohen Syndrome (IB9)

Male

Male

Visit at age: 17 years

Fundus Photography - Right - 20/40

Exemplar

Fundus Photography - Left - 20/50

Exemplar

Goldmann Visual Field - Right - 20/40

Exemplar

Goldmann Visual Field - Left - 20/50

Exemplar

Optical Coherence Tomography - Right - 20/40

Exemplar / OCT Stack
OCT Stack

Optical Coherence Tomography - Left - 20/50

Exemplar / OCT Stack
OCT Stack

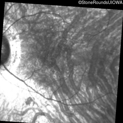
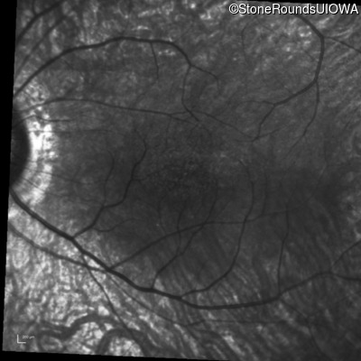
Infrared Fundus Photograph - Right - 20/40

Exemplar

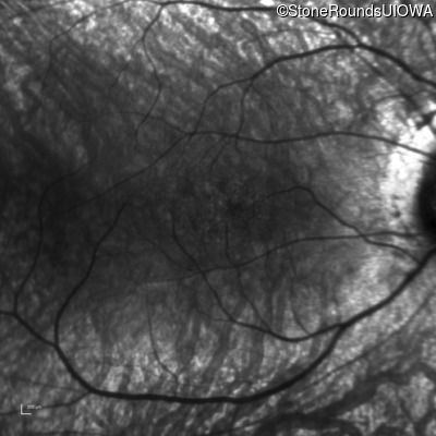
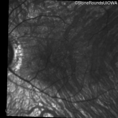
Infrared Fundus Photograph - Left - 20/50

Exemplar

Visit at age: 18 years

Fundus Photography - Right - 20/125 sc

Exemplar

Fundus Photography - Left - 20/100 sc

Exemplar

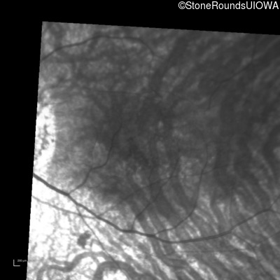
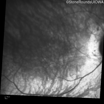
Fundus Montage - Right - 20/125 sc

Exemplar

Fundus Montage - Left - 20/100 sc

Exemplar

Goldmann Visual Field - Right - 20/125 sc

Exemplar

Goldmann Visual Field - Left - 20/100 sc

Exemplar

Optical Coherence Tomography - Right - 20/125 sc

Exemplar / OCT Stack
OCT Stack
OCT Stack
OCT Stack
OCT Stack
OCT Stack

Optical Coherence Tomography - Left - 20/100 sc

Exemplar / OCT Stack
OCT Stack
OCT Stack
OCT Stack
OCT Stack
OCT Stack

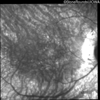
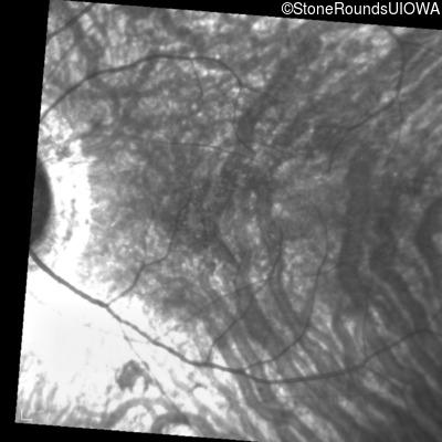
Infrared Fundus Photograph - Right - 20/125 sc

Exemplar

Infrared Fundus Photograph - Left - 20/100 sc

Exemplar

Visit at age: 19 years

Goldmann Visual Field - Right - 20/80 sc

Exemplar

Goldmann Visual Field - Left - 20/100 sc

Exemplar

Optical Coherence Tomography - Right - 20/80 sc

Exemplar / OCT Stack
OCT Stack
OCT Stack

Optical Coherence Tomography - Left - 20/100 sc

Exemplar / OCT Stack
OCT Stack
OCT Stack

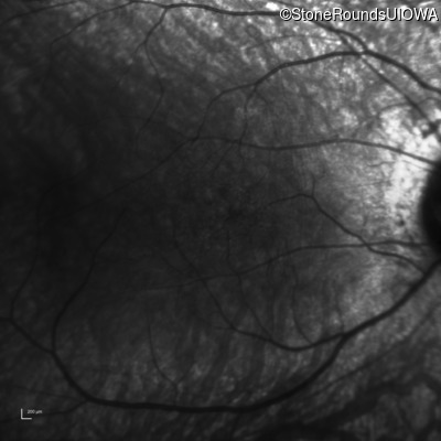
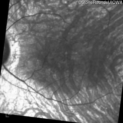
Infrared Fundus Photograph - Right - 20/80 sc

Exemplar

Infrared Fundus Photograph - Left - 20/100 sc

Exemplar

Visit at age: 21 years

Goldmann Visual Field - Right - 10/40 sc

Exemplar

Goldmann Visual Field - Left - 10/40 sc

Exemplar

Optical Coherence Tomography - Right - 10/40 sc

Exemplar / OCT Stack
OCT Stack

Optical Coherence Tomography - Left - 10/40 sc

Exemplar / OCT Stack
OCT Stack

Infrared Fundus Photograph - Right - 10/40 sc

Exemplar

Infrared Fundus Photograph - Left - 10/40 sc

Exemplar

Visit at age: 23 years

Goldmann Visual Field - Right - 10/40 sc

Exemplar

Goldmann Visual Field - Left - 10/40 sc

Exemplar

Optical Coherence Tomography - Right - 10/40 sc

Exemplar / OCT Stack
OCT Stack
OCT Stack

Optical Coherence Tomography - Left - 10/40 sc

Exemplar / OCT Stack
OCT Stack
OCT Stack

Infrared Fundus Photograph - Right - 10/40 sc

Exemplar

Infrared Fundus Photograph - Left - 10/40 sc

Exemplar

Visit at age: 25 years

Goldmann Visual Field - Right - 10/40 sc

Exemplar

Goldmann Visual Field - Left - 10/40 sc

Exemplar

Optical Coherence Tomography - Right - 10/40 sc

Exemplar / OCT Stack
OCT Stack
OCT Stack

Optical Coherence Tomography - Left - 10/40 sc

Exemplar / OCT Stack
OCT Stack
OCT Stack

Infrared Fundus Photograph - Right - 10/40 sc

Exemplar

Infrared Fundus Photograph - Left - 10/40 sc

Exemplar

Case Level Images

Diagnosis & molecular findings

Disease Gene Allele 1 variant(s) Allele 2 variant(s) Inheritance mode
Cohen Syndrome VPS13B Gln3453 del1ctgC Lys1129Arg AAG>AGG AR
Disease:
Gene:
Allele 1:
Gln3453 del1ctgC
Allele 2:
Lys1129Arg AAG>AGG
Inheritance:
AR
Cite this case