Loading...

SR568

AR Retinitis Pigmentosa (IA1aiii)

Female

Female

SR568

AR Retinitis Pigmentosa (IA1aiii)

Female

Female

Visit at age: 25 years

Goldmann Visual Field - Right - 20/30 -1

Exemplar

Goldmann Visual Field - Left - 20/40

Exemplar

Visit at age: 28 years

Goldmann Visual Field - Right - 20/50 +2

Exemplar

Goldmann Visual Field - Left - 20/70 +2

Exemplar

Visit at age: 29 years

Goldmann Visual Field - Right - 20/40 -1

Exemplar

Goldmann Visual Field - Left - 20/50 -2

Exemplar

Visit at age: 29 years (Visit 2)

Goldmann Visual Field - Right - 20/50

Exemplar

Goldmann Visual Field - Left - 20/100

Exemplar

Visit at age: 31 years

Goldmann Visual Field - Right - 20/40 -2

Exemplar

Goldmann Visual Field - Left - 20/300

Exemplar

Visit at age: 33 years

Goldmann Visual Field - Right - 20/60 +2

Exemplar

Goldmann Visual Field - Left - 20/200

Exemplar

Visit at age: 35 years

Goldmann Visual Field - Right - 20/60 +2

Exemplar

Goldmann Visual Field - Left - 20/200

Exemplar

Visit at age: 37 years

Goldmann Visual Field - Right - Count Fingers 1'

Exemplar

Goldmann Visual Field - Left - 20/300

Exemplar

Visit at age: 39 years

Goldmann Visual Field - Right - 20/300

Exemplar

Goldmann Visual Field - Left - Light Perception

Exemplar

Visit at age: 42 years

Goldmann Visual Field - Right - Light Perception

Exemplar

Goldmann Visual Field - Left - Light Perception

Exemplar

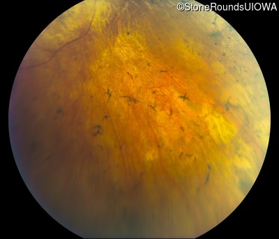
Visit at age: 51 years

Fundus Photography - Right - Light Perception

Exemplar

Fundus Photography - Left - Light Perception

Exemplar

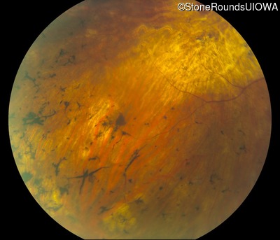
Visit at age: 61 years

Fundus Photography - Right - Light Perception

Exemplar

Fundus Photography - Left - Light Perception

Exemplar

Fundus Montage - Right - Light Perception

Exemplar

Fundus Montage - Left - Light Perception

Exemplar

Optical Coherence Tomography - Right - Light Perception

Exemplar / OCT Stack

Optical Coherence Tomography - Left - Light Perception

Exemplar / OCT Stack

Infrared Fundus Photograph - Right - Light Perception

Exemplar

Infrared Fundus Photograph - Left - Light Perception

Exemplar

Visit at age: 65 years

Optical Coherence Tomography - Right - No Light Perception

Exemplar / OCT Stack

Optical Coherence Tomography - Left - Light Perception

Exemplar / OCT Stack

Infrared Fundus Photograph - Right - No Light Perception

Exemplar

Infrared Fundus Photograph - Left - Light Perception

Exemplar

Visit at age: 67 years

Optical Coherence Tomography - Right - Light Perception

Exemplar / OCT Stack
OCT Stack

Optical Coherence Tomography - Left - Light Perception

Exemplar / OCT Stack
OCT Stack

Infrared Fundus Photograph - Right - Light Perception

Exemplar

Infrared Fundus Photograph - Left - Light Perception

Exemplar

Visit at age: 70 years

Optical Coherence Tomography - Right - Light Perception

Exemplar / OCT Stack
OCT Stack

Optical Coherence Tomography - Left - Light Perception

Exemplar / OCT Stack
OCT Stack

Infrared Fundus Photograph - Right - Light Perception

Exemplar

Infrared Fundus Photograph - Left - Light Perception

Exemplar

Visit at age: 72 years

Optical Coherence Tomography - Right - Light Perception

Exemplar / OCT Stack
OCT Stack
OCT Stack

Optical Coherence Tomography - Left - Light Perception

Exemplar / OCT Stack
OCT Stack
OCT Stack

Infrared Fundus Photograph - Right - Light Perception

Exemplar

Infrared Fundus Photograph - Left - Light Perception

Exemplar

Visit at age: 74 years

Optical Coherence Tomography - Right - No Light Perception

Exemplar / OCT Stack
OCT Stack

Optical Coherence Tomography - Left - No Light Perception

Exemplar / OCT Stack
OCT Stack

Infrared Fundus Photograph - Right - No Light Perception

Exemplar

Infrared Fundus Photograph - Left - No Light Perception

Exemplar

Visit at age: 76 years

Optical Coherence Tomography - Right - No Light Perception

Exemplar / OCT Stack
OCT Stack

Optical Coherence Tomography - Left - No Light Perception

Exemplar / OCT Stack
OCT Stack

Infrared Fundus Photograph - Right - No Light Perception

Exemplar

Infrared Fundus Photograph - Left - No Light Perception

Exemplar

Case Level Images

Diagnosis & molecular findings

Disease Gene Allele 1 variant(s) Allele 2 variant(s) Inheritance mode
AR Retinitis Pigmentosa CDHR1 Gln175 ins1cA IVS12-1 G>A AR
Gene:
Allele 1:
Gln175 ins1cA
Allele 2:
IVS12-1 G>A
Inheritance:
AR
Cite this case