Loading...

SR627

SECORD (IA2b)

Female

Female

SR627

SECORD (IA2b)

Female

Female

Visit at age: 26 years

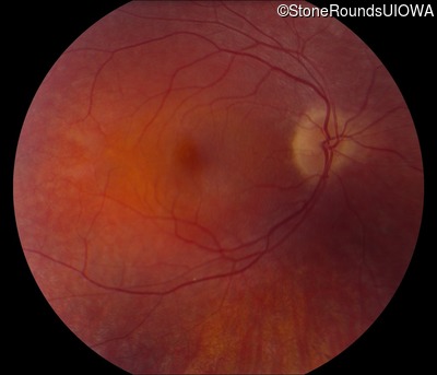
Fundus Photography - Right - 1/700 sc

Exemplar

Fundus Photography - Left - 1/700 sc

Exemplar

Fundus Montage - Right - 1/700 sc

Exemplar

Fundus Montage - Left - 1/700 sc

Exemplar

Optical Coherence Tomography - Right - 1/700 sc

Exemplar

Optical Coherence Tomography - Left - 1/700 sc

Exemplar

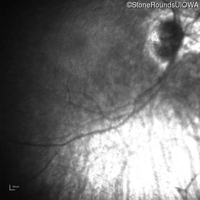
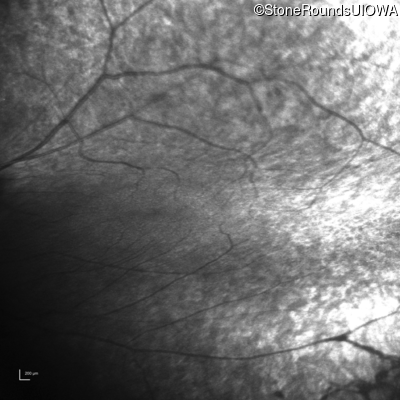
Infrared Fundus Photograph - Right - 1/700 sc

Exemplar

Visit at age: 27 years

Optical Coherence Tomography - Right - Light Perception

Exemplar

Optical Coherence Tomography - Left - Light Perception

Exemplar

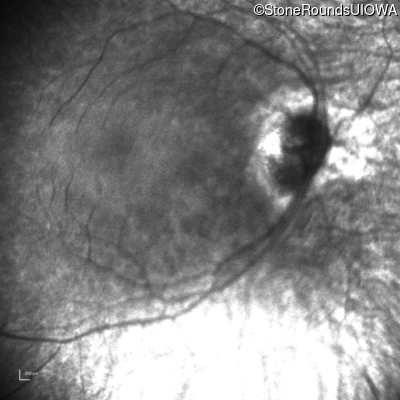
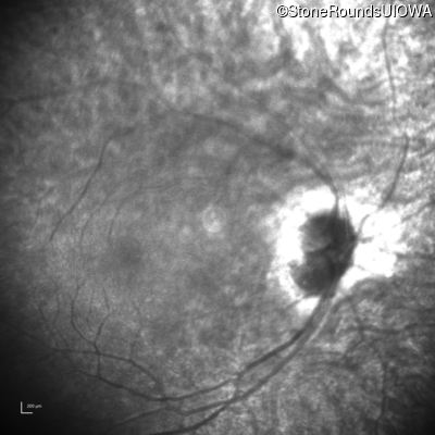
Infrared Fundus Photograph - Right - Light Perception

Exemplar

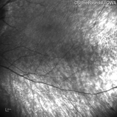
Infrared Fundus Photograph - Left - Light Perception

Exemplar

Visit at age: 28 years

Optical Coherence Tomography - Right - Light Perception

Exemplar / OCT Stack
OCT Stack

Optical Coherence Tomography - Left - Light Perception

Exemplar / OCT Stack
OCT Stack
OCT Stack

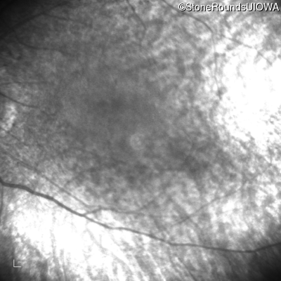
Infrared Fundus Photograph - Right - Light Perception

Exemplar

Infrared Fundus Photograph - Left - Light Perception

Exemplar

Visit at age: 30 years

Optical Coherence Tomography - Right - Light Perception

Exemplar / OCT Stack
OCT Stack

Optical Coherence Tomography - Left - Light Perception

Exemplar / OCT Stack

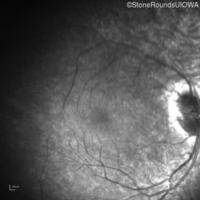
Infrared Fundus Photograph - Right - Light Perception

Exemplar

Infrared Fundus Photograph - Left - Light Perception

Exemplar

Visit at age: 33 years

Optical Coherence Tomography - Left - Light Perception

Exemplar / OCT Stack

Infrared Fundus Photograph - Left - Light Perception

Exemplar

Diagnosis & molecular findings

Disease Gene Allele 1 variant(s) Allele 2 variant(s) Inheritance mode
SECORD RPGRIP1 His631Arg CAC>CGC Pro237 del1ccA AR
Disease:
Gene:
Allele 1:
His631Arg CAC>CGC
Allele 2:
Pro237 del1ccA
Inheritance:
AR
Cite this case