Loading...

SR671

XL Congenital Stationary Night Blindness (IA2fi)

Male

Male

SR671

XL Congenital Stationary Night Blindness (IA2fi)

Male

Male

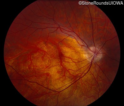
Visit at age: 8 years

Fundus Photography - Right - 20/30 +1

Exemplar

Fundus Photography - Left - 20/30

Exemplar

Visit at age: 11 years

ERG - Right - 20/30 +2

Exemplar

ERG - Left - 20/25

Exemplar

Visit at age: 17 years

Fundus Photography - Right - 20/30 -2

Exemplar

Fundus Photography - Left - 20/25 -2

Exemplar

Goldmann Visual Field - Right - 20/30 -2

Exemplar

Goldmann Visual Field - Left - 20/25 -2

Exemplar

Visit at age: 20 years

Goldmann Visual Field - Right - 20/30 -1

Exemplar

Goldmann Visual Field - Left - 20/40

Exemplar

Visit at age: 25 years

Fundus Photography - Right - 20/25 -1

Exemplar

Fundus Photography - Left - 20/30

Exemplar

Goldmann Visual Field - Right - 20/25 -1

Exemplar

Goldmann Visual Field - Left - 20/30

Exemplar

Optical Coherence Tomography - Right - 20/25 -1

Exemplar / OCT Stack
OCT Stack

Optical Coherence Tomography - Left - 20/30

Exemplar / OCT Stack
OCT Stack

Infrared Fundus Photograph - Right - 20/25 -1

Exemplar

Infrared Fundus Photograph - Left - 20/30

Exemplar

Visit at age: 28 years

Fundus Photography - Right - 20/32 -1

Exemplar

Fundus Photography - Left - 20/32

Exemplar

Fundus Montage - Right - 20/32 -1

Exemplar

Fundus Montage - Left - 20/32

Exemplar

Goldmann Visual Field - Right - 20/32 -1

Exemplar

Goldmann Visual Field - Left - 20/32

Exemplar

Optical Coherence Tomography - Right - 20/32 -1

Exemplar / OCT Stack
OCT Stack

Optical Coherence Tomography - Left - 20/32

Exemplar / OCT Stack

Infrared Fundus Photograph - Right - 20/32 -1

Exemplar

Infrared Fundus Photograph - Left - 20/32

Exemplar

Case Level Images

Diagnosis & molecular findings

Disease Gene Allele 1 variant(s) Allele 2 variant(s) Inheritance mode
XL Congenital Stationary Night Blindness NYX Leu307Arg CTG>CGG   XL
Gene:
Allele 1:
Leu307Arg CTG>CGG
Allele 2:
 
Inheritance:
XL
Cite this case