Loading...

SR703

Leber Congenital Amaurosis (IA2a)

Female

Female

SR703

Leber Congenital Amaurosis (IA2a)

Female

Female

Visit at age: 5 years

Fundus Photography - Right - Hand Motion 7" sc

Exemplar

Fundus Photography - Left - Hand Motion 7" sc

Exemplar

Visit at age: 6 years

Fundus Photography - Right - Hand Motion 1' sc

Exemplar

Fundus Photography - Left - Hand Motion 1' sc

Exemplar

Visit at age: 11 years

Fundus Photography - Right - Hand Motion 1' sc

Exemplar

Fundus Photography - Left - Hand Motion 1' sc

Exemplar

Visit at age: 13 years

Fundus Photography - Right - Hand Motion sc

Exemplar

Fundus Photography - Left - Hand Motion sc

Exemplar

Optical Coherence Tomography - Left - Hand Motion sc

Exemplar

Infrared Fundus Photograph - Left - Hand Motion sc

Exemplar

Visit at age: 16 years

Optical Coherence Tomography - Right - Hand Motion 1' sc

Exemplar / OCT Stack
OCT Stack
OCT Stack
OCT Stack
OCT Stack

Optical Coherence Tomography - Left - Hand Motion 6" sc

Exemplar / OCT Stack
OCT Stack

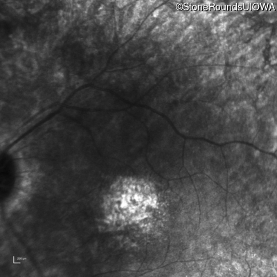
Infrared Fundus Photograph - Right - Hand Motion 1' sc

Exemplar

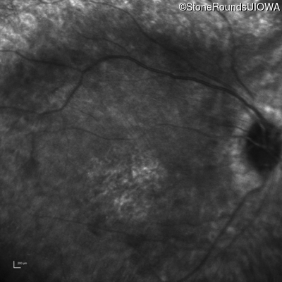
Infrared Fundus Photograph - Left - Hand Motion 6" sc

Exemplar

Visit at age: 19 years

Optical Coherence Tomography - Right - Hand Motion sc

Exemplar / OCT Stack
OCT Stack

Optical Coherence Tomography - Left - Hand Motion sc

Exemplar

Infrared Fundus Photograph - Right - Hand Motion sc

Exemplar

Infrared Fundus Photograph - Left - Hand Motion sc

Exemplar

Case Level Images

Diagnosis & molecular findings

Disease Gene Allele 1 variant(s) Allele 2 variant(s) Inheritance mode
Leber Congenital Amaurosis AIPL1 IVS2-2 A>G Trp278Stop TGG>TGA AR
Gene:
Allele 1:
IVS2-2 A>G
Allele 2:
Trp278Stop TGG>TGA
Inheritance:
AR
Cite this case