Loading...

SR717

AD Retinitis Pigmentosa (IA1aii)

Male

Male

SR717

AD Retinitis Pigmentosa (IA1aii)

Male

Male

Visit at age: 36 years

Goldmann Visual Field - Right - 20/15 -2

Exemplar

Goldmann Visual Field - Left - 20/25

Exemplar

Visit at age: 37 years

Fundus Photography - Right - 20/20

Exemplar

Fundus Photography - Left - 20/20 -3

Exemplar

Visit at age: 41 years

Goldmann Visual Field - Right - 20/20 -1

Exemplar

Goldmann Visual Field - Left - 20/20 -2 sc

Exemplar

Visit at age: 44 years

Goldmann Visual Field - Right - 20/20 -1

Exemplar

Goldmann Visual Field - Left - 20/25 +2

Exemplar

Visit at age: 47 years

Goldmann Visual Field - Right - 20/25

Exemplar

Goldmann Visual Field - Left - 20/25

Exemplar

Visit at age: 49 years

Goldmann Visual Field - Right - 20/20 -1

Exemplar

Goldmann Visual Field - Left - 20/25 +1

Exemplar

Visit at age: 49 years (Visit 2)

Fundus Photography - Right - 20/20 -2

Exemplar

Fundus Photography - Left - 20/30 +2

Exemplar

Fundus Montage - Right - 20/20 -2

Exemplar

Fundus Montage - Left - 20/30 +2

Exemplar

Goldmann Visual Field - Right - 20/20 -2

Exemplar

Goldmann Visual Field - Left - 20/30 +2

Exemplar

Optical Coherence Tomography - Right - 20/20 -2

Exemplar / OCT Stack
OCT Stack

Optical Coherence Tomography - Left - 20/30 +2

Exemplar / OCT Stack
OCT Stack

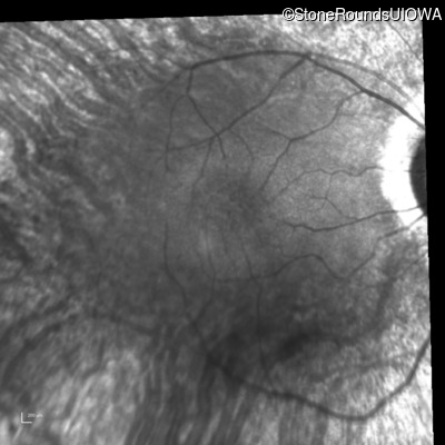
Infrared Fundus Photograph - Right - 20/20 -2

Exemplar

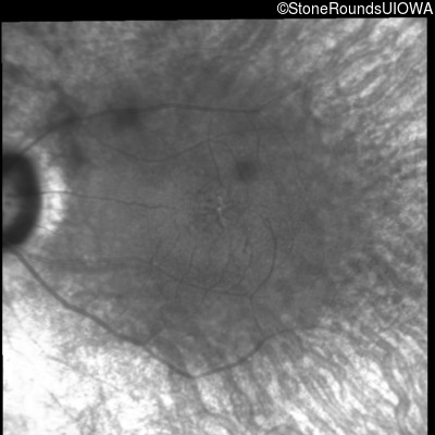
Infrared Fundus Photograph - Left - 20/30 +2

Exemplar

Visit at age: 50 years

Optical Coherence Tomography - Right - 20/40 +2

Exemplar / OCT Stack
OCT Stack

Optical Coherence Tomography - Left - 20/30

Exemplar / OCT Stack
OCT Stack

Infrared Fundus Photograph - Right - 20/40 +2

Exemplar

Infrared Fundus Photograph - Left - 20/30

Exemplar

Visit at age: 51 years

Goldmann Visual Field - Right - 20/20

Exemplar

Goldmann Visual Field - Left - 20/25 -1

Exemplar

Visit at age: 51 years (Visit 2)

Optical Coherence Tomography - Right - 20/20 -2

Exemplar / OCT Stack
OCT Stack

Optical Coherence Tomography - Left - 20/40 +2

Exemplar / OCT Stack
OCT Stack

Infrared Fundus Photograph - Right - 20/20 -2

Exemplar

Infrared Fundus Photograph - Left - 20/40 +2

Exemplar

Visit at age: 53 years

Goldmann Visual Field - Right - 20/20 -1

Exemplar

Goldmann Visual Field - Left - 20/25 -1

Exemplar

Optical Coherence Tomography - Right - 20/20 -1

Exemplar / OCT Stack
OCT Stack
OCT Stack

Optical Coherence Tomography - Left - 20/25 -1

Exemplar / OCT Stack
OCT Stack
OCT Stack

Infrared Fundus Photograph - Right - 20/20 -1

Exemplar

Infrared Fundus Photograph - Left - 20/25 -1

Exemplar

Visit at age: 55 years

Goldmann Visual Field - Right - 20/25 +1

Exemplar

Goldmann Visual Field - Left - 20/32 +2

Exemplar

Visit at age: 55 years (Visit 2)

Optical Coherence Tomography - Right - 20/20

Exemplar / OCT Stack
OCT Stack
OCT Stack

Optical Coherence Tomography - Left - 20/25 +2

Exemplar / OCT Stack
OCT Stack
OCT Stack

Infrared Fundus Photograph - Right - 20/20

Exemplar

Infrared Fundus Photograph - Left - 20/25 +2

Exemplar

Visit at age: 55 years (Visit 3)

Optical Coherence Tomography - Right - 20/20

Exemplar / OCT Stack
OCT Stack
OCT Stack

Optical Coherence Tomography - Left - 20/25 +2

Exemplar / OCT Stack
OCT Stack
OCT Stack
OCT Stack

Infrared Fundus Photograph - Right - 20/20

Exemplar

Infrared Fundus Photograph - Left - 20/25 +2

Exemplar

Visit at age: 57 years

Fundus Photography - Right - 20/32 +1

Exemplar

Fundus Photography - Left - 20/32 -2

Exemplar

Goldmann Visual Field - Right - 20/32 +1

Exemplar

Goldmann Visual Field - Left - 20/32 -2

Exemplar

Optical Coherence Tomography - Right - 20/32 +1

Exemplar / OCT Stack
OCT Stack

Optical Coherence Tomography - Left - 20/32 -2

Exemplar / OCT Stack
OCT Stack

Infrared Fundus Photograph - Right - 20/32 +1

Exemplar

Infrared Fundus Photograph - Left - 20/32 -2

Exemplar

Case Level Images

Diagnosis & molecular findings

Disease Gene Allele 1 variant(s) Allele 2 variant(s) Inheritance mode
AD Retinitis Pigmentosa PRPF31 Lys73Stop AAG>TAG   AD
Gene:
Allele 1:
Lys73Stop AAG>TAG
Allele 2:
 
Inheritance:
AD
Cite this case