SR716

Joubert Syndrome (IB5)

Male

Male

SR716

Joubert Syndrome (IB5)

Male

Male


Please Login or Register to download images or create a PowerPoint slideshow.


Visit at age: 16 years

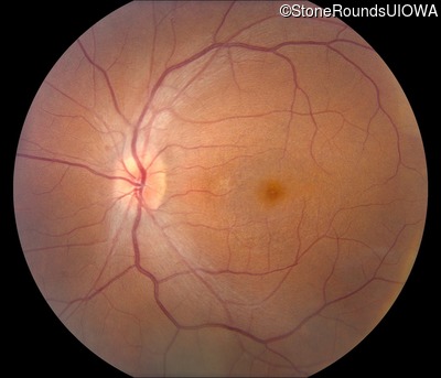
Fundus Photography - Right - 20/30 -2

Exemplar

Fundus Photography - Left - 20/50 -3

Exemplar

Optical Coherence Tomography - Right - 20/30 -2

Exemplar / OCT Stack
OCT Stack

Optical Coherence Tomography - Left - 20/50 -3

Exemplar / OCT Stack
OCT Stack

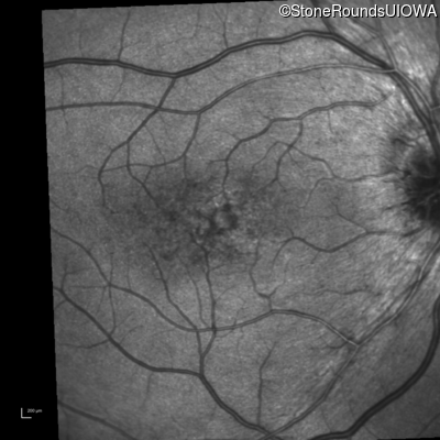
Infrared Fundus Photograph - Right - 20/30 -2

Exemplar

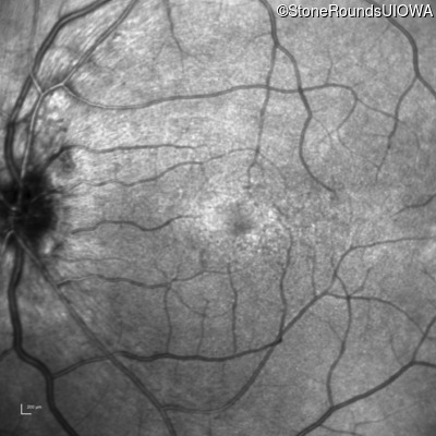
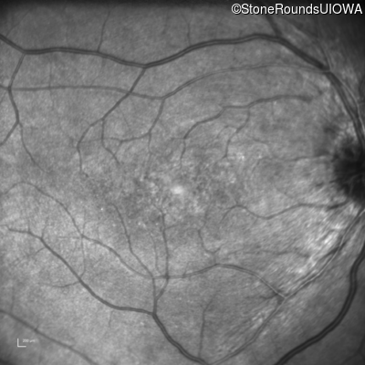
Infrared Fundus Photograph - Left - 20/50 -3

Exemplar

Visit at age: 16 years (Visit 2)

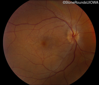
Fundus Photography - Right - 20/30 -1

Exemplar

Fundus Photography - Left - 20/60 +1

Exemplar

Fundus Montage - Right - 20/30 -1

Exemplar

Fundus Montage - Left - 20/60 +1

Exemplar

Goldmann Visual Field - Right - 20/30 -1

Exemplar

Goldmann Visual Field - Left - 20/60 +1

Exemplar

Optical Coherence Tomography - Right - 20/30 -1

Exemplar / OCT Stack
OCT Stack

Optical Coherence Tomography - Left - 20/60 +1

Exemplar / OCT Stack
OCT Stack

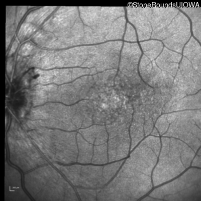
Infrared Fundus Photograph - Right - 20/30 -1

Exemplar

Infrared Fundus Photograph - Left - 20/60 +1

Exemplar

Visit at age: 16 years (Visit 3)

Optical Coherence Tomography - Right - 20/40 +2

Exemplar / OCT Stack
OCT Stack

Optical Coherence Tomography - Left - 20/50 +2

Exemplar / OCT Stack
OCT Stack

Infrared Fundus Photograph - Right - 20/40 +2

Exemplar

Infrared Fundus Photograph - Left - 20/50 +2

Exemplar

Visit at age: 17 years

Fundus Photography - Left - 20/50 +2

Exemplar

Fundus Montage - Left - 20/50 +2

Exemplar

Goldmann Visual Field - Right - 20/40 +2

Exemplar

Goldmann Visual Field - Left - 20/50 +2

Exemplar

Optical Coherence Tomography - Right - 20/40 +2

Exemplar / OCT Stack
OCT Stack
OCT Stack

Optical Coherence Tomography - Left - 20/50 +2

Exemplar / OCT Stack
OCT Stack
OCT Stack

Infrared Fundus Photograph - Right - 20/40 +2

Exemplar

Infrared Fundus Photograph - Left - 20/50 +2

Exemplar

Visit at age: 17 years (Visit 2)

Fundus Photography - Right - 20/30 -1

Exemplar

Fundus Photography - Left - 20/60

Exemplar

Fundus Montage - Right - 20/30 -1

Exemplar

Fundus Montage - Left - 20/60

Exemplar

Optical Coherence Tomography - Right - 20/30 -1

Exemplar / OCT Stack
OCT Stack
OCT Stack

Optical Coherence Tomography - Left - 20/60

Exemplar / OCT Stack
OCT Stack
OCT Stack

Infrared Fundus Photograph - Right - 20/30 -1

Exemplar

Infrared Fundus Photograph - Left - 20/60

Exemplar

Visit at age: 17 years (Visit 3)

Fundus Photography - Right - 20/30 -2

Exemplar

Fundus Photography - Left - 20/50 +2

Exemplar

Optical Coherence Tomography - Right - 20/30 -2

Exemplar / OCT Stack
OCT Stack
OCT Stack

Optical Coherence Tomography - Left - 20/50 +2

Exemplar / OCT Stack
OCT Stack
OCT Stack

Infrared Fundus Photograph - Right - 20/30 -2

Exemplar

Infrared Fundus Photograph - Left - 20/50 +2

Exemplar

Visit at age: 18 years

Fundus Photography - Right - 20/25 -3

Exemplar

Fundus Photography - Left - 20/40 +2

Exemplar

Optical Coherence Tomography - Right - 20/25 -3

Exemplar / OCT Stack
OCT Stack
OCT Stack

Optical Coherence Tomography - Left - 20/40 +2

Exemplar / OCT Stack
OCT Stack
OCT Stack

Infrared Fundus Photograph - Right - 20/25 -3

Exemplar

Infrared Fundus Photograph - Left - 20/40 +2

Exemplar

Visit at age: 19 years

Goldmann Visual Field - Right - 20/40 +1

Exemplar

Goldmann Visual Field - Left - 20/40 -1

Exemplar

Optical Coherence Tomography - Right - 20/40 +1

Exemplar / OCT Stack
OCT Stack
OCT Stack

Optical Coherence Tomography - Left - 20/40 -1

Exemplar / OCT Stack
OCT Stack
OCT Stack

Infrared Fundus Photograph - Right - 20/40 +1

Exemplar

Infrared Fundus Photograph - Left - 20/40 -1

Exemplar

Visit at age: 20 years

Goldmann Visual Field - Right - 20/32

Exemplar

Goldmann Visual Field - Left - 20/40

Exemplar

Optical Coherence Tomography - Right - 20/32

Exemplar / OCT Stack
OCT Stack
OCT Stack

Optical Coherence Tomography - Left - 20/40

Exemplar / OCT Stack
OCT Stack
OCT Stack

Infrared Fundus Photograph - Right - 20/32

Exemplar

Infrared Fundus Photograph - Left - 20/40

Exemplar

Visit at age: 23 years

Fundus Photography - Right - 20/32 -1

Exemplar

Fundus Photography - Left - 20/40 -1

Exemplar

Fundus Montage - Right - 20/32 -1

Exemplar

Fundus Montage - Left - 20/40 -1

Exemplar

Goldmann Visual Field - Right - 20/32 -1

Exemplar

Goldmann Visual Field - Left - 20/40 -1

Exemplar

Optical Coherence Tomography - Right - 20/32 -1

Exemplar / OCT Stack
OCT Stack
OCT Stack

Optical Coherence Tomography - Left - 20/40 -1

Exemplar / OCT Stack
OCT Stack
OCT Stack

Infrared Fundus Photograph - Right - 20/32 -1

Exemplar

Infrared Fundus Photograph - Left - 20/40 -1

Exemplar

Case Level Images


Please Login or Register to download images or create a PowerPoint slideshow.