SR2134

Enhanced S-Cone Syndrome (IA2fiv)

Female

Female

SR2134

Enhanced S-Cone Syndrome (IA2fiv)

Female

Female


Please Login or Register to download images or create a PowerPoint slideshow.


Visit at age: 6 years

Fundus Photography - Right - Count Fingers 3.5'

Exemplar

Fundus Photography - Left - 20/20 -2

Exemplar

Visit at age: 8 years

Fundus Photography - Right - Count Fingers 4'

Exemplar

Fundus Photography - Left - 20/25 -2

Exemplar

Visit at age: 9 years

Goldmann Visual Field - Right - Count Fingers 3'

Exemplar

Goldmann Visual Field - Left - 20/30 +2

Exemplar

Visit at age: 12 years

Fundus Photography - Right - Count Fingers 6"

Exemplar

Fundus Photography - Left - 20/25 -3

Exemplar

Visit at age: 13 years

Fundus Photography - Right - Count Fingers 2'

Exemplar

Fundus Photography - Left - 20/30 -2

Exemplar

Goldmann Visual Field - Right - Count Fingers 2'

Exemplar

Goldmann Visual Field - Left - 20/30 -2

Exemplar

Visit at age: 15 years

Goldmann Visual Field - Right - Count Fingers 5'

Exemplar

Goldmann Visual Field - Left - 20/30 +2

Exemplar

Visit at age: 16 years

Goldmann Visual Field - Right - Count Fingers 5'

Exemplar

Goldmann Visual Field - Left - 20/30

Exemplar

Visit at age: 18 years

Goldmann Visual Field - Right - Count Fingers 3'

Exemplar

Goldmann Visual Field - Left - 20/30

Exemplar

Visit at age: 20 years

Goldmann Visual Field - Right - Count Fingers 4'

Exemplar

Goldmann Visual Field - Left - 20/25 -2

Exemplar

Visit at age: 22 years

Goldmann Visual Field - Right - 20/400

Exemplar

Goldmann Visual Field - Left - 20/30

Exemplar

Visit at age: 29 years

Fundus Photography - Right - Count Fingers 2'

Exemplar

Fundus Photography - Left - 20/25 -3

Exemplar

Fundus Montage - Right - Count Fingers 2'

Exemplar

Fundus Montage - Left - 20/25 -3

Exemplar

Optical Coherence Tomography - Right - Count Fingers 2'

Exemplar / OCT Stack
OCT Stack

Optical Coherence Tomography - Left - 20/25 -3

Exemplar / OCT Stack
OCT Stack

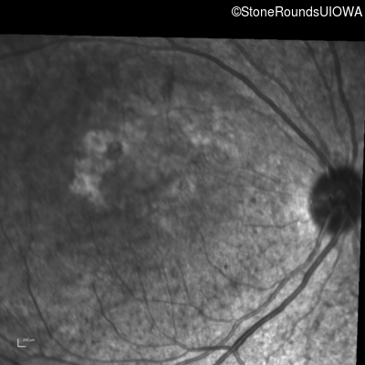
Infrared Fundus Photograph - Right - Count Fingers 2'

Exemplar

Infrared Fundus Photograph - Left - 20/25 -3

Exemplar

Visit at age: 30 years

Fundus Photography - Right - 5/200

Exemplar

Fundus Photography - Left - 20/25 -1

Exemplar

Goldmann Visual Field - Right - 5/200

Exemplar

Goldmann Visual Field - Left - 20/25 -1

Exemplar

Optical Coherence Tomography - Right - 5/200

Exemplar / OCT Stack
OCT Stack

Optical Coherence Tomography - Left - 20/25 -1

Exemplar / OCT Stack
OCT Stack

Infrared Fundus Photograph - Right - 5/200

Exemplar

Infrared Fundus Photograph - Left - 20/25 -1

Exemplar

Visit at age: 32 years

Goldmann Visual Field - Right - Count Fingers 1'

Exemplar

Goldmann Visual Field - Left - 20/20 -3

Exemplar

Optical Coherence Tomography - Right - Count Fingers 1'

Exemplar / OCT Stack
OCT Stack
OCT Stack

Optical Coherence Tomography - Left - 20/20 -3

Exemplar / OCT Stack
OCT Stack
OCT Stack

Infrared Fundus Photograph - Right - Count Fingers 1'

Exemplar

Infrared Fundus Photograph - Left - 20/20 -3

Exemplar

Case Level Images


Please Login or Register to download images or create a PowerPoint slideshow.