SR482

XL Retinoschisis (IIIB1)

Male

Male

SR482

Student Mode

1

XL Retinoschisis (IIIB1)

2

Male

Male


Please Login or Register to download images or create a PowerPoint slideshow.


Visit at age: 11 years

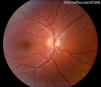
Fundus Photography - Right - 20/63 -2

Exemplar

Fundus Photography - Left - 20/50 -2

Exemplar

Fundus Montage - Right - 20/63 -2

Exemplar

Fundus Montage - Left - 20/50 -2

Exemplar

Goldmann Visual Field - Right - 20/63 -2

Exemplar

Goldmann Visual Field - Left - 20/50 -2

Exemplar

Optical Coherence Tomography - Right - 20/63 -2

Exemplar / OCT Stack
OCT Stack
OCT Stack
OCT Stack

Optical Coherence Tomography - Left - 20/50 -2

Exemplar / OCT Stack
OCT Stack
OCT Stack
OCT Stack

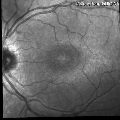
Infrared Fundus Photograph - Right - 20/63 -2

Exemplar

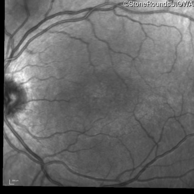
Infrared Fundus Photograph - Left - 20/50 -2

Exemplar

Visit at age: 13 years

Goldmann Visual Field - Right - 20/63 -2

Exemplar

Goldmann Visual Field - Left - 20/50

Exemplar

Optical Coherence Tomography - Right - 20/63 -2

Exemplar / OCT Stack
OCT Stack
OCT Stack

Optical Coherence Tomography - Left - 20/50

Exemplar / OCT Stack
OCT Stack
OCT Stack

Infrared Fundus Photograph - Right - 20/63 -2

Exemplar

Infrared Fundus Photograph - Left - 20/50

Exemplar

Visit at age: 15 years

Goldmann Visual Field - Right - 20/63 +1

Exemplar

Goldmann Visual Field - Left - 20/50

Exemplar

Optical Coherence Tomography - Right - 20/63 +1

Exemplar / OCT Stack
OCT Stack
OCT Stack

Optical Coherence Tomography - Left - 20/50

Exemplar / OCT Stack
OCT Stack
OCT Stack

Infrared Fundus Photograph - Right - 20/63 +1

Exemplar

Infrared Fundus Photograph - Left - 20/50

Exemplar

Visit at age: 17 years

Goldmann Visual Field - Right - 20/80 +1

Exemplar

Goldmann Visual Field - Left - 20/50 -1

Exemplar

Optical Coherence Tomography - Right - 20/80 +1

Exemplar / OCT Stack
OCT Stack
OCT Stack

Optical Coherence Tomography - Left - 20/50 -1

Exemplar / OCT Stack
OCT Stack
OCT Stack

Infrared Fundus Photograph - Right - 20/80 +1

Exemplar

Infrared Fundus Photograph - Left - 20/50 -1

Exemplar

Visit at age: 18 years

Goldmann Visual Field - Right - 20/80

Exemplar

Goldmann Visual Field - Left - 20/50 -1

Exemplar

Optical Coherence Tomography - Right - 20/80

Exemplar / OCT Stack
OCT Stack

Optical Coherence Tomography - Left - 20/50 -1

Exemplar / OCT Stack
OCT Stack

Infrared Fundus Photograph - Right - 20/80

Exemplar

Infrared Fundus Photograph - Left - 20/50 -1

Exemplar

Case Level Images


Please Login or Register to download images or create a PowerPoint slideshow.