SR1497

AR Stargardt Disease (IIA)

Male

Male

SR1497

AR Stargardt Disease (IIA)

Male

Male


Please Login or Register to download images or create a PowerPoint slideshow.


Visit at age: 12 years

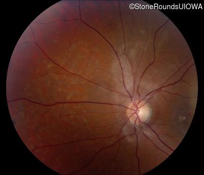
Fundus Photography - Right - 20/200 -3

Exemplar

Fundus Photography - Left - 20/200 -2

Exemplar

Fundus Montage - Right - 20/200 -3

Exemplar

Fundus Montage - Left - 20/200 -2

Exemplar

Goldmann Visual Field - Right - 20/200 -3

Exemplar

Goldmann Visual Field - Left - 20/200 -2

Exemplar

Optical Coherence Tomography - Right - 20/200 -3

Exemplar / OCT Stack
OCT Stack
OCT Stack

Optical Coherence Tomography - Left - 20/200 -2

Exemplar / OCT Stack

Infrared Fundus Photograph - Right - 20/200 -3

Exemplar

Infrared Fundus Photograph - Left - 20/200 -2

Exemplar

Visit at age: 13 years

Goldmann Visual Field - Right - 20/200 -3

Exemplar

Goldmann Visual Field - Left - 20/200 -2

Exemplar

Optical Coherence Tomography - Right - 20/200 -3

Exemplar / OCT Stack
OCT Stack

Optical Coherence Tomography - Left - 20/200 -2

Exemplar / OCT Stack
OCT Stack

Infrared Fundus Photograph - Right - 20/200 -3

Exemplar

Infrared Fundus Photograph - Left - 20/200 -2

Exemplar

Visit at age: 15 years

Goldmann Visual Field - Right - 10/200

Exemplar

Goldmann Visual Field - Left - 10/125 -2

Exemplar

Optical Coherence Tomography - Right - 10/200

Exemplar / OCT Stack
OCT Stack
OCT Stack

Optical Coherence Tomography - Left - 10/125 -2

Exemplar / OCT Stack
OCT Stack
OCT Stack

Infrared Fundus Photograph - Right - 10/200

Exemplar

Infrared Fundus Photograph - Left - 10/125 -2

Exemplar

Visit at age: 18 years

Goldmann Visual Field - Right - 10/200

Exemplar

Goldmann Visual Field - Left - 10/125 -1

Exemplar

Optical Coherence Tomography - Right - 10/200

Exemplar / OCT Stack
OCT Stack
OCT Stack

Optical Coherence Tomography - Left - 10/125 -1

Exemplar / OCT Stack
OCT Stack
OCT Stack

Infrared Fundus Photograph - Right - 10/200

Exemplar

Infrared Fundus Photograph - Left - 10/125 -1

Exemplar

Case Level Images


Please Login or Register to download images or create a PowerPoint slideshow.