SR1856

AR Retinitis Pigmentosa (IA1aiii)

Female

Female

SR1856

AR Retinitis Pigmentosa (IA1aiii)

Female

Female


Please Login or Register to download images or create a PowerPoint slideshow.


Visit at age: 16 years

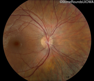
Fundus Photography - Right - 20/25

Exemplar

Fundus Photography - Left - 20/20 -1

Exemplar

Fundus Montage - Right - 20/25

Exemplar

Fundus Montage - Left - 20/20 -1

Exemplar

Goldmann Visual Field - Right - 20/25

Exemplar

Goldmann Visual Field - Left - 20/20 -1

Exemplar

Optical Coherence Tomography - Right - 20/25

Exemplar / OCT Stack
OCT Stack
OCT Stack

Optical Coherence Tomography - Left - 20/20 -1

Exemplar / OCT Stack
OCT Stack
OCT Stack

Infrared Fundus Photograph - Right - 20/25

Exemplar

Infrared Fundus Photograph - Left - 20/20 -1

Exemplar

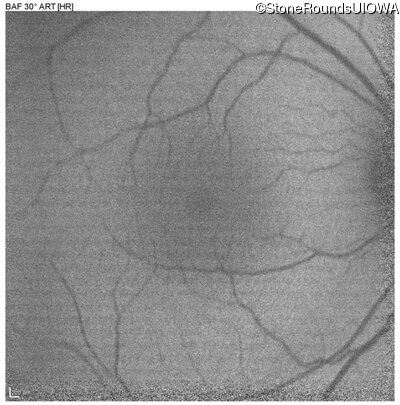
Blue Autofluorescence - Right - 20/25

Exemplar

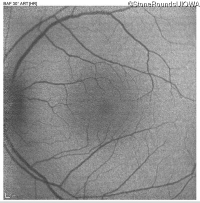
Blue Autofluorescence - Left - 20/20 -1

Exemplar

Visit at age: 17 years

Goldmann Visual Field - Right - 20/25 -2

Exemplar

Goldmann Visual Field - Left - 20/20 -2

Exemplar

Optical Coherence Tomography - Right - 20/25 -2

Exemplar / OCT Stack
OCT Stack
OCT Stack

Optical Coherence Tomography - Left - 20/20 -2

Exemplar / OCT Stack
OCT Stack
OCT Stack

Infrared Fundus Photograph - Right - 20/25 -2

Exemplar

Infrared Fundus Photograph - Left - 20/20 -2

Exemplar

Visit at age: 18 years

Goldmann Visual Field - Right - 20/25 -1

Exemplar

Goldmann Visual Field - Left - 20/25 -1

Exemplar

Optical Coherence Tomography - Right - 20/25 -1

Exemplar / OCT Stack
OCT Stack
OCT Stack

Optical Coherence Tomography - Left - 20/25 -1

Exemplar / OCT Stack
OCT Stack
OCT Stack

Infrared Fundus Photograph - Right - 20/25 -1

Exemplar

Infrared Fundus Photograph - Left - 20/25 -1

Exemplar

Visit at age: 19 years

Goldmann Visual Field - Right - 20/32 -2

Exemplar

Goldmann Visual Field - Left - 20/25 -1

Exemplar

Optical Coherence Tomography - Right - 20/32 -2

Exemplar / OCT Stack
OCT Stack
OCT Stack

Optical Coherence Tomography - Left - 20/25 -1

Exemplar / OCT Stack
OCT Stack
OCT Stack

Infrared Fundus Photograph - Right - 20/32 -2

Exemplar

Infrared Fundus Photograph - Left - 20/25 -1

Exemplar

Case Level Images


Please Login or Register to download images or create a PowerPoint slideshow.