SR2196

Late Onset Retinal Dystrophy (IIIA3)

Male

Male

SR2196

Late Onset Retinal Dystrophy (IIIA3)

Male

Male


Please Login or Register to download images or create a PowerPoint slideshow.


Visit at age: 81 years

Fundus Photography - Right - 20/25 -1

Exemplar

Fundus Photography - Left - 20/80 -1

Exemplar

Fundus Montage - Right - 20/25 -1

Exemplar

Fundus Montage - Left - 20/80 -1

Exemplar

Goldmann Visual Field - Right - 20/25 -1

Exemplar

Goldmann Visual Field - Left - 20/80 -1

Exemplar

Optical Coherence Tomography - Right - 20/25 -1

Exemplar / OCT Stack
OCT Stack

Optical Coherence Tomography - Left - 20/80 -1

Exemplar / OCT Stack
OCT Stack

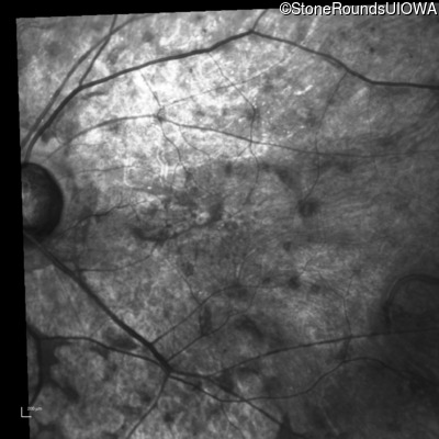
Infrared Fundus Photograph - Right - 20/25 -1

Exemplar

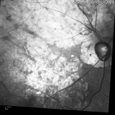
Infrared Fundus Photograph - Left - 20/80 -1

Exemplar

Visit at age: 82 years

Goldmann Visual Field - Right - 20/40 -2

Exemplar

Goldmann Visual Field - Left - 20/200 -2

Exemplar

Optical Coherence Tomography - Right - 20/40 -2

Exemplar / OCT Stack
OCT Stack

Optical Coherence Tomography - Left - 20/200 -2

Exemplar / OCT Stack
OCT Stack

Infrared Fundus Photograph - Right - 20/40 -2

Exemplar

Infrared Fundus Photograph - Left - 20/200 -2

Exemplar

Visit at age: 83 years

Goldmann Visual Field - Right - 20/125 -1

Exemplar

Goldmann Visual Field - Left - 10/400

Exemplar

Optical Coherence Tomography - Right - 20/125 -1

Exemplar / OCT Stack
OCT Stack
OCT Stack

Optical Coherence Tomography - Left - 10/400

Exemplar / OCT Stack
OCT Stack
OCT Stack

Infrared Fundus Photograph - Right - 20/125 -1

Exemplar

Infrared Fundus Photograph - Left - 10/400

Exemplar

Visit at age: 84 years

Goldmann Visual Field - Right - 20/300 +1

Exemplar

Goldmann Visual Field - Left - 3/200

Exemplar

Optical Coherence Tomography - Right - 20/300 +1

Exemplar / OCT Stack
OCT Stack
OCT Stack

Optical Coherence Tomography - Left - 3/200

Exemplar / OCT Stack
OCT Stack
OCT Stack

Infrared Fundus Photograph - Right - 20/300 +1

Exemplar

Infrared Fundus Photograph - Left - 3/200

Exemplar

Visit at age: 85+ (Visit 1)

Goldmann Visual Field - Right - 10/140

Exemplar

Goldmann Visual Field - Left - 1/200

Exemplar

Optical Coherence Tomography - Right - 10/140

Exemplar / OCT Stack
OCT Stack
OCT Stack

Optical Coherence Tomography - Left - 1/200

Exemplar / OCT Stack
OCT Stack
OCT Stack

Infrared Fundus Photograph - Right - 10/140

Exemplar

Infrared Fundus Photograph - Left - 1/200

Exemplar

Visit at age: 85+ (Visit 2)

Optical Coherence Tomography - Right - 10/120

Exemplar / OCT Stack
OCT Stack
OCT Stack

Optical Coherence Tomography - Left - Hand Motion 1'

Exemplar / OCT Stack
OCT Stack
OCT Stack

Infrared Fundus Photograph - Right - 10/120

Exemplar

Infrared Fundus Photograph - Left - Hand Motion 1'

Exemplar

Case Level Images


Please Login or Register to download images or create a PowerPoint slideshow.