StoneRounds
Volunteer
Un-volunteer
Open Diagnosis Box
Leaderboard
StoneRounds
Disease Atlas
SR1651
SR:
Volunteer
Un-volunteer
Open Diagnosis Box
Leaderboard
Search
Not logged in
Log in
Register
Terms of Use
Join Teaching Session
Log in
Register
Terms of Use
Join Teaching Session
Search
StoneRounds
Disease Atlas
SR1651
JavaScript is disabled.
Without JavaScript enabled, this site will not function properly.
Please follow
these instructions
in order to enable JavaScript in your browser.
Case
SR1651
Change Format
Ladder View
Grid View
Student Mode
Type 2 Usher Syndrome (IB1b)
Female
Female
Hidden
SR1651
Change Format
Ladder View
Grid View
Student Mode
Type 2 Usher Syndrome (IB1b)
Female
Female
Please
Login
or
Register
to download images or create a PowerPoint slideshow.
Visit at age: 25 years
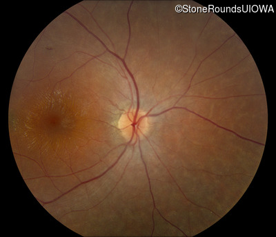
Fundus Photography - Right -
20/20 -1
Exemplar
Expanded OCT Stack
×
Fundus Photography - Left -
20/20 -2
Exemplar
Expanded OCT Stack
×
Fundus Montage - Right -
20/20 -1
Exemplar
Expanded OCT Stack
×
Fundus Montage - Left -
20/20 -2
Exemplar
Expanded OCT Stack
×
Goldmann Visual Field - Right -
20/20 -1
Exemplar
Expanded OCT Stack
×
Goldmann Visual Field - Left -
20/20 -2
Exemplar
Expanded OCT Stack
×
Optical Coherence Tomography - Right -
20/20 -1
Exemplar / OCT Stack
OCT Stack
OCT Stack
OCT Stack
OCT Stack
OCT Stack
Expanded OCT Stack
×
Optical Coherence Tomography - Left -
20/20 -2
Exemplar / OCT Stack
OCT Stack
OCT Stack
OCT Stack
OCT Stack
OCT Stack
Expanded OCT Stack
×
Infrared Fundus Photograph - Right -
20/20 -1
Exemplar
Expanded OCT Stack
×
Infrared Fundus Photograph - Left -
20/20 -2
Exemplar
Expanded OCT Stack
×
Visit at age: 26 years
Optical Coherence Tomography - Right -
20/20 -1
Exemplar / OCT Stack
OCT Stack
OCT Stack
Expanded OCT Stack
×
Optical Coherence Tomography - Left -
20/20
Exemplar / OCT Stack
OCT Stack
OCT Stack
Expanded OCT Stack
×
Infrared Fundus Photograph - Right -
20/20 -1
Exemplar
Expanded OCT Stack
×
Infrared Fundus Photograph - Left -
20/20
Exemplar
Expanded OCT Stack
×
Visit at age: 26 years (Visit 2)
Optical Coherence Tomography - Right -
20/20 -1
Exemplar / OCT Stack
OCT Stack
OCT Stack
Expanded OCT Stack
×
Optical Coherence Tomography - Left -
20/20 -1
Exemplar / OCT Stack
OCT Stack
OCT Stack
Expanded OCT Stack
×
Infrared Fundus Photograph - Right -
20/20 -1
Exemplar
Expanded OCT Stack
×
Infrared Fundus Photograph - Left -
20/20 -1
Exemplar
Expanded OCT Stack
×
Visit at age: 26 years (Visit 3)
Optical Coherence Tomography - Right -
20/25 +2
Exemplar / OCT Stack
OCT Stack
OCT Stack
Expanded OCT Stack
×
Optical Coherence Tomography - Left -
20/20 -1
Exemplar / OCT Stack
OCT Stack
OCT Stack
Expanded OCT Stack
×
Infrared Fundus Photograph - Right -
20/25 +2
Exemplar
Expanded OCT Stack
×
Infrared Fundus Photograph - Left -
20/20 -1
Exemplar
Expanded OCT Stack
×
Visit at age: 27 years
Fundus Photography - Right -
20/25 +2
Exemplar
Expanded OCT Stack
×
Fundus Photography - Left -
20/25 +1
Exemplar
Expanded OCT Stack
×
Goldmann Visual Field - Right -
20/25 +2
Exemplar
Expanded OCT Stack
×
Goldmann Visual Field - Left -
20/25 +1
Exemplar
Expanded OCT Stack
×
Optical Coherence Tomography - Right -
20/25 +2
Exemplar / OCT Stack
OCT Stack
OCT Stack
Expanded OCT Stack
×
Optical Coherence Tomography - Left -
20/25 +1
Exemplar / OCT Stack
OCT Stack
OCT Stack
Expanded OCT Stack
×
Infrared Fundus Photograph - Right -
20/25 +2
Exemplar
Expanded OCT Stack
×
Infrared Fundus Photograph - Left -
20/25 +1
Exemplar
Expanded OCT Stack
×
Blue Autofluorescence - Right -
20/25 +2
Exemplar
Expanded OCT Stack
×
Blue Autofluorescence - Left -
20/25 +1
Exemplar
Expanded OCT Stack
×
Visit at age: 29 years
Fundus Photography - Right -
20/25 -2
Exemplar
Expanded OCT Stack
×
Fundus Photography - Left -
20/25 -2
Exemplar
Expanded OCT Stack
×
Goldmann Visual Field - Right -
20/25 -2
Exemplar
Expanded OCT Stack
×
Goldmann Visual Field - Left -
20/25 -2
Exemplar
Expanded OCT Stack
×
Optical Coherence Tomography - Right -
20/25 -2
Exemplar / OCT Stack
OCT Stack
OCT Stack
Expanded OCT Stack
×
Optical Coherence Tomography - Left -
20/25 -2
Exemplar / OCT Stack
OCT Stack
OCT Stack
Expanded OCT Stack
×
Infrared Fundus Photograph - Right -
20/25 -2
Exemplar
Expanded OCT Stack
×
Infrared Fundus Photograph - Left -
20/25 -2
Exemplar
Expanded OCT Stack
×
Case Level Images
Please
Login
or
Register
to download images or create a PowerPoint slideshow.