SR2246

Neurofibromatosis (IIID5b)

Male

Male

SR2246

Neurofibromatosis (IIID5b)

Male

Male


Please Login or Register to download images or create a PowerPoint slideshow.


Visit at age: 4 months

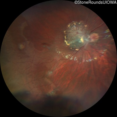
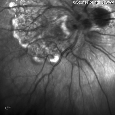
Fundus Photography - Right - UCUSUM

Exemplar

Visit at age: 5 years

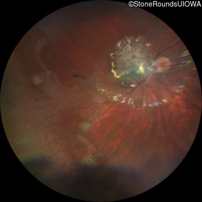
Fundus Photography - Right - 20/2000

Exemplar

Fundus Photography - Left - 20/80

Exemplar

Optical Coherence Tomography - Right - 20/2000

Exemplar / OCT Stack
OCT Stack
OCT Stack

Optical Coherence Tomography - Left - 20/80

Exemplar / OCT Stack

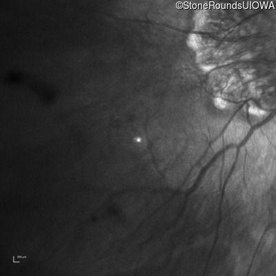
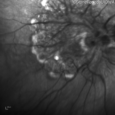
Infrared Fundus Photograph - Right - 20/2000

Exemplar

Infrared Fundus Photograph - Left - 20/80

Exemplar

Visit at age: 5 years (Visit 2)

Fundus Photography - Right - 20/400

Exemplar

Fundus Photography - Left - 20/100

Exemplar

Optical Coherence Tomography - Right - 20/400

Exemplar

Optical Coherence Tomography - Left - 20/100

Exemplar / OCT Stack
OCT Stack
OCT Stack
OCT Stack
OCT Stack
OCT Stack
OCT Stack

Infrared Fundus Photograph - Right - 20/400

Exemplar

Infrared Fundus Photograph - Left - 20/100

Exemplar

Visit at age: 6 years

Fundus Photography - Right - 20/400

Exemplar

Fundus Photography - Left - 20/100

Exemplar

Optical Coherence Tomography - Right - 20/400

Exemplar / OCT Stack

Optical Coherence Tomography - Left - 20/100

Exemplar / OCT Stack
OCT Stack
OCT Stack
OCT Stack

Infrared Fundus Photograph - Right - 20/400

Exemplar

Infrared Fundus Photograph - Left - 20/100

Exemplar

Visit at age: 7 years

Fundus Photography - Right - 20/1000

Exemplar

Fundus Photography - Left - 20/100

Exemplar

Optical Coherence Tomography - Right - 20/1000

Exemplar / OCT Stack
OCT Stack

Optical Coherence Tomography - Left - 20/100

Exemplar / OCT Stack

Infrared Fundus Photograph - Right - 20/1000

Exemplar

Infrared Fundus Photograph - Left - 20/100

Exemplar

Visit at age: 8 years

Fundus Photography - Right - 20/500

Exemplar

Fundus Photography - Left - 20/80 +1

Exemplar

Optical Coherence Tomography - Right - 20/500

Exemplar / OCT Stack
OCT Stack

Optical Coherence Tomography - Left - 20/80 +1

Exemplar / OCT Stack

Infrared Fundus Photograph - Right - 20/500

Exemplar

Infrared Fundus Photograph - Left - 20/80 +1

Exemplar

Visit at age: 9 years

Fundus Photography - Right - 10/500

Exemplar

Fundus Photography - Left - 20/70

Exemplar

Optical Coherence Tomography - Right - 10/500

Exemplar / OCT Stack

Optical Coherence Tomography - Left - 20/70

Exemplar / OCT Stack
OCT Stack

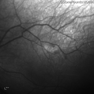
Infrared Fundus Photograph - Right - 10/500

Exemplar

Infrared Fundus Photograph - Left - 20/70

Exemplar

Visit at age: 10 years

Fundus Photography - Right - 20/600

Exemplar

Fundus Photography - Left - 20/60 -2

Exemplar

Optical Coherence Tomography - Right - 20/600

Exemplar / OCT Stack
OCT Stack
OCT Stack

Optical Coherence Tomography - Left - 20/60 -2

Exemplar / OCT Stack
OCT Stack
OCT Stack

Infrared Fundus Photograph - Right - 20/600

Exemplar

Infrared Fundus Photograph - Left - 20/60 -2

Exemplar

Visit at age: 11 years

Fundus Photography - Right - 10/400

Exemplar

Fundus Photography - Left - 20/80

Exemplar

Fundus Montage - Right - 10/400

Exemplar

Fundus Montage - Left - 20/80

Exemplar

Optical Coherence Tomography - Right - 10/400

Exemplar / OCT Stack
OCT Stack
OCT Stack
OCT Stack
OCT Stack

Optical Coherence Tomography - Left - 20/80

Exemplar / OCT Stack

Infrared Fundus Photograph - Right - 10/400

Exemplar

Infrared Fundus Photograph - Left - 20/80

Exemplar

Visit at age: 12 years

Fundus Photography - Right - 15/300

Exemplar

Fundus Photography - Left - 20/60

Exemplar

Optical Coherence Tomography - Right - 15/300

Exemplar / OCT Stack

Optical Coherence Tomography - Left - 20/60

Exemplar / OCT Stack
OCT Stack

Infrared Fundus Photograph - Right - 15/300

Exemplar

Infrared Fundus Photograph - Left - 20/60

Exemplar

Visit at age: 13 years

Fundus Photography - Right - 20/300

Exemplar

Fundus Photography - Left - 20/60

Exemplar

Optical Coherence Tomography - Right - 20/300

Exemplar / OCT Stack
OCT Stack
OCT Stack

Optical Coherence Tomography - Left - 20/60

Exemplar / OCT Stack

Infrared Fundus Photograph - Right - 20/300

Exemplar

Infrared Fundus Photograph - Left - 20/60

Exemplar

Visit at age: 14 years

Fundus Photography - Right - 10/500

Exemplar

Fundus Photography - Left - 20/50 -2

Exemplar

Optical Coherence Tomography - Right - 10/500

Exemplar / OCT Stack
OCT Stack

Optical Coherence Tomography - Left - 20/50 -2

Exemplar / OCT Stack
OCT Stack
OCT Stack

Infrared Fundus Photograph - Right - 10/500

Exemplar

Infrared Fundus Photograph - Left - 20/50 -2

Exemplar

Visit at age: 15 years

Fundus Photography - Right - 5/400

Exemplar

Fundus Photography - Left - 20/60 -1

Exemplar

Optical Coherence Tomography - Right - 5/400

Exemplar / OCT Stack
OCT Stack
OCT Stack
OCT Stack
OCT Stack

Optical Coherence Tomography - Left - 20/60 -1

Exemplar / OCT Stack

Infrared Fundus Photograph - Right - 5/400

Exemplar

Infrared Fundus Photograph - Left - 20/60 -1

Exemplar

Case Level Images


Please Login or Register to download images or create a PowerPoint slideshow.