SR26

Syndromic Photoreceptor Disease (IB)

Male

Male

SR26

Syndromic Photoreceptor Disease (IB)

Male

Male


Please Login or Register to download images or create a PowerPoint slideshow.


Visit at age: 13 years

Fundus Photography - Right - 20/40 -1

Exemplar

Fundus Photography - Left - 20/63 +1

Exemplar

Fundus Montage - Right - 20/40 -1

Exemplar

Fundus Montage - Left - 20/63 +1

Exemplar

Goldmann Visual Field - Right - 20/40 -1

Exemplar

Goldmann Visual Field - Left - 20/63 +1

Exemplar

Optical Coherence Tomography - Right - 20/40 -1

Exemplar / OCT Stack
OCT Stack

Optical Coherence Tomography - Left - 20/63 +1

Exemplar / OCT Stack
OCT Stack

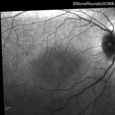
Infrared Fundus Photograph - Right - 20/40 -1

Exemplar

Infrared Fundus Photograph - Left - 20/63 +1

Exemplar

Visit at age: 14 years

Goldmann Visual Field - Right - 20/40

Exemplar

Goldmann Visual Field - Left - 20/40 -1

Exemplar

Optical Coherence Tomography - Right - 20/40

Exemplar / OCT Stack
OCT Stack

Optical Coherence Tomography - Left - 20/40 -1

Exemplar / OCT Stack
OCT Stack

Infrared Fundus Photograph - Right - 20/40

Exemplar

Infrared Fundus Photograph - Left - 20/40 -1

Exemplar

Visit at age: 14 years (Visit 2)

Goldmann Visual Field - Right - 20/32 -1

Exemplar

Goldmann Visual Field - Left - 20/32 -2

Exemplar

Optical Coherence Tomography - Right - 20/32 -1

Exemplar / OCT Stack
OCT Stack
OCT Stack

Optical Coherence Tomography - Left - 20/32 -2

Exemplar / OCT Stack
OCT Stack
OCT Stack

Infrared Fundus Photograph - Right - 20/32 -1

Exemplar

Infrared Fundus Photograph - Left - 20/32 -2

Exemplar

Case Level Images


Please Login or Register to download images or create a PowerPoint slideshow.