SR1174

XL Retinitis Pigmentosa (IA1ai)

Female

Female

SR1174

XL Retinitis Pigmentosa (IA1ai)

Female

Female


Please Login or Register to download images or create a PowerPoint slideshow.


Visit at age: 35 years

Fundus Photography - Right - 20/20

Exemplar

Fundus Photography - Left - 20/20 -1

Exemplar

Fundus Montage - Right - 20/20

Exemplar

Fundus Montage - Left - 20/20 -1

Exemplar

Goldmann Visual Field - Right - 20/20

Exemplar

Goldmann Visual Field - Left - 20/20 -1

Exemplar

Optical Coherence Tomography - Right - 20/20

Exemplar / OCT Stack
OCT Stack

Optical Coherence Tomography - Left - 20/20 -1

Exemplar / OCT Stack
OCT Stack

Infrared Fundus Photograph - Right - 20/20

Exemplar

Infrared Fundus Photograph - Left - 20/20 -1

Exemplar

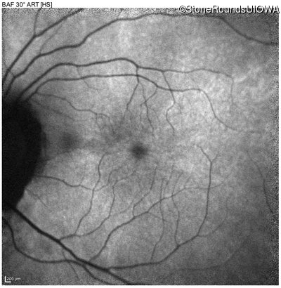
Blue Autofluorescence - Right - 20/20

Exemplar

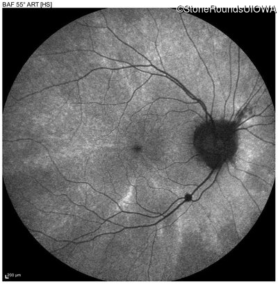
Blue Autofluorescence - Left - 20/20 -1

Exemplar

Visit at age: 38 years

Fundus Photography - Right - 20/25 -1 sc

Exemplar

Fundus Photography - Left - 20/40 sc

Exemplar

Fundus Montage - Left - 20/40 sc

Exemplar

Goldmann Visual Field - Right - 20/25 -1 sc

Exemplar

Goldmann Visual Field - Left - 20/40 sc

Exemplar

Optical Coherence Tomography - Right - 20/25 -1 sc

Exemplar / OCT Stack
OCT Stack

Optical Coherence Tomography - Left - 20/40 sc

Exemplar / OCT Stack
OCT Stack

Infrared Fundus Photograph - Right - 20/25 -1 sc

Exemplar

Infrared Fundus Photograph - Left - 20/40 sc

Exemplar

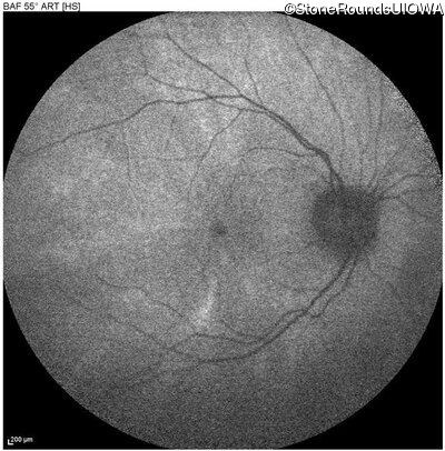
Blue Autofluorescence - Right - 20/25 -1 sc

Exemplar

Blue Autofluorescence - Left - 20/40 sc

Exemplar

Case Level Images


Please Login or Register to download images or create a PowerPoint slideshow.