SR24

Retinoblastoma (IIID2)

Female

Female

SR24

Retinoblastoma (IIID2)

Female

Female


Please Login or Register to download images or create a PowerPoint slideshow.


Visit at age: 4 months

Fundus Photography - Right - CSM

Exemplar

Fundus Photography - Left - UCSUM

Exemplar

B-Scan Ultrasonography - Right - CSM

Exemplar

B-Scan Ultrasonography - Left - UCSUM

Exemplar

Visit at age: 4 months (Visit 2)

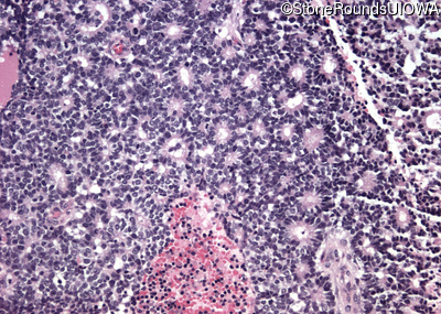
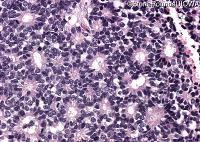
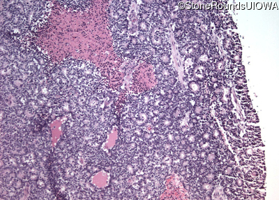
Pathology - Left - -

Exemplar

Visit at age: 8 months (Visit 3)

Fundus Photography - Right - Fixed and Focused

Exemplar

Visit at age: 9 months (Visit 4)

Fundus Photography - Right - Fixed and Focused

Exemplar

Visit at age: 10 months (Visit 5)

Fundus Photography - Right - Fixed and Focused

Exemplar

Visit at age: 11 months (Visit 6)

Fundus Photography - Right - Fixed and Focused

Exemplar

Visit at age: 19 months

Fundus Photography - Right - 20/32 sc

Exemplar

Visit at age: 4 years

Fundus Photography - Right - 20/20 sc

Exemplar

Visit at age: 9 years

Fundus Photography - Right - 20/20

Exemplar

Case Level Images


Please Login or Register to download images or create a PowerPoint slideshow.