SR184

AR Stargardt Disease (IIA)

Male

Male

SR184

AR Stargardt Disease (IIA)

Male

Male


Please Login or Register to download images or create a PowerPoint slideshow.


Visit at age: 5 years

Goldmann Visual Field - Right - 20/160 +1 sc

Exemplar

Visit at age: 6 years

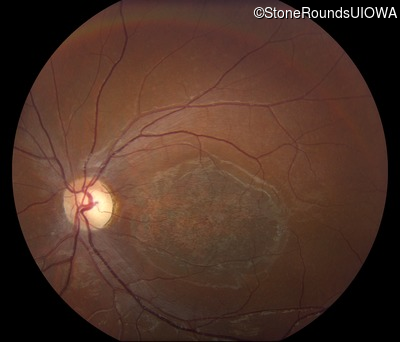
Fundus Photography - Right - 20/100

Exemplar

Fundus Photography - Left - 20/100 -1

Exemplar

Visit at age: 7 years

Goldmann Visual Field - Right - 20/160

Exemplar

Goldmann Visual Field - Left - 20/160

Exemplar

Visit at age: 8 years

Goldmann Visual Field - Right - 20/160

Exemplar

Goldmann Visual Field - Left - 20/200

Exemplar

Visit at age: 9 years

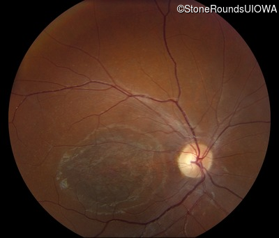
Fundus Photography - Right - 10/200

Exemplar

Fundus Photography - Left - 10/160 -1

Exemplar

Optical Coherence Tomography - Right - 10/200

Exemplar / OCT Stack

Optical Coherence Tomography - Left - 10/160 -1

Exemplar / OCT Stack

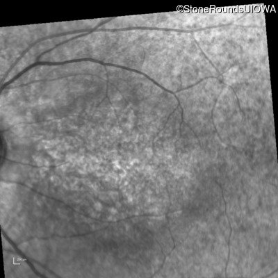
Infrared Fundus Photograph - Right - 10/200

Exemplar

Infrared Fundus Photograph - Left - 10/160 -1

Exemplar

Visit at age: 11 years

Goldmann Visual Field - Right - 20/500

Exemplar

Goldmann Visual Field - Left - 20/250

Exemplar

Optical Coherence Tomography - Right - 20/500

Exemplar / OCT Stack
OCT Stack
OCT Stack

Optical Coherence Tomography - Left - 20/250

Exemplar / OCT Stack
OCT Stack
OCT Stack
OCT Stack

Infrared Fundus Photograph - Right - 20/500

Exemplar

Infrared Fundus Photograph - Left - 20/250

Exemplar

Visit at age: 12 years

Goldmann Visual Field - Right - 5/225

Exemplar

Goldmann Visual Field - Left - 10/125

Exemplar

Visit at age: 13 years

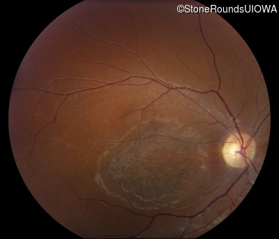
Fundus Photography - Right - 10/350

Exemplar

Fundus Photography - Left - 10/140

Exemplar

Fundus Montage - Right - 10/350

Exemplar

Fundus Montage - Left - 10/140

Exemplar

Goldmann Visual Field - Right - 10/350

Exemplar

Goldmann Visual Field - Left - 10/140

Exemplar

Optical Coherence Tomography - Right - 10/350

Exemplar / OCT Stack
OCT Stack

Optical Coherence Tomography - Left - 10/140

Exemplar / OCT Stack
OCT Stack

Infrared Fundus Photograph - Right - 10/350

Exemplar

Infrared Fundus Photograph - Left - 10/140

Exemplar

Blue Autofluorescence - Right - 10/350

Exemplar

Blue Autofluorescence - Left - 10/140

Exemplar

Visit at age: 14 years

Goldmann Visual Field - Right - 5/200 sc

Exemplar

Goldmann Visual Field - Left - 5/100 sc

Exemplar

Optical Coherence Tomography - Right - 5/200 sc

Exemplar / OCT Stack
OCT Stack

Optical Coherence Tomography - Left - 5/100 sc

Exemplar / OCT Stack
OCT Stack

Infrared Fundus Photograph - Right - 5/200 sc

Exemplar

Infrared Fundus Photograph - Left - 5/100 sc

Exemplar

Blue Autofluorescence - Right - 5/200 sc

Exemplar

Blue Autofluorescence - Left - 5/100 sc

Exemplar

Visit at age: 17 years

Goldmann Visual Field - Right - 10/600 sc

Exemplar

Goldmann Visual Field - Left - 10/400 sc

Exemplar

Optical Coherence Tomography - Right - 10/600 sc

Exemplar / OCT Stack
OCT Stack
OCT Stack

Optical Coherence Tomography - Left - 10/400 sc

Exemplar / OCT Stack
OCT Stack
OCT Stack

Infrared Fundus Photograph - Right - 10/600 sc

Exemplar

Infrared Fundus Photograph - Left - 10/400 sc

Exemplar

Blue Autofluorescence - Right - 10/600 sc

Exemplar

Blue Autofluorescence - Left - 10/400 sc

Exemplar

Case Level Images


Please Login or Register to download images or create a PowerPoint slideshow.