SR655

AD Optic Neuropathy (IIIC1a)

Female

Female

SR655

AD Optic Neuropathy (IIIC1a)

Female

Female


Please Login or Register to download images or create a PowerPoint slideshow.


Visit at age: 21 years

Fundus Photography - Right - 20/80 +2

Exemplar

Fundus Photography - Left - 20/100

Exemplar

Fundus Montage - Right - 20/80 +2

Exemplar

Fundus Montage - Left - 20/100

Exemplar

Goldmann Visual Field - Right - 20/80 +2

Exemplar

Goldmann Visual Field - Left - 20/100

Exemplar

Optical Coherence Tomography - Right - 20/80 +2

Exemplar / OCT Stack
OCT Stack

Optical Coherence Tomography - Left - 20/100

Exemplar / OCT Stack
OCT Stack

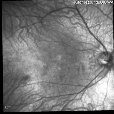
Infrared Fundus Photograph - Right - 20/80 +2

Exemplar

Infrared Fundus Photograph - Left - 20/100

Exemplar

Visit at age: 27 years

Goldmann Visual Field - Right - 20/160 +1

Exemplar

Goldmann Visual Field - Left - 20/160 +1

Exemplar

Optical Coherence Tomography - Right - 20/160 +1

Exemplar / OCT Stack
OCT Stack
OCT Stack

Optical Coherence Tomography - Left - 20/160 +1

Exemplar / OCT Stack
OCT Stack
OCT Stack

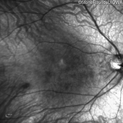
Infrared Fundus Photograph - Right - 20/160 +1

Exemplar

Infrared Fundus Photograph - Left - 20/160 +1

Exemplar

Visit at age: 30 years

Goldmann Visual Field - Right - 20/160 +1

Exemplar

Goldmann Visual Field - Left - 20/160 +1

Exemplar

Optical Coherence Tomography - Right - 20/160 +1

Exemplar / OCT Stack
OCT Stack
OCT Stack

Optical Coherence Tomography - Left - 20/160 +1

Exemplar / OCT Stack
OCT Stack
OCT Stack

Infrared Fundus Photograph - Right - 20/160 +1

Exemplar

Infrared Fundus Photograph - Left - 20/160 +1

Exemplar

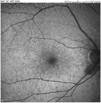
Blue Autofluorescence - Right - 20/160 +1

Exemplar

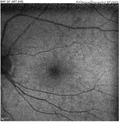
Blue Autofluorescence - Left - 20/160 +1

Exemplar

Visit at age: 32 years

Goldmann Visual Field - Right - 20/160 -2

Exemplar

Goldmann Visual Field - Left - 20/160 -1

Exemplar

Visit at age: 32 years (Visit 2)

Optical Coherence Tomography - Right - 20/200

Exemplar / OCT Stack
OCT Stack

Optical Coherence Tomography - Left - 20/150 +1

Exemplar / OCT Stack
OCT Stack

Infrared Fundus Photograph - Right - 20/200

Exemplar

Infrared Fundus Photograph - Left - 20/150 +1

Exemplar

Case Level Images


Please Login or Register to download images or create a PowerPoint slideshow.