SR1480

AR Stargardt Disease (IIA)

Male

Male

SR1480

AR Stargardt Disease (IIA)

Male

Male


Please Login or Register to download images or create a PowerPoint slideshow.


Visit at age: 10 years

Goldmann Visual Field - Right - 20/80 -2 sc

Exemplar

Goldmann Visual Field - Left - 20/80 -2 sc

Exemplar

Optical Coherence Tomography - Right - 20/80 -2 sc

Exemplar / OCT Stack

Optical Coherence Tomography - Left - 20/80 -2 sc

Exemplar / OCT Stack

Infrared Fundus Photograph - Right - 20/80 -2 sc

Exemplar

Infrared Fundus Photograph - Left - 20/80 -2 sc

Exemplar

Visit at age: 11 years

Fundus Photography - Right - 20/100 sc

Exemplar

Fundus Photography - Left - 20/100 sc

Exemplar

Goldmann Visual Field - Right - 20/100 sc

Exemplar

Visit at age: 12 years

Goldmann Visual Field - Right - 20/100 -1 sc

Exemplar

Goldmann Visual Field - Left - 20/100 -1 sc

Exemplar

Visit at age: 14 years

Goldmann Visual Field - Right - 20/100 -2 sc

Exemplar

Goldmann Visual Field - Left - 20/100 -2 sc

Exemplar

Optical Coherence Tomography - Right - 20/100 -2 sc

Exemplar / OCT Stack
OCT Stack

Optical Coherence Tomography - Left - 20/100 -2 sc

Exemplar / OCT Stack
OCT Stack
OCT Stack

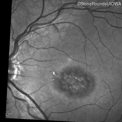
Infrared Fundus Photograph - Right - 20/100 -2 sc

Exemplar

Infrared Fundus Photograph - Left - 20/100 -2 sc

Exemplar

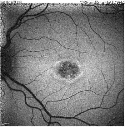
Blue Autofluorescence - Right - 20/100 -2 sc

Exemplar

Blue Autofluorescence - Left - 20/100 -2 sc

Exemplar

Visit at age: 15 years

Goldmann Visual Field - Right - 20/125 sc

Exemplar

Goldmann Visual Field - Left - 20/125 sc

Exemplar

Optical Coherence Tomography - Right - 20/125 sc

Exemplar / OCT Stack
OCT Stack

Optical Coherence Tomography - Left - 20/125 sc

Exemplar / OCT Stack
OCT Stack

Infrared Fundus Photograph - Right - 20/125 sc

Exemplar

Infrared Fundus Photograph - Left - 20/125 sc

Exemplar

Blue Autofluorescence - Right - 20/125 sc

Exemplar

Blue Autofluorescence - Left - 20/125 sc

Exemplar

Visit at age: 17 years

Goldmann Visual Field - Right - 20/160 +2 sc

Exemplar

Goldmann Visual Field - Left - 20/125 -2 sc

Exemplar

Optical Coherence Tomography - Right - 20/160 +2 sc

Exemplar / OCT Stack
OCT Stack

Optical Coherence Tomography - Left - 20/125 -2 sc

Exemplar / OCT Stack
OCT Stack

Infrared Fundus Photograph - Right - 20/160 +2 sc

Exemplar

Infrared Fundus Photograph - Left - 20/125 -2 sc

Exemplar

Blue Autofluorescence - Right - 20/160 +2 sc

Exemplar

Blue Autofluorescence - Left - 20/125 -2 sc

Exemplar

Visit at age: 22 years

Fundus Photography - Right - 20/160 -2

Exemplar

Fundus Photography - Left - 20/160 -1

Exemplar

Fundus Montage - Right - 20/160 -2

Exemplar

Fundus Montage - Left - 20/160 -1

Exemplar

Goldmann Visual Field - Right - 20/160 -2

Exemplar

Goldmann Visual Field - Left - 20/160 -1

Exemplar

Optical Coherence Tomography - Right - 20/160 -2

Exemplar / OCT Stack
OCT Stack

Optical Coherence Tomography - Left - 20/160 -1

Exemplar / OCT Stack
OCT Stack

Infrared Fundus Photograph - Right - 20/160 -2

Exemplar

Infrared Fundus Photograph - Left - 20/160 -1

Exemplar

Blue Autofluorescence - Right - 20/160 -2

Exemplar

Blue Autofluorescence - Left - 20/160 -1

Exemplar

Case Level Images


Please Login or Register to download images or create a PowerPoint slideshow.