SR1028

Usher Syndrome (IB1)

Female

Female

SR1028

Usher Syndrome (IB1)

Female

Female


Please Login or Register to download images or create a PowerPoint slideshow.


Visit at age: 10 years

Fundus Photography - Right - 20/80 -1

Exemplar

Fundus Photography - Left - 20/80

Exemplar

Fundus Montage - Right - 20/80 -1

Exemplar

Fundus Montage - Left - 20/80

Exemplar

Goldmann Visual Field - Right - 20/80 -1

Exemplar

Goldmann Visual Field - Left - 20/80

Exemplar

Optical Coherence Tomography - Right - 20/80 -1

Exemplar / OCT Stack
OCT Stack

Optical Coherence Tomography - Left - 20/80

Exemplar / OCT Stack
OCT Stack

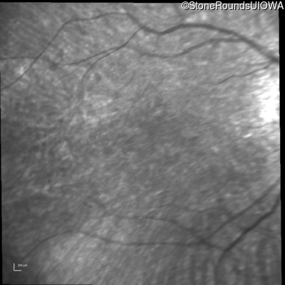
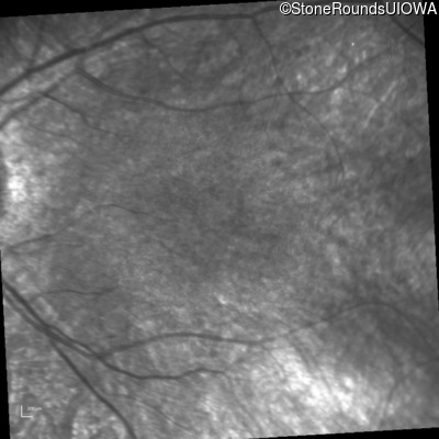
Infrared Fundus Photograph - Right - 20/80 -1

Exemplar

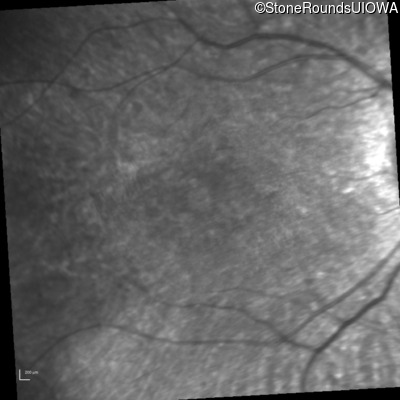
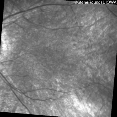
Infrared Fundus Photograph - Left - 20/80

Exemplar

Visit at age: 11 years

Goldmann Visual Field - Right - 20/100

Exemplar

Goldmann Visual Field - Left - 20/80 -1

Exemplar

Optical Coherence Tomography - Right - 20/100

Exemplar / OCT Stack
OCT Stack
OCT Stack

Optical Coherence Tomography - Left - 20/80 -1

Exemplar / OCT Stack
OCT Stack
OCT Stack

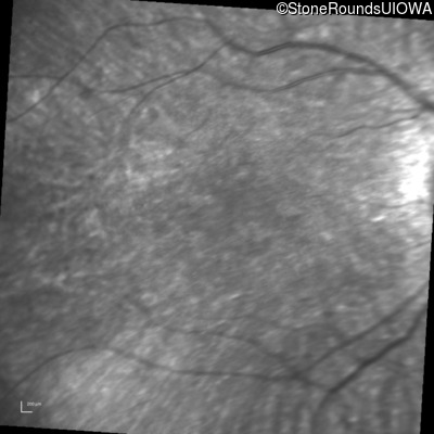
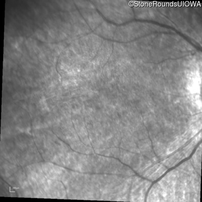
Infrared Fundus Photograph - Right - 20/100

Exemplar

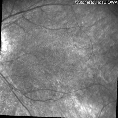
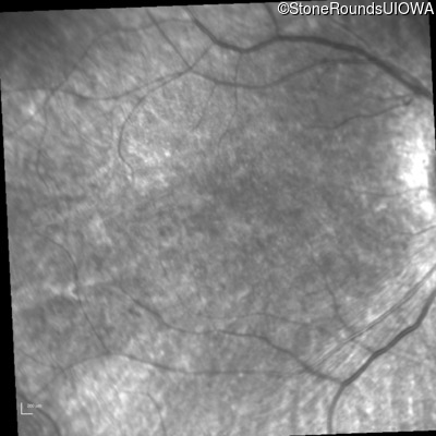
Infrared Fundus Photograph - Left - 20/80 -1

Exemplar

Visit at age: 12 years

Goldmann Visual Field - Right - 20/100

Exemplar

Goldmann Visual Field - Left - 20/80 -1

Exemplar

Optical Coherence Tomography - Right - 20/100

Exemplar / OCT Stack
OCT Stack
OCT Stack

Optical Coherence Tomography - Left - 20/80 -1

Exemplar / OCT Stack
OCT Stack
OCT Stack

Infrared Fundus Photograph - Right - 20/100

Exemplar

Infrared Fundus Photograph - Left - 20/80 -1

Exemplar

Visit at age: 13 years

Goldmann Visual Field - Right - 20/125 -1

Exemplar

Goldmann Visual Field - Left - 20/125

Exemplar

Optical Coherence Tomography - Right - 20/125 -1

Exemplar / OCT Stack
OCT Stack
OCT Stack

Optical Coherence Tomography - Left - 20/125

Exemplar / OCT Stack
OCT Stack
OCT Stack

Infrared Fundus Photograph - Right - 20/125 -1

Exemplar

Infrared Fundus Photograph - Left - 20/125

Exemplar

Visit at age: 14 years

Goldmann Visual Field - Right - 10/600 sc

Exemplar

Goldmann Visual Field - Left - 10/600 sc

Exemplar

Optical Coherence Tomography - Right - 10/600 sc

Exemplar / OCT Stack

Optical Coherence Tomography - Left - 10/600 sc

Exemplar / OCT Stack

Infrared Fundus Photograph - Right - 10/600 sc

Exemplar

Infrared Fundus Photograph - Left - 10/600 sc

Exemplar

Visit at age: 16 years

Goldmann Visual Field - Right - Light Perception

Exemplar

Goldmann Visual Field - Left - Hand Motion 1'

Exemplar

Optical Coherence Tomography - Right - Light Perception

Exemplar / OCT Stack

Optical Coherence Tomography - Left - Hand Motion 1'

Exemplar / OCT Stack

Infrared Fundus Photograph - Right - Light Perception

Exemplar

Infrared Fundus Photograph - Left - Hand Motion 1'

Exemplar

Case Level Images


Please Login or Register to download images or create a PowerPoint slideshow.