SR2290

Sorsby Fundus Dystrophy (IIH)

Male

Male

SR2290

Sorsby Fundus Dystrophy (IIH)

Male

Male


Please Login or Register to download images or create a PowerPoint slideshow.


Visit at age: 26 years

Goldmann Visual Field - Right - 20/15 -2

Exemplar

Visit at age: 42 years

Fundus Photography - Right - 20/750

Exemplar

Fundus Photography - Left - 20/200

Exemplar

Visit at age: 65 years

Goldmann Visual Field - Right - Count Fingers 3'

Exemplar

Goldmann Visual Field - Left - Count Fingers 3'

Exemplar

Visit at age: 65 years (Visit 2)

Fundus Photography - Left - Count Fingers 2'

Exemplar

Optical Coherence Tomography - Right - Count Fingers 2'

Exemplar / OCT Stack
OCT Stack

Optical Coherence Tomography - Left - Count Fingers 2'

Exemplar / OCT Stack
OCT Stack

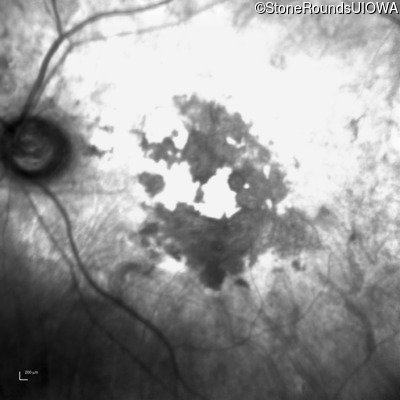
Infrared Fundus Photograph - Right - Count Fingers 2'

Exemplar

Infrared Fundus Photograph - Left - Count Fingers 2'

Exemplar

B-Scan Ultrasonography - Right - Count Fingers 2'

Exemplar

Visit at age: 65 years (Visit 3)

Fundus Photography - Right - Count Fingers 6'

Exemplar

Fundus Photography - Left - Count Fingers 4'

Exemplar

Fundus Montage - Left - Count Fingers 4'

Exemplar

Optical Coherence Tomography - Right - Count Fingers 6'

Exemplar / OCT Stack
OCT Stack

Optical Coherence Tomography - Left - Count Fingers 4'

Exemplar / OCT Stack
OCT Stack
OCT Stack

Infrared Fundus Photograph - Right - Count Fingers 6'

Exemplar

Infrared Fundus Photograph - Left - Count Fingers 4'

Exemplar

Visit at age: 66 years

Goldmann Visual Field - Right - 20/250 sc

Exemplar

Goldmann Visual Field - Left - 20/250 sc

Exemplar

Visit at age: 66 years (Visit 2)

Optical Coherence Tomography - Right - 20/200 sc

Exemplar / OCT Stack
OCT Stack

Optical Coherence Tomography - Left - 20/400 sc

Exemplar / OCT Stack
OCT Stack

Infrared Fundus Photograph - Right - 20/200 sc

Exemplar

Infrared Fundus Photograph - Left - 20/400 sc

Exemplar

Visit at age: 67 years

Goldmann Visual Field - Right - Count Fingers 3'

Exemplar

Goldmann Visual Field - Left - 10/160 -2 sc

Exemplar

Visit at age: 67 years (Visit 2)

Optical Coherence Tomography - Right - 20/300 sc

Exemplar / OCT Stack
OCT Stack

Optical Coherence Tomography - Left - 20/200 sc

Exemplar / OCT Stack
OCT Stack

Infrared Fundus Photograph - Right - 20/300 sc

Exemplar

Infrared Fundus Photograph - Left - 20/200 sc

Exemplar

Case Level Images


Please Login or Register to download images or create a PowerPoint slideshow.