SR2710

XL Retinoschisis (IIIB1)

Male

Male

SR2710

XL Retinoschisis (IIIB1)

Male

Male


Please Login or Register to download images or create a PowerPoint slideshow.


Visit at age: 6 years

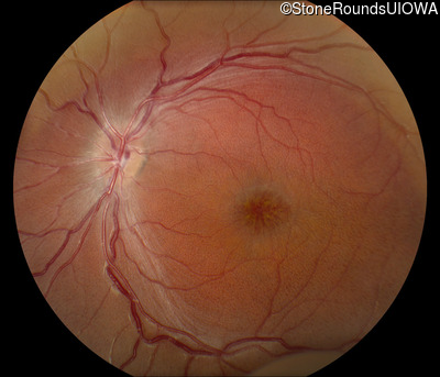
Fundus Photography - Right - 10/40

Exemplar

Fundus Photography - Left - 10/40

Exemplar

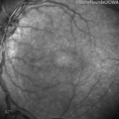
Fundus Montage - Right - 10/40

Exemplar

Fundus Montage - Left - 10/40

Exemplar

Optical Coherence Tomography - Right - 10/40

Exemplar / OCT Stack
OCT Stack

Optical Coherence Tomography - Left - 10/40

Exemplar / OCT Stack
OCT Stack

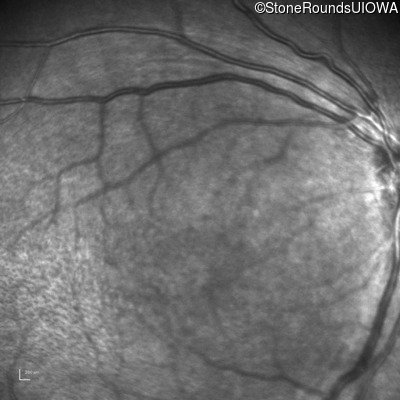
Infrared Fundus Photograph - Right - 10/40

Exemplar

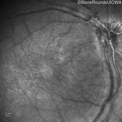
Infrared Fundus Photograph - Left - 10/40

Exemplar

Visit at age: 6 years (Visit 2)

Fundus Photography - Right - 20/150

Exemplar

Fundus Photography - Left - 20/100

Exemplar

Optical Coherence Tomography - Right - 20/150

Exemplar / OCT Stack

Optical Coherence Tomography - Left - 20/100

Exemplar

Infrared Fundus Photograph - Right - 20/150

Exemplar

Infrared Fundus Photograph - Left - 20/100

Exemplar

Visit at age: 7 years

Optical Coherence Tomography - Right - 20/200

Exemplar / OCT Stack
OCT Stack

Optical Coherence Tomography - Left - 20/150

Exemplar / OCT Stack
OCT Stack

Infrared Fundus Photograph - Right - 20/200

Exemplar

Infrared Fundus Photograph - Left - 20/150

Exemplar

Visit at age: 7 years (Visit 2)

Optical Coherence Tomography - Right - 10/50

Exemplar / OCT Stack

Optical Coherence Tomography - Left - 10/40

Exemplar / OCT Stack
OCT Stack
OCT Stack

Infrared Fundus Photograph - Right - 10/50

Exemplar

Infrared Fundus Photograph - Left - 10/40

Exemplar

Visit at age: 8 years

Fundus Photography - Right - 20/100

Exemplar

Fundus Photography - Left - 20/100

Exemplar

Goldmann Visual Field - Right - 20/100

Exemplar

Optical Coherence Tomography - Right - 20/100

Exemplar / OCT Stack

Optical Coherence Tomography - Left - 20/100

Exemplar / OCT Stack

Infrared Fundus Photograph - Right - 20/100

Exemplar

Infrared Fundus Photograph - Left - 20/100

Exemplar

Case Level Images


Please Login or Register to download images or create a PowerPoint slideshow.