SR1868

AD Cone and Cone Rod Dystrophy (IA1bii)

Male

Male

SR1868

AD Cone and Cone Rod Dystrophy (IA1bii)

Male

Male


Please Login or Register to download images or create a PowerPoint slideshow.


Visit at age: 35 years

Fundus Photography - Right - 20/32 -1

Exemplar

Fundus Photography - Left - 20/32

Exemplar

Fundus Montage - Right - 20/32 -1

Exemplar

Fundus Montage - Left - 20/32

Exemplar

Goldmann Visual Field - Right - 20/32 -1

Exemplar

Goldmann Visual Field - Left - 20/32

Exemplar

Optical Coherence Tomography - Right - 20/32 -1

Exemplar / OCT Stack
OCT Stack

Optical Coherence Tomography - Left - 20/32

Exemplar / OCT Stack
OCT Stack

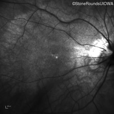
Infrared Fundus Photograph - Right - 20/32 -1

Exemplar

Infrared Fundus Photograph - Left - 20/32

Exemplar

Visit at age: 38 years

Goldmann Visual Field - Right - 20/40

Exemplar

Goldmann Visual Field - Left - 20/40

Exemplar

Optical Coherence Tomography - Right - 20/40

Exemplar / OCT Stack
OCT Stack
OCT Stack

Optical Coherence Tomography - Left - 20/40

Exemplar / OCT Stack
OCT Stack
OCT Stack

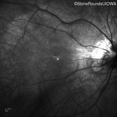
Infrared Fundus Photograph - Right - 20/40

Exemplar

Infrared Fundus Photograph - Left - 20/40

Exemplar

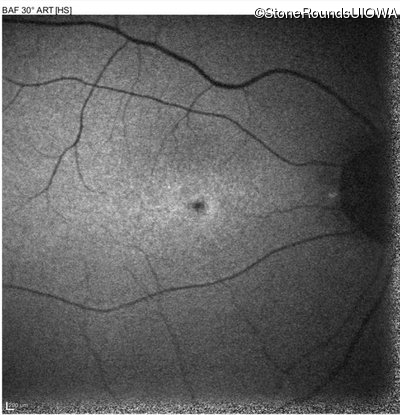
Blue Autofluorescence - Right - 20/40

Exemplar

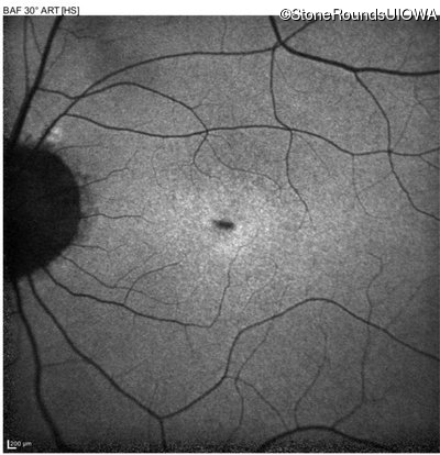
Blue Autofluorescence - Left - 20/40

Exemplar

Visit at age: 39 years

Goldmann Visual Field - Right - 20/100

Exemplar

Goldmann Visual Field - Left - 20/100 +1

Exemplar

Optical Coherence Tomography - Right - 20/100

Exemplar / OCT Stack
OCT Stack
OCT Stack

Optical Coherence Tomography - Left - 20/100 +1

Exemplar / OCT Stack
OCT Stack
OCT Stack

Infrared Fundus Photograph - Right - 20/100

Exemplar

Infrared Fundus Photograph - Left - 20/100 +1

Exemplar

Case Level Images


Please Login or Register to download images or create a PowerPoint slideshow.