SR1886

Wagner Disease (IIIE4)

Male

Male

SR1886

Wagner Disease (IIIE4)

Male

Male


Please Login or Register to download images or create a PowerPoint slideshow.


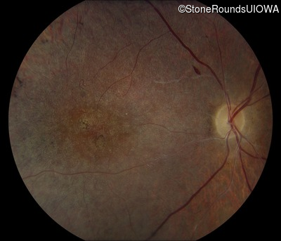
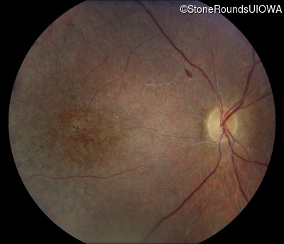
Visit at age: 9 years

Fundus Photography - Right - 20/30 -2

Exemplar

Fundus Photography - Left - 20/25 -3

Exemplar

Visit at age: 19 years

Goldmann Visual Field - Right - 20/60 sc

Exemplar

Goldmann Visual Field - Left - 20/30 sc

Exemplar

Visit at age: 28 years

Goldmann Visual Field - Right - 20/200 -2

Exemplar

Goldmann Visual Field - Left - 20/80 -1

Exemplar

Visit at age: 29 years

Goldmann Visual Field - Right - 10/200

Exemplar

Goldmann Visual Field - Left - 20/80

Exemplar

Visit at age: 30 years

Goldmann Visual Field - Right - 20/300 sc

Exemplar

Goldmann Visual Field - Left - 20/80 -1 sc

Exemplar

Visit at age: 36 years

Goldmann Visual Field - Right - 10/200

Exemplar

Goldmann Visual Field - Left - 10/80 -1

Exemplar

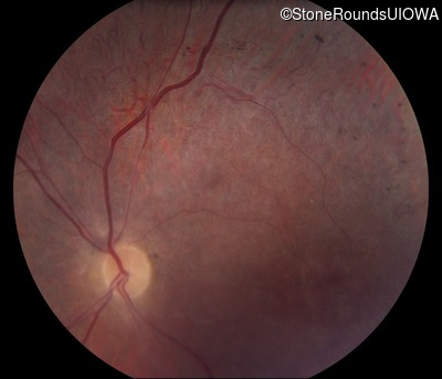
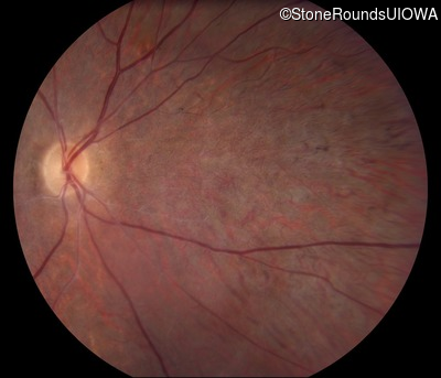
Visit at age: 38 years

Fundus Photography - Right - 10/200

Exemplar

Fundus Photography - Left - 10/100 -2

Exemplar

Fundus Montage - Right - 10/200

Exemplar

Fundus Montage - Left - 10/100 -2

Exemplar

Optical Coherence Tomography - Right - 10/200

Exemplar / OCT Stack
OCT Stack
OCT Stack

Optical Coherence Tomography - Left - 10/100 -2

Exemplar / OCT Stack
OCT Stack
OCT Stack

Infrared Fundus Photograph - Right - 10/200

Exemplar

Infrared Fundus Photograph - Left - 10/100 -2

Exemplar

Visit at age: 40 years

Fundus Photography - Right - 20/250

Exemplar

Fundus Photography - Left - 20/250

Exemplar

Optical Coherence Tomography - Right - 20/250

Exemplar / OCT Stack
OCT Stack

Optical Coherence Tomography - Left - 20/250

Exemplar / OCT Stack
OCT Stack

Infrared Fundus Photograph - Right - 20/250

Exemplar

Infrared Fundus Photograph - Left - 20/250

Exemplar

Visit at age: 41 years

Fundus Photography - Right - 20/250 sc

Exemplar

Fundus Photography - Left - Hand Motion

Exemplar

Fundus Montage - Right - 20/250 sc

Exemplar

Fundus Montage - Left - Hand Motion

Exemplar

Optical Coherence Tomography - Right - 20/250 sc

Exemplar / OCT Stack
OCT Stack
OCT Stack

Optical Coherence Tomography - Left - Hand Motion

Exemplar / OCT Stack
OCT Stack
OCT Stack

Infrared Fundus Photograph - Right - 20/250 sc

Exemplar

Infrared Fundus Photograph - Left - Hand Motion

Exemplar

Visit at age: 42 years

Fundus Photography - Right - 20/400 sc

Exemplar

Fundus Photography - Left - 20/400 sc

Exemplar

Optical Coherence Tomography - Right - 20/400 sc

Exemplar / OCT Stack
OCT Stack

Optical Coherence Tomography - Left - 20/400 sc

Exemplar / OCT Stack
OCT Stack

Infrared Fundus Photograph - Right - 20/400 sc

Exemplar

Infrared Fundus Photograph - Left - 20/400 sc

Exemplar

Visit at age: 43 years

Fundus Photography - Right - 20/250 sc

Exemplar

Fundus Photography - Left - 20/500 sc

Exemplar

Optical Coherence Tomography - Right - 20/250 sc

Exemplar / OCT Stack
OCT Stack

Optical Coherence Tomography - Left - 20/500 sc

Exemplar / OCT Stack
OCT Stack

Infrared Fundus Photograph - Right - 20/250 sc

Exemplar

Infrared Fundus Photograph - Left - 20/500 sc

Exemplar

Visit at age: 44 years

Fundus Photography - Right - 20/300 sc

Exemplar

Fundus Photography - Left - 20/500 sc

Exemplar

Optical Coherence Tomography - Right - 20/300 sc

Exemplar / OCT Stack
OCT Stack

Optical Coherence Tomography - Left - 20/500 sc

Exemplar / OCT Stack
OCT Stack

Infrared Fundus Photograph - Right - 20/300 sc

Exemplar

Infrared Fundus Photograph - Left - 20/500 sc

Exemplar

B-Scan Ultrasonography - Left - 20/500 sc

Exemplar

Visit at age: 44 years (Visit 2)

B-Scan Ultrasonography - Left - 20/500 sc

Exemplar

Visit at age: 44 years (Visit 3)

Optical Coherence Tomography - Left - Light Perception

Exemplar / OCT Stack
OCT Stack

Infrared Fundus Photograph - Left - Light Perception

Exemplar

B-Scan Ultrasonography - Left - Light Perception

Exemplar

Visit at age: 44 years (Visit 4)

Optical Coherence Tomography - Left - 20/600 sc

Exemplar / OCT Stack
OCT Stack

Infrared Fundus Photograph - Left - 20/600 sc

Exemplar

B-Scan Ultrasonography - Left - 20/600 sc

Exemplar

Visit at age: 44 years (Visit 5)

Fundus Photography - Right - 20/250 sc

Exemplar

Fundus Photography - Left - 20/500 sc

Exemplar

Fundus Montage - Right - 20/250 sc

Exemplar

Fundus Montage - Left - 20/500 sc

Exemplar

Optical Coherence Tomography - Right - 20/250 sc

Exemplar / OCT Stack
OCT Stack
OCT Stack

Optical Coherence Tomography - Left - 20/500 sc

Exemplar / OCT Stack
OCT Stack

Infrared Fundus Photograph - Right - 20/250 sc

Exemplar

Infrared Fundus Photograph - Left - 20/500 sc

Exemplar

Visit at age: 45 years

Goldmann Visual Field - Right - 5/160 sc

Exemplar

Goldmann Visual Field - Left - 5/225 sc

Exemplar

Optical Coherence Tomography - Right - 5/160 sc

Exemplar / OCT Stack
OCT Stack

Optical Coherence Tomography - Left - 5/225 sc

Exemplar / OCT Stack
OCT Stack

Infrared Fundus Photograph - Right - 5/160 sc

Exemplar

Infrared Fundus Photograph - Left - 5/225 sc

Exemplar

Visit at age: 46 years

Optical Coherence Tomography - Right - 5/160 sc

Exemplar / OCT Stack
OCT Stack

Optical Coherence Tomography - Left - 5/225 sc

Exemplar / OCT Stack
OCT Stack

Infrared Fundus Photograph - Right - 5/160 sc

Exemplar

Infrared Fundus Photograph - Left - 5/225 sc

Exemplar

Visit at age: 48 years

Goldmann Visual Field - Right - Hand Motion 1'

Exemplar

Goldmann Visual Field - Left - Hand Motion 1'

Exemplar

Optical Coherence Tomography - Right - Hand Motion 1'

Exemplar / OCT Stack

Optical Coherence Tomography - Left - Hand Motion 1'

Exemplar / OCT Stack

Infrared Fundus Photograph - Right - Hand Motion 1'

Exemplar

Infrared Fundus Photograph - Left - Hand Motion 1'

Exemplar

Visit at age: 49 years

Goldmann Visual Field - Right - Hand Motion

Exemplar

Goldmann Visual Field - Left - Hand Motion

Exemplar

Optical Coherence Tomography - Right - Hand Motion

Exemplar / OCT Stack
OCT Stack

Optical Coherence Tomography - Left - Hand Motion

Exemplar / OCT Stack
OCT Stack

Infrared Fundus Photograph - Right - Hand Motion

Exemplar

Infrared Fundus Photograph - Left - Hand Motion

Exemplar

Visit at age: 50 years

Optical Coherence Tomography - Right - Hand Motion

Exemplar / OCT Stack
OCT Stack

Optical Coherence Tomography - Left - Hand Motion

Exemplar / OCT Stack
OCT Stack

Infrared Fundus Photograph - Right - Hand Motion

Exemplar

Infrared Fundus Photograph - Left - Hand Motion

Exemplar

Visit at age: 51 years

Optical Coherence Tomography - Right - Hand Motion

Exemplar / OCT Stack
OCT Stack
OCT Stack

Optical Coherence Tomography - Left - Hand Motion

Exemplar / OCT Stack
OCT Stack
OCT Stack

Infrared Fundus Photograph - Right - Hand Motion

Exemplar

Infrared Fundus Photograph - Left - Hand Motion

Exemplar

Case Level Images


Please Login or Register to download images or create a PowerPoint slideshow.