SR2116

AR Stargardt Disease (IIA)

Female

Female

SR2116

AR Stargardt Disease (IIA)

Female

Female


Please Login or Register to download images or create a PowerPoint slideshow.


Visit at age: 60 years

Fundus Photography - Right - 20/25

Exemplar

Visit at age: 63 years

Fundus Photography - Right - 20/25

Exemplar

Fundus Photography - Left - 20/25

Exemplar

Visit at age: 77 years

Goldmann Visual Field - Right - 20/200 sc

Exemplar

Goldmann Visual Field - Left - 20/250 sc

Exemplar

Visit at age: 85+ (Visit 1)

Fundus Photography - Right - 10/200 sc

Exemplar

Fundus Photography - Left - 10/200 sc

Exemplar

Fundus Montage - Right - 10/200 sc

Exemplar

Fundus Montage - Left - 10/200 sc

Exemplar

Optical Coherence Tomography - Right - 10/200 sc

Exemplar / OCT Stack
OCT Stack

Optical Coherence Tomography - Left - 10/200 sc

Exemplar / OCT Stack
OCT Stack

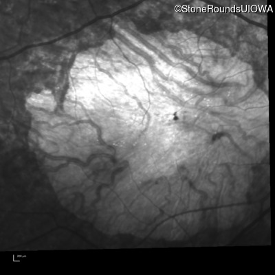
Infrared Fundus Photograph - Right - 10/200 sc

Exemplar

Infrared Fundus Photograph - Left - 10/200 sc

Exemplar

Visit at age: 85+ (Visit 2)

Goldmann Visual Field - Right - 10/200 -2 sc

Exemplar

Goldmann Visual Field - Left - 10/200 -3 sc

Exemplar

Optical Coherence Tomography - Right - 10/200 -2 sc

Exemplar / OCT Stack
OCT Stack
OCT Stack

Optical Coherence Tomography - Left - 10/200 -3 sc

Exemplar / OCT Stack
OCT Stack
OCT Stack

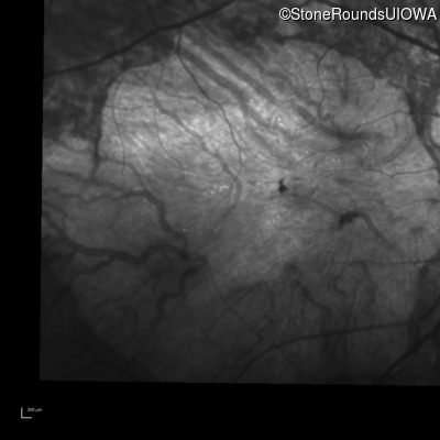
Infrared Fundus Photograph - Right - 10/200 -2 sc

Exemplar

Infrared Fundus Photograph - Left - 10/200 -3 sc

Exemplar

Blue Autofluorescence - Right - 10/200 -2 sc

Exemplar

Blue Autofluorescence - Left - 10/200 -3 sc

Exemplar

Visit at age: 85+ (Visit 3)

Optical Coherence Tomography - Right - Unable to Quantify

Exemplar / OCT Stack
OCT Stack

Optical Coherence Tomography - Left - Unable to Quantify

Exemplar / OCT Stack
OCT Stack

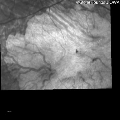
Infrared Fundus Photograph - Right - Unable to Quantify

Exemplar

Infrared Fundus Photograph - Left - Unable to Quantify

Exemplar

Blue Autofluorescence - Right - Unable to Quantify

Exemplar

Blue Autofluorescence - Left - Unable to Quantify

Exemplar

Visit at age: 85+ (Visit 4)

Optical Coherence Tomography - Right - 10/225 sc

Exemplar / OCT Stack
OCT Stack

Optical Coherence Tomography - Left - 10/400 sc

Exemplar / OCT Stack
OCT Stack

Infrared Fundus Photograph - Right - 10/225 sc

Exemplar

Infrared Fundus Photograph - Left - 10/400 sc

Exemplar

Blue Autofluorescence - Right - 10/225 sc

Exemplar

Blue Autofluorescence - Left - 10/400 sc

Exemplar

Visit at age: 85+ (Visit 5)

Optical Coherence Tomography - Right - 10/225 sc

Exemplar / OCT Stack
OCT Stack
OCT Stack

Optical Coherence Tomography - Left - 10/225 sc

Exemplar / OCT Stack
OCT Stack
OCT Stack

Infrared Fundus Photograph - Right - 10/225 sc

Exemplar

Infrared Fundus Photograph - Left - 10/225 sc

Exemplar

Visit at age: 85+ (Visit 6)

Optical Coherence Tomography - Right - 10/225 sc

Exemplar / OCT Stack
OCT Stack

Optical Coherence Tomography - Left - 10/300 sc

Exemplar / OCT Stack

Infrared Fundus Photograph - Right - 10/225 sc

Exemplar

Infrared Fundus Photograph - Left - 10/300 sc

Exemplar

Visit at age: 85+ (Visit 7)

Optical Coherence Tomography - Right - 10/225 sc

Exemplar / OCT Stack
OCT Stack

Optical Coherence Tomography - Left - 10/225 sc

Exemplar / OCT Stack
OCT Stack

Infrared Fundus Photograph - Right - 10/225 sc

Exemplar

Infrared Fundus Photograph - Left - 10/225 sc

Exemplar

Visit at age: 85+ (Visit 8)

Optical Coherence Tomography - Right - 10/200 sc

Exemplar / OCT Stack
OCT Stack
OCT Stack

Optical Coherence Tomography - Left - 10/300 sc

Exemplar / OCT Stack
OCT Stack
OCT Stack

Infrared Fundus Photograph - Right - 10/200 sc

Exemplar

Infrared Fundus Photograph - Left - 10/300 sc

Exemplar

Case Level Images


Please Login or Register to download images or create a PowerPoint slideshow.