SR263

SECORD (IA2b)

Male

Male

SR263

SECORD (IA2b)

Male

Male


Please Login or Register to download images or create a PowerPoint slideshow.


Visit at age: 12 years

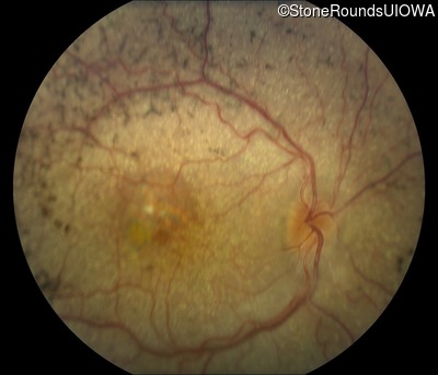
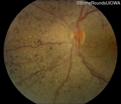
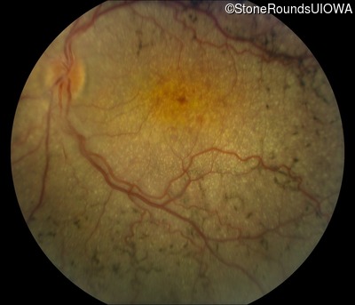
Fundus Photography - Right - 20/200 +1

Exemplar

Fundus Photography - Left - 20/100 -2

Exemplar

Fundus Montage - Right - 20/200 +1

Exemplar

Fundus Montage - Left - 20/100 -2

Exemplar

Goldmann Visual Field - Right - 20/200 +1

Exemplar

Goldmann Visual Field - Left - 20/100 -2

Exemplar

Optical Coherence Tomography - Right - 20/200 +1

Exemplar / OCT Stack
OCT Stack

Optical Coherence Tomography - Left - 20/100 -2

Exemplar / OCT Stack
OCT Stack

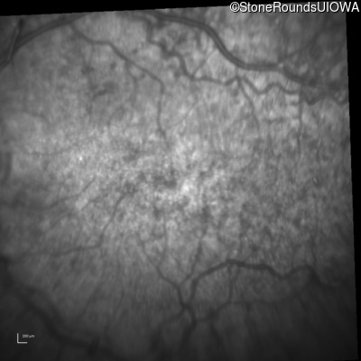
Infrared Fundus Photograph - Right - 20/200 +1

Exemplar

Infrared Fundus Photograph - Left - 20/100 -2

Exemplar

Visit at age: 13 years

Goldmann Visual Field - Right - 20/300

Exemplar

Goldmann Visual Field - Left - 20/80 -1

Exemplar

Visit at age: 14 years

Goldmann Visual Field - Right - 10/200

Exemplar

Goldmann Visual Field - Left - 10/63 -1

Exemplar

Visit at age: 18 years

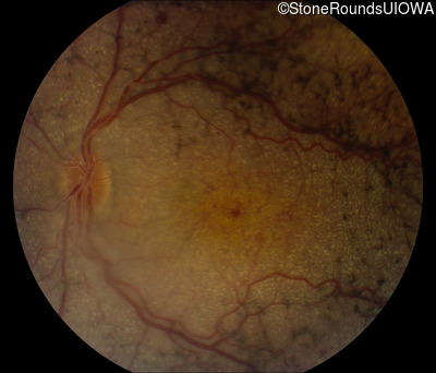
Fundus Photography - Right - 10/300

Exemplar

Fundus Photography - Left - 20/80 -1

Exemplar

Fundus Montage - Right - 10/300

Exemplar

Fundus Montage - Left - 20/80 -1

Exemplar

Goldmann Visual Field - Right - 10/300

Exemplar

Goldmann Visual Field - Left - 20/80 -1

Exemplar

Optical Coherence Tomography - Right - 10/300

Exemplar / OCT Stack
OCT Stack

Optical Coherence Tomography - Left - 20/80 -1

Exemplar / OCT Stack
OCT Stack

Infrared Fundus Photograph - Right - 10/300

Exemplar

Infrared Fundus Photograph - Left - 20/80 -1

Exemplar

Visit at age: 22 years

Fundus Photography - Right - 10/600

Exemplar

Fundus Photography - Left - 20/100 -2

Exemplar

Fundus Montage - Right - 10/600

Exemplar

Fundus Montage - Left - 20/100 -2

Exemplar

Goldmann Visual Field - Right - 10/600

Exemplar

Goldmann Visual Field - Left - 20/100 -2

Exemplar

Optical Coherence Tomography - Right - 10/600

Exemplar / OCT Stack
OCT Stack
OCT Stack

Optical Coherence Tomography - Left - 20/100 -2

Exemplar / OCT Stack
OCT Stack
OCT Stack

Infrared Fundus Photograph - Right - 10/600

Exemplar

Infrared Fundus Photograph - Left - 20/100 -2

Exemplar

Visit at age: 25 years

Optical Coherence Tomography - Right - 20/1000 sc

Exemplar / OCT Stack

Optical Coherence Tomography - Left - 20/500

Exemplar / OCT Stack
OCT Stack

Infrared Fundus Photograph - Right - 20/1000 sc

Exemplar

Infrared Fundus Photograph - Left - 20/500

Exemplar

Case Level Images


Please Login or Register to download images or create a PowerPoint slideshow.