SR1188

XL Choroideremia (IIIA1a)

Male

Male

SR1188

XL Choroideremia (IIIA1a)

Male

Male


Please Login or Register to download images or create a PowerPoint slideshow.


Visit at age: 6 years

Fundus Photography - Right - 10/16 sc

Exemplar

Fundus Photography - Left - 10/16 sc

Exemplar

Fundus Montage - Right - 10/16 sc

Exemplar

Fundus Montage - Left - 10/16 sc

Exemplar

Goldmann Visual Field - Right - 10/16 sc

Exemplar

Goldmann Visual Field - Left - 10/16 sc

Exemplar

Optical Coherence Tomography - Right - 10/16 sc

Exemplar / OCT Stack
OCT Stack
OCT Stack

Optical Coherence Tomography - Left - 10/16 sc

Exemplar / OCT Stack
OCT Stack
OCT Stack

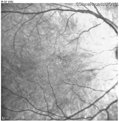
Infrared Fundus Photograph - Right - 10/16 sc

Exemplar

Infrared Fundus Photograph - Left - 10/16 sc

Exemplar

Visit at age: 6 years (Visit 2)

Fundus Photography - Right - 20/40 sc

Exemplar

Fundus Photography - Left - 20/40 sc

Exemplar

Goldmann Visual Field - Right - 20/40 sc

Exemplar

Goldmann Visual Field - Left - 20/40 sc

Exemplar

Optical Coherence Tomography - Right - 20/40 sc

Exemplar / OCT Stack
OCT Stack
OCT Stack

Optical Coherence Tomography - Left - 20/40 sc

Exemplar / OCT Stack
OCT Stack
OCT Stack

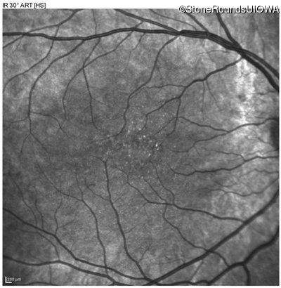
Infrared Fundus Photograph - Right - 20/40 sc

Exemplar

Infrared Fundus Photograph - Left - 20/40 sc

Exemplar

Visit at age: 7 years

Goldmann Visual Field - Right - 20/50 +1 sc

Exemplar

Goldmann Visual Field - Left - 20/50 +2 sc

Exemplar

Optical Coherence Tomography - Right - 20/50 +1 sc

Exemplar / OCT Stack
OCT Stack

Optical Coherence Tomography - Left - 20/50 +2 sc

Exemplar / OCT Stack
OCT Stack

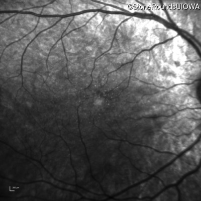
Infrared Fundus Photograph - Right - 20/50 +1 sc

Exemplar

Infrared Fundus Photograph - Left - 20/50 +2 sc

Exemplar

Case Level Images


Please Login or Register to download images or create a PowerPoint slideshow.