SR1914

Bardet Biedl Syndrome (IB2)

Male

Male

SR1914

Bardet Biedl Syndrome (IB2)

Male

Male


Please Login or Register to download images or create a PowerPoint slideshow.


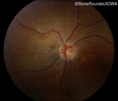
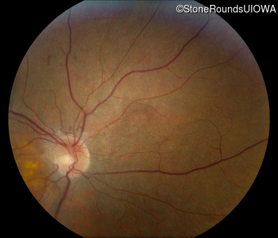
Visit at age: 11 years

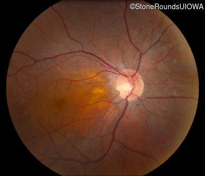
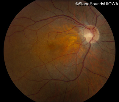
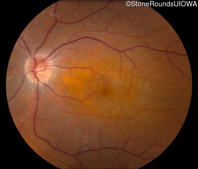
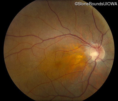
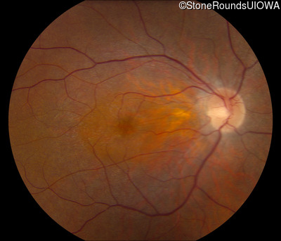
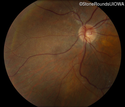
Fundus Photography - Right - 20/50 +1

Exemplar

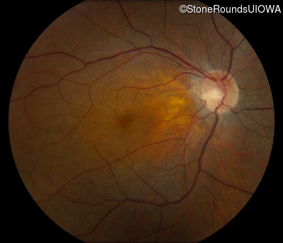
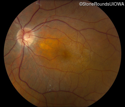
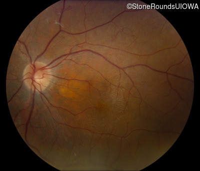
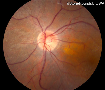
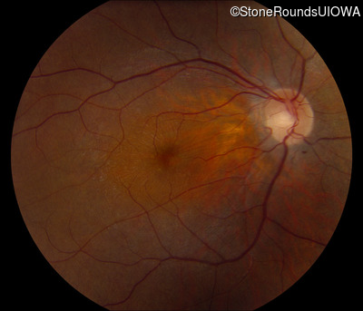
Fundus Photography - Left - 20/50 +1

Exemplar

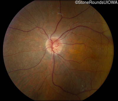
Fundus Montage - Right - 20/50 +1

Exemplar

Fundus Montage - Left - 20/50 +1

Exemplar

Goldmann Visual Field - Right - 20/50 +1

Exemplar

Goldmann Visual Field - Left - 20/50 +1

Exemplar

Optical Coherence Tomography - Right - 20/50 +1

Exemplar / OCT Stack
OCT Stack
OCT Stack

Optical Coherence Tomography - Left - 20/50 +1

Exemplar / OCT Stack
OCT Stack
OCT Stack

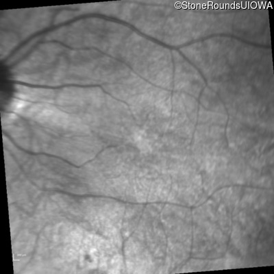
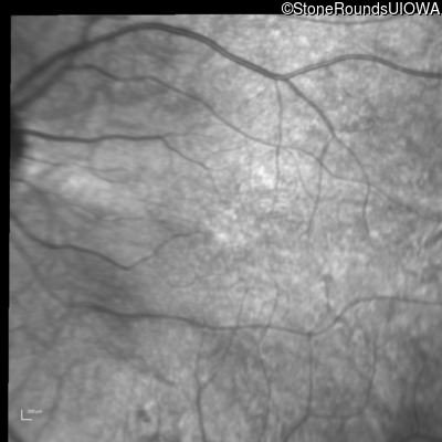
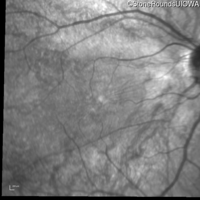
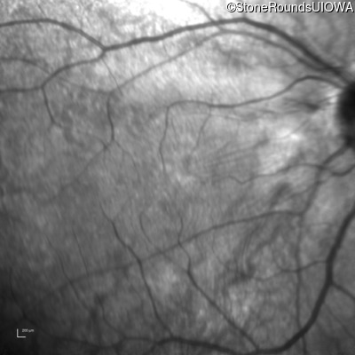
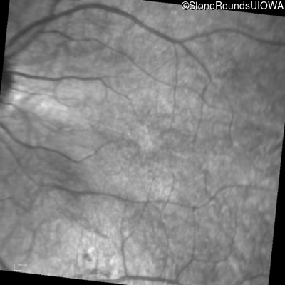
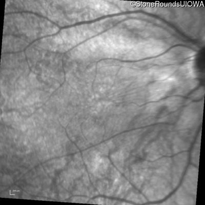
Infrared Fundus Photograph - Right - 20/50 +1

Exemplar

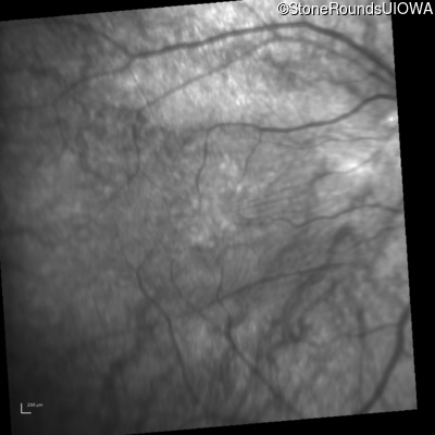
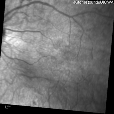
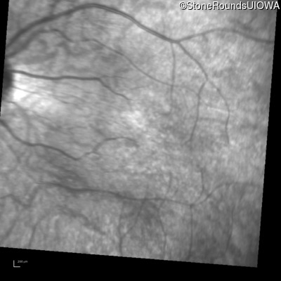
Infrared Fundus Photograph - Left - 20/50 +1

Exemplar

Fluorescein Angiography - Right - 20/50 +1

Exemplar

Fluorescein Angiography - Left - 20/50 +1

Exemplar

Visit at age: 11 years (Visit 2)

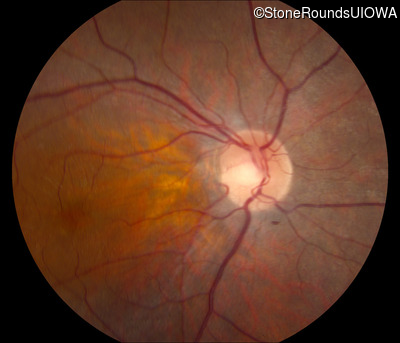
Fundus Photography - Right - 20/50 -1

Exemplar

Fundus Photography - Left - 20/40 -2

Exemplar

Fundus Montage - Right - 20/50 -1

Exemplar

Fundus Montage - Left - 20/40 -2

Exemplar

Optical Coherence Tomography - Right - 20/50 -1

Exemplar / OCT Stack
OCT Stack
OCT Stack

Optical Coherence Tomography - Left - 20/40 -2

Exemplar / OCT Stack
OCT Stack
OCT Stack

Infrared Fundus Photograph - Right - 20/50 -1

Exemplar

Infrared Fundus Photograph - Left - 20/40 -2

Exemplar

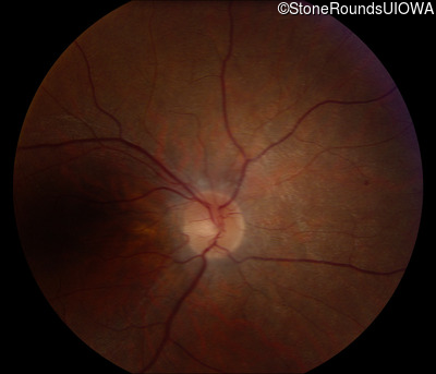
Visit at age: 12 years

Fundus Photography - Right - 20/40 -2

Exemplar

Fundus Photography - Left - 20/40 -2

Exemplar

Fundus Montage - Right - 20/40 -2

Exemplar

Fundus Montage - Left - 20/40 -2

Exemplar

Goldmann Visual Field - Right - 20/40 -2

Exemplar

Goldmann Visual Field - Left - 20/40 -2

Exemplar

Optical Coherence Tomography - Right - 20/40 -2

Exemplar / OCT Stack
OCT Stack
OCT Stack

Optical Coherence Tomography - Left - 20/40 -2

Exemplar / OCT Stack
OCT Stack
OCT Stack

Infrared Fundus Photograph - Right - 20/40 -2

Exemplar

Infrared Fundus Photograph - Left - 20/40 -2

Exemplar

Visit at age: 15 years

Fundus Photography - Right - 20/50 -1

Exemplar

Fundus Photography - Left - 20/50

Exemplar

Fundus Montage - Right - 20/50 -1

Exemplar

Fundus Montage - Left - 20/50

Exemplar

Goldmann Visual Field - Right - 20/50 -1

Exemplar

Goldmann Visual Field - Left - 20/50

Exemplar

Optical Coherence Tomography - Right - 20/50 -1

Exemplar / OCT Stack
OCT Stack
OCT Stack

Optical Coherence Tomography - Left - 20/50

Exemplar / OCT Stack
OCT Stack
OCT Stack

Infrared Fundus Photograph - Right - 20/50 -1

Exemplar

Infrared Fundus Photograph - Left - 20/50

Exemplar

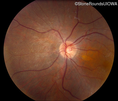
Visit at age: 16 years

Fundus Photography - Right - 20/50 +2

Exemplar

Fundus Photography - Left - 20/40 -2

Exemplar

Fundus Montage - Right - 20/50 +2

Exemplar

Fundus Montage - Left - 20/40 -2

Exemplar

Goldmann Visual Field - Right - 20/50 +2

Exemplar

Goldmann Visual Field - Left - 20/40 -2

Exemplar

Optical Coherence Tomography - Right - 20/50 +2

Exemplar / OCT Stack
OCT Stack

Optical Coherence Tomography - Left - 20/40 -2

Exemplar / OCT Stack
OCT Stack

Infrared Fundus Photograph - Right - 20/50 +2

Exemplar

Infrared Fundus Photograph - Left - 20/40 -2

Exemplar

Case Level Images


Please Login or Register to download images or create a PowerPoint slideshow.