SR195

XL Retinitis Pigmentosa (IA1ai)

Male

Male

SR195

XL Retinitis Pigmentosa (IA1ai)

Male

Male


Please Login or Register to download images or create a PowerPoint slideshow.


Visit at age: 7 years

Fundus Photography - Right - 20/60

Exemplar

Fundus Photography - Left - 20/70 +2

Exemplar

Fundus Montage - Right - 20/60

Exemplar

Fundus Montage - Left - 20/70 +2

Exemplar

Visit at age: 7 years (Visit 2)

Goldmann Visual Field - Right - 20/70 -1

Exemplar

Visit at age: 9 years

Goldmann Visual Field - Right - 20/100 sc

Exemplar

Goldmann Visual Field - Left - 20/125 sc

Exemplar

Visit at age: 10 years

Goldmann Visual Field - Right - 20/100

Exemplar

Goldmann Visual Field - Left - 20/80

Exemplar

Visit at age: 11 years

Goldmann Visual Field - Right - 20/60

Exemplar

Goldmann Visual Field - Left - 20/70

Exemplar

Optical Coherence Tomography - Right - 20/60

Exemplar / OCT Stack

Optical Coherence Tomography - Left - 20/70

Exemplar / OCT Stack

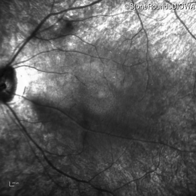
Infrared Fundus Photograph - Right - 20/60

Exemplar

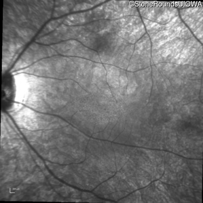
Infrared Fundus Photograph - Left - 20/70

Exemplar

Visit at age: 12 years

Goldmann Visual Field - Right - 20/100 -2

Exemplar

Goldmann Visual Field - Left - 20/100 -2

Exemplar

Optical Coherence Tomography - Right - 20/100 -2

Exemplar / OCT Stack
OCT Stack

Optical Coherence Tomography - Left - 20/100 -2

Exemplar / OCT Stack
OCT Stack

Infrared Fundus Photograph - Right - 20/100 -2

Exemplar

Infrared Fundus Photograph - Left - 20/100 -2

Exemplar

Visit at age: 13 years

Goldmann Visual Field - Right - 20/80 -2

Exemplar

Goldmann Visual Field - Left - 20/80 -2

Exemplar

Optical Coherence Tomography - Right - 20/80 -2

Exemplar / OCT Stack
OCT Stack

Optical Coherence Tomography - Left - 20/80 -2

Exemplar / OCT Stack
OCT Stack

Infrared Fundus Photograph - Right - 20/80 -2

Exemplar

Infrared Fundus Photograph - Left - 20/80 -2

Exemplar

Visit at age: 16 years

Goldmann Visual Field - Right - 20/100

Exemplar

Goldmann Visual Field - Left - 20/100

Exemplar

Optical Coherence Tomography - Right - 20/100

Exemplar / OCT Stack
OCT Stack

Optical Coherence Tomography - Left - 20/100

Exemplar / OCT Stack
OCT Stack

Infrared Fundus Photograph - Right - 20/100

Exemplar

Infrared Fundus Photograph - Left - 20/100

Exemplar

Visit at age: 20 years

Goldmann Visual Field - Right - 20/100 -1

Exemplar

Goldmann Visual Field - Left - 20/100 -1

Exemplar

Optical Coherence Tomography - Right - 20/100 -1

Exemplar / OCT Stack
OCT Stack
OCT Stack
OCT Stack

Optical Coherence Tomography - Left - 20/100 -1

Exemplar / OCT Stack
OCT Stack
OCT Stack
OCT Stack

Infrared Fundus Photograph - Right - 20/100 -1

Exemplar

Infrared Fundus Photograph - Left - 20/100 -1

Exemplar

Case Level Images


Please Login or Register to download images or create a PowerPoint slideshow.