SR678

AR Stargardt Disease (IIA)

Female

Female

SR678

Student Mode

1

AR Stargardt Disease (IIA)

2

Female

Female


Please Login or Register to download images or create a PowerPoint slideshow.


Visit at age: 11 years

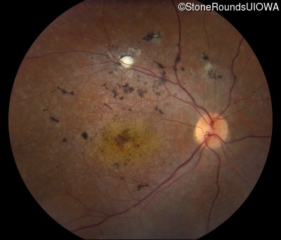
Fundus Photography - Right - 20/140 -1 sc

Exemplar

Fundus Photography - Left - 20/140 -1 sc

Exemplar

Goldmann Visual Field - Right - 20/140 -1 sc

Exemplar

Goldmann Visual Field - Left - 20/140 -1 sc

Exemplar

Visit at age: 11 years (Visit 2)

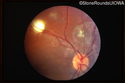
Fundus Photography - Right - 20/400 sc

Exemplar

Fundus Photography - Left - 20/300 sc

Exemplar

Fluorescein Angiography - Right - 20/400 sc

Exemplar

Fluorescein Angiography - Left - 20/300 sc

Exemplar

Visit at age: 13 years

Goldmann Visual Field - Right - 20/250 sc

Exemplar

Goldmann Visual Field - Left - 20/250 sc

Exemplar

Visit at age: 15 years

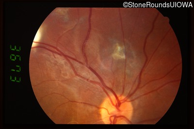
Fundus Photography - Right - 20/400 sc

Exemplar

Fundus Photography - Left - 20/300 sc

Exemplar

Goldmann Visual Field - Right - 20/400 sc

Exemplar

Goldmann Visual Field - Left - 20/300 sc

Exemplar

Visit at age: 18 years

Goldmann Visual Field - Right - 10/160 -1

Exemplar

Goldmann Visual Field - Left - 10/160 -2

Exemplar

Visit at age: 22 years

Goldmann Visual Field - Right - 20/300

Exemplar

Goldmann Visual Field - Left - Count Fingers 3'

Exemplar

Visit at age: 26 years

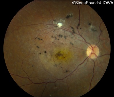
Fundus Photography - Right - 20/400 sc

Exemplar

Fundus Photography - Left - 20/250 sc

Exemplar

Optical Coherence Tomography - Right - 20/400 sc

Exemplar / OCT Stack

Optical Coherence Tomography - Left - 20/250 sc

Exemplar / OCT Stack

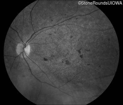
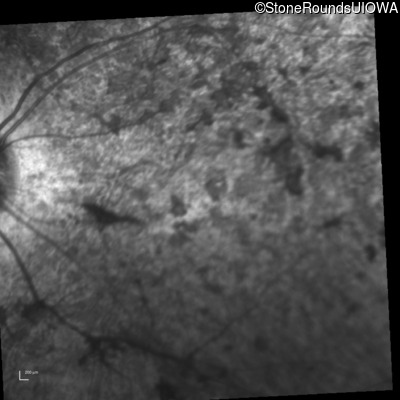
Infrared Fundus Photograph - Right - 20/400 sc

Exemplar

Infrared Fundus Photograph - Left - 20/250 sc

Exemplar

Visit at age: 27 years

Fundus Photography - Right - Count Fingers 3'

Exemplar

Fundus Photography - Left - 20/400 sc

Exemplar

Optical Coherence Tomography - Right - Count Fingers 3'

Exemplar / OCT Stack
OCT Stack

Optical Coherence Tomography - Left - 20/400 sc

Exemplar / OCT Stack

Infrared Fundus Photograph - Right - Count Fingers 3'

Exemplar

Infrared Fundus Photograph - Left - 20/400 sc

Exemplar

Fluorescein Angiography - Right - Count Fingers 3'

Exemplar

Fluorescein Angiography - Left - 20/400 sc

Exemplar

Visit at age: 27 years (Visit 2)

Fundus Photography - Right - Count Fingers 3' sc

Exemplar

Optical Coherence Tomography - Right - Count Fingers 3' sc

Exemplar / OCT Stack

Infrared Fundus Photograph - Right - Count Fingers 3' sc

Exemplar

Visit at age: 27 years (Visit 3)

Goldmann Visual Field - Right - 20/400 sc

Exemplar

Goldmann Visual Field - Left - 20/250 sc

Exemplar

Optical Coherence Tomography - Right - 20/400 sc

Exemplar / OCT Stack

Optical Coherence Tomography - Left - 20/250 sc

Exemplar / OCT Stack

Infrared Fundus Photograph - Right - 20/400 sc

Exemplar

Infrared Fundus Photograph - Left - 20/250 sc

Exemplar

Visit at age: 27 years (Visit 4)

Goldmann Visual Field - Right - 20/800 sc

Exemplar

Goldmann Visual Field - Left - 20/400 sc

Exemplar

Visit at age: 28 years

Fundus Photography - Right - 20/600 sc

Exemplar

Goldmann Visual Field - Right - 20/600 sc

Exemplar

Goldmann Visual Field - Left - 20/600 sc

Exemplar

Visit at age: 29 years

Fundus Photography - Right - 20/300 sc

Exemplar

Fundus Photography - Left - 20/400 sc

Exemplar

Visit at age: 30 years

Optical Coherence Tomography - Right - 20/300 sc

Exemplar / OCT Stack
OCT Stack

Optical Coherence Tomography - Left - 20/400 sc

Exemplar / OCT Stack

Infrared Fundus Photograph - Right - 20/300 sc

Exemplar

Infrared Fundus Photograph - Left - 20/400 sc

Exemplar

Visit at age: 31 years

Goldmann Visual Field - Right - 20/500 sc

Exemplar

Goldmann Visual Field - Left - 20/1000 sc

Exemplar

Optical Coherence Tomography - Right - 20/500 sc

Exemplar / OCT Stack
OCT Stack

Optical Coherence Tomography - Left - 20/1000 sc

Exemplar / OCT Stack
OCT Stack

Infrared Fundus Photograph - Right - 20/500 sc

Exemplar

Infrared Fundus Photograph - Left - 20/1000 sc

Exemplar

Visit at age: 32 years

Goldmann Visual Field - Right - 20/600 sc

Exemplar

Goldmann Visual Field - Left - 20/1000 sc

Exemplar

Optical Coherence Tomography - Right - 20/600 sc

Exemplar / OCT Stack
OCT Stack

Optical Coherence Tomography - Left - 20/1000 sc

Exemplar / OCT Stack
OCT Stack

Infrared Fundus Photograph - Right - 20/600 sc

Exemplar

Infrared Fundus Photograph - Left - 20/1000 sc

Exemplar

Visit at age: 33 years

Goldmann Visual Field - Right - 5/200 sc

Exemplar

Goldmann Visual Field - Left - 5/300 sc

Exemplar

Optical Coherence Tomography - Right - 5/200 sc

Exemplar / OCT Stack
OCT Stack
OCT Stack
OCT Stack

Optical Coherence Tomography - Left - 5/300 sc

Exemplar / OCT Stack
OCT Stack
OCT Stack
OCT Stack

Infrared Fundus Photograph - Right - 5/200 sc

Exemplar

Infrared Fundus Photograph - Left - 5/300 sc

Exemplar

Visit at age: 34 years

Goldmann Visual Field - Right - 20/500 sc

Exemplar

Goldmann Visual Field - Left - 20/1000 sc

Exemplar

Optical Coherence Tomography - Right - 20/500 sc

Exemplar / OCT Stack
OCT Stack
OCT Stack

Optical Coherence Tomography - Left - 20/1000 sc

Exemplar / OCT Stack
OCT Stack
OCT Stack

Infrared Fundus Photograph - Right - 20/500 sc

Exemplar

Infrared Fundus Photograph - Left - 20/1000 sc

Exemplar

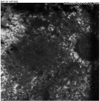
Blue Autofluorescence - Right - 20/500 sc

Exemplar

Blue Autofluorescence - Left - 20/1000 sc

Exemplar

Visit at age: 35 years

Goldmann Visual Field - Right - 20/500 sc

Exemplar

Goldmann Visual Field - Left - 20/1000 sc

Exemplar

Optical Coherence Tomography - Right - 20/500 sc

Exemplar / OCT Stack
OCT Stack

Optical Coherence Tomography - Left - 20/1000 sc

Exemplar / OCT Stack
OCT Stack

Infrared Fundus Photograph - Right - 20/500 sc

Exemplar

Infrared Fundus Photograph - Left - 20/1000 sc

Exemplar

Visit at age: 36 years

Goldmann Visual Field - Right - 20/600

Exemplar

Goldmann Visual Field - Left - 20/1000

Exemplar

Optical Coherence Tomography - Right - 20/600

Exemplar / OCT Stack
OCT Stack
OCT Stack

Optical Coherence Tomography - Left - 20/1000

Exemplar / OCT Stack
OCT Stack
OCT Stack

Infrared Fundus Photograph - Right - 20/600

Exemplar

Infrared Fundus Photograph - Left - 20/1000

Exemplar

Visit at age: 37 years

Optical Coherence Tomography - Right - 10/700 sc

Exemplar / OCT Stack
OCT Stack
OCT Stack

Optical Coherence Tomography - Left - 10/700 sc

Exemplar / OCT Stack
OCT Stack
OCT Stack

Infrared Fundus Photograph - Right - 10/700 sc

Exemplar

Infrared Fundus Photograph - Left - 10/700 sc

Exemplar

Visit at age: 40 years

Fundus Photography - Right - Hand Motions 1' sc

Exemplar

Fundus Photography - Left - Hand Motions 1' sc

Exemplar

Case Level Images


Please Login or Register to download images or create a PowerPoint slideshow.