SR446

AR Stargardt Disease (IIA)

Female

Female

SR446

AR Stargardt Disease (IIA)

Female

Female


Please Login or Register to download images or create a PowerPoint slideshow.


Visit at age: 26 years

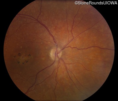
Fundus Photography - Right - 10/160

Exemplar

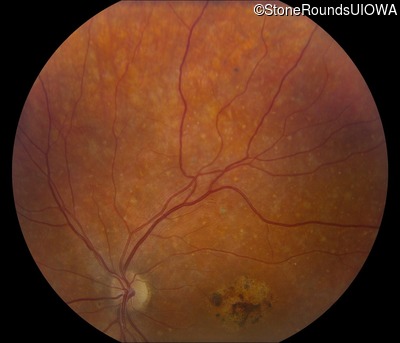
Fundus Photography - Left - 10/125

Exemplar

Fundus Montage - Right - 10/160

Exemplar

Fundus Montage - Left - 10/125

Exemplar

Goldmann Visual Field - Right - 10/160

Exemplar

Goldmann Visual Field - Left - 10/125

Exemplar

Optical Coherence Tomography - Right - 10/160

Exemplar / OCT Stack
OCT Stack

Optical Coherence Tomography - Left - 10/125

Exemplar / OCT Stack
OCT Stack

Infrared Fundus Photograph - Right - 10/160

Exemplar

Infrared Fundus Photograph - Left - 10/125

Exemplar

Visit at age: 27 years

Goldmann Visual Field - Right - 20/400 sc

Exemplar

Goldmann Visual Field - Left - 20/150 sc

Exemplar

Optical Coherence Tomography - Right - 20/400 sc

Exemplar / OCT Stack
OCT Stack

Optical Coherence Tomography - Left - 20/150 sc

Exemplar / OCT Stack
OCT Stack

Infrared Fundus Photograph - Right - 20/400 sc

Exemplar

Infrared Fundus Photograph - Left - 20/150 sc

Exemplar

Visit at age: 31 years

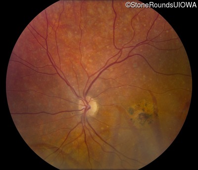
Fundus Photography - Right - 10/200 -2

Exemplar

Fundus Photography - Left - 10/125 +1

Exemplar

Fundus Montage - Right - 10/200 -2

Exemplar

Fundus Montage - Left - 10/125 +1

Exemplar

Goldmann Visual Field - Right - 10/200 -2

Exemplar

Goldmann Visual Field - Left - 10/125 +1

Exemplar

Optical Coherence Tomography - Right - 10/200 -2

Exemplar / OCT Stack
OCT Stack
OCT Stack

Optical Coherence Tomography - Left - 10/125 +1

Exemplar / OCT Stack
OCT Stack
OCT Stack

Infrared Fundus Photograph - Right - 10/200 -2

Exemplar

Infrared Fundus Photograph - Left - 10/125 +1

Exemplar

Case Level Images


Please Login or Register to download images or create a PowerPoint slideshow.