SR1859

AR Stargardt Disease (IIA)

Female

Female

SR1859

AR Stargardt Disease (IIA)

Female

Female


Please Login or Register to download images or create a PowerPoint slideshow.


Visit at age: 16 years

Fundus Photography - Right - 10/125 -1

Exemplar

Fundus Photography - Left - 10/125 -1

Exemplar

Fundus Montage - Right - 10/125 -1

Exemplar

Fundus Montage - Left - 10/125 -1

Exemplar

Goldmann Visual Field - Right - 10/125 -1

Exemplar

Goldmann Visual Field - Left - 10/125 -1

Exemplar

Optical Coherence Tomography - Right - 10/125 -1

Exemplar / OCT Stack
OCT Stack
OCT Stack

Optical Coherence Tomography - Left - 10/125 -1

Exemplar / OCT Stack
OCT Stack
OCT Stack

Infrared Fundus Photograph - Right - 10/125 -1

Exemplar

Infrared Fundus Photograph - Left - 10/125 -1

Exemplar

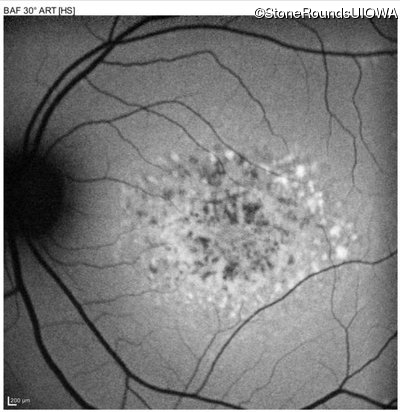
Blue Autofluorescence - Right - 10/125 -1

Exemplar

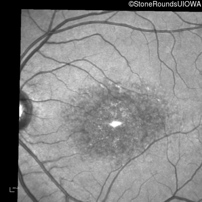
Blue Autofluorescence - Left - 10/125 -1

Exemplar

Visit at age: 17 years

Goldmann Visual Field - Right - 10/125 -2 sc

Exemplar

Goldmann Visual Field - Left - 10/125 -2 sc

Exemplar

Optical Coherence Tomography - Right - 10/125 -2 sc

Exemplar / OCT Stack
OCT Stack
OCT Stack

Optical Coherence Tomography - Left - 10/125 -2 sc

Exemplar / OCT Stack
OCT Stack
OCT Stack

Infrared Fundus Photograph - Right - 10/125 -2 sc

Exemplar

Infrared Fundus Photograph - Left - 10/125 -2 sc

Exemplar

Blue Autofluorescence - Right - 10/125 -2 sc

Exemplar

Blue Autofluorescence - Left - 10/125 -2 sc

Exemplar

Visit at age: 18 years

Goldmann Visual Field - Right - 10/160 -2 sc

Exemplar

Goldmann Visual Field - Left - 10/160 sc

Exemplar

Optical Coherence Tomography - Right - 10/160 -2 sc

Exemplar / OCT Stack
OCT Stack
OCT Stack

Optical Coherence Tomography - Left - 10/160 sc

Exemplar / OCT Stack
OCT Stack
OCT Stack

Infrared Fundus Photograph - Right - 10/160 -2 sc

Exemplar

Infrared Fundus Photograph - Left - 10/160 sc

Exemplar

Blue Autofluorescence - Right - 10/160 -2 sc

Exemplar

Blue Autofluorescence - Left - 10/160 sc

Exemplar

Visit at age: 20 years

Optical Coherence Tomography - Right - 10/160 sc

Exemplar / OCT Stack
OCT Stack

Optical Coherence Tomography - Left - 10/160 +1 sc

Exemplar / OCT Stack
OCT Stack

Infrared Fundus Photograph - Right - 10/160 sc

Exemplar

Infrared Fundus Photograph - Left - 10/160 +1 sc

Exemplar

Visit at age: 22 years

Goldmann Visual Field - Right - 10/200 sc

Exemplar

Goldmann Visual Field - Left - 10/200 +2 sc

Exemplar

Optical Coherence Tomography - Right - 10/200 sc

Exemplar / OCT Stack
OCT Stack
OCT Stack

Optical Coherence Tomography - Left - 10/200 +2 sc

Exemplar / OCT Stack
OCT Stack
OCT Stack

Infrared Fundus Photograph - Right - 10/200 sc

Exemplar

Infrared Fundus Photograph - Left - 10/200 +2 sc

Exemplar

Case Level Images


Please Login or Register to download images or create a PowerPoint slideshow.