SR2571

AR Stargardt Disease (IIA)

Male

Male

SR2571

Student Mode

1

AR Stargardt Disease (IIA)

2

Male

Male


Please Login or Register to download images or create a PowerPoint slideshow.


Visit at age: 14 years

Fundus Photography - Right - 20/200 -3 sc

Exemplar

Fundus Photography - Left - 20/200 -2 sc

Exemplar

Fundus Montage - Right - 20/200 -3 sc

Exemplar

Fundus Montage - Left - 20/200 -2 sc

Exemplar

Goldmann Visual Field - Right - 20/200 -3 sc

Exemplar

Goldmann Visual Field - Left - 20/200 -2 sc

Exemplar

Optical Coherence Tomography - Right - 20/200 -3 sc

Exemplar / OCT Stack

Optical Coherence Tomography - Left - 20/200 -2 sc

Exemplar / OCT Stack

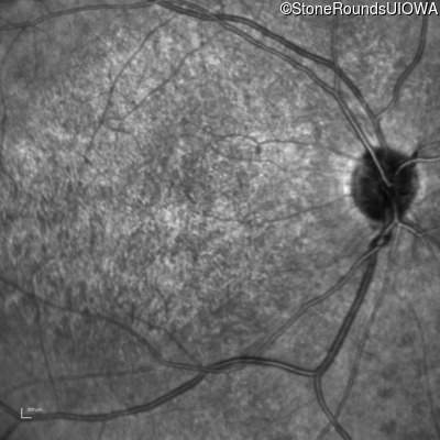
Infrared Fundus Photograph - Right - 20/200 -3 sc

Exemplar

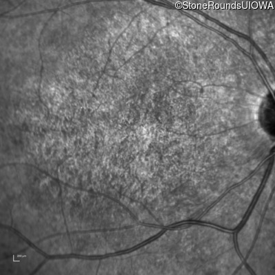
Infrared Fundus Photograph - Left - 20/200 -2 sc

Exemplar

Blue Autofluorescence - Right - 20/200 -3 sc

Exemplar

Blue Autofluorescence - Left - 20/200 -2 sc

Exemplar

Visit at age: 16 years

Goldmann Visual Field - Right - 10/125 -2 sc

Exemplar

Goldmann Visual Field - Left - 10/125 -2 sc

Exemplar

Optical Coherence Tomography - Right - 10/125 -2 sc

Exemplar / OCT Stack
OCT Stack
OCT Stack
OCT Stack
OCT Stack

Optical Coherence Tomography - Left - 10/125 -2 sc

Exemplar / OCT Stack
OCT Stack

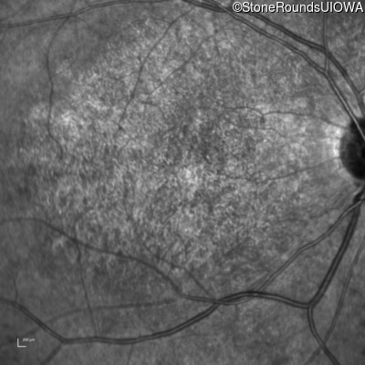
Infrared Fundus Photograph - Right - 10/125 -2 sc

Exemplar

Infrared Fundus Photograph - Left - 10/125 -2 sc

Exemplar

Blue Autofluorescence - Right - 10/125 -2 sc

Exemplar

Blue Autofluorescence - Left - 10/125 -2 sc

Exemplar

Case Level Images


Please Login or Register to download images or create a PowerPoint slideshow.