SR2921

SECORD (IA2b)

Female

Female

SR2921

SECORD (IA2b)

Female

Female


Please Login or Register to download images or create a PowerPoint slideshow.


Visit at age: 7 years

Fundus Photography - Right - 20/200

Exemplar

Fundus Photography - Left - 20/100 -1

Exemplar

Visit at age: 9 years

Fundus Photography - Right - 20/200 sc

Exemplar

Fundus Photography - Left - 20/200 sc

Exemplar

Visit at age: 10 years

Fundus Photography - Right - 20/200 +1 sc

Exemplar

Fundus Photography - Left - 20/100 sc

Exemplar

Goldmann Visual Field - Right - 20/200 +1 sc

Exemplar

Goldmann Visual Field - Left - 20/100 sc

Exemplar

Visit at age: 14 years

Goldmann Visual Field - Right - 20/200 sc

Exemplar

Goldmann Visual Field - Left - 20/125 -1 sc

Exemplar

Visit at age: 16 years

Goldmann Visual Field - Right - 20/160 sc

Exemplar

Goldmann Visual Field - Left - 20/100 -1 sc

Exemplar

Visit at age: 19 years

Fundus Photography - Right - 20/200 sc

Exemplar

Fundus Photography - Left - 20/160 sc

Exemplar

Visit at age: 36 years

Fundus Photography - Right - 10/300 sc

Exemplar

Fundus Photography - Left - 10/350 sc

Exemplar

Goldmann Visual Field - Right - 10/300 sc

Exemplar

Goldmann Visual Field - Left - 10/350 sc

Exemplar

Optical Coherence Tomography - Right - 10/300 sc

Exemplar / OCT Stack
OCT Stack

Optical Coherence Tomography - Left - 10/350 sc

Exemplar / OCT Stack
OCT Stack

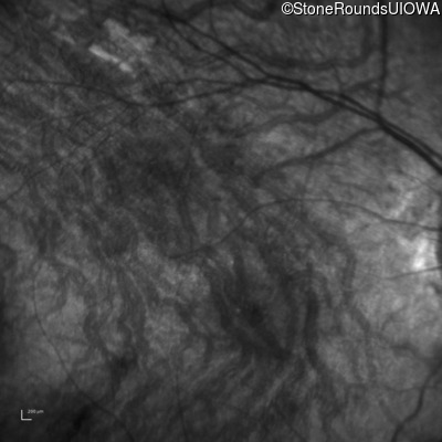
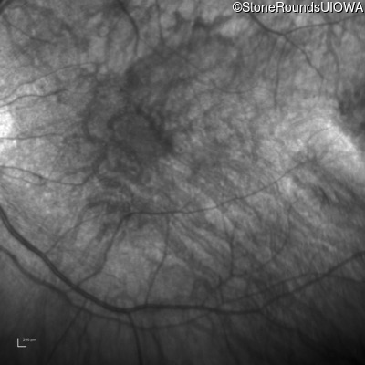
Infrared Fundus Photograph - Right - 10/300 sc

Exemplar

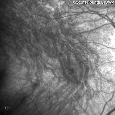
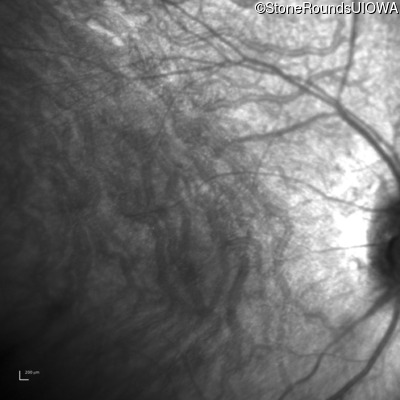
Infrared Fundus Photograph - Left - 10/350 sc

Exemplar

Blue Autofluorescence - Right - 10/300 sc

Exemplar

Green Autofluorescence - Right - 10/300 sc

Exemplar

Green Autofluorescence - Left - 10/350 sc

Exemplar

Visit at age: 37 years

Fundus Photography - Left - 20/500 sc

Exemplar

Optical Coherence Tomography - Left - 20/500 sc

Exemplar / OCT Stack
OCT Stack

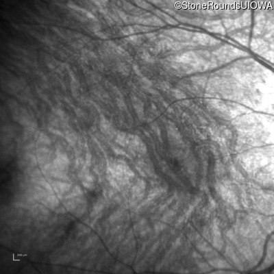
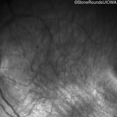
Infrared Fundus Photograph - Left - 20/500 sc

Exemplar

Blue Autofluorescence - Left - 20/500 sc

Exemplar

Visit at age: 37 years (Visit 2)

Fundus Photography - Right - 20/300 sc

Exemplar

Fundus Photography - Left - 20/400 sc

Exemplar

Goldmann Visual Field - Right - 20/300 sc

Exemplar

Goldmann Visual Field - Left - 20/400 sc

Exemplar

Optical Coherence Tomography - Right - 20/300 sc

Exemplar / OCT Stack

Optical Coherence Tomography - Left - 20/400 sc

Exemplar / OCT Stack

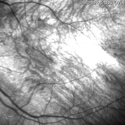
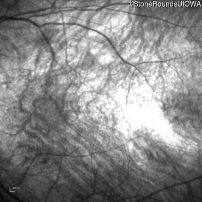
Infrared Fundus Photograph - Right - 20/300 sc

Exemplar

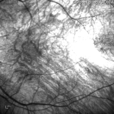
Infrared Fundus Photograph - Left - 20/400 sc

Exemplar

Green Autofluorescence - Right - 20/300 sc

Exemplar

Green Autofluorescence - Left - 20/400 sc

Exemplar

Visit at age: 37 years (Visit 3)

Fundus Photography - Right - 20/400 sc

Exemplar

Fundus Photography - Left - 20/300 sc

Exemplar

Optical Coherence Tomography - Right - 20/400 sc

Exemplar / OCT Stack
OCT Stack
OCT Stack
OCT Stack
OCT Stack
OCT Stack

Optical Coherence Tomography - Left - 20/300 sc

Exemplar / OCT Stack
OCT Stack
OCT Stack
OCT Stack
OCT Stack
OCT Stack
OCT Stack
OCT Stack
OCT Stack
OCT Stack
OCT Stack

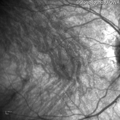
Infrared Fundus Photograph - Right - 20/400 sc

Exemplar

Infrared Fundus Photograph - Left - 20/300 sc

Exemplar

Visit at age: 38 years

Fundus Photography - Right - 20/300 sc

Exemplar

Fundus Photography - Left - 20/250 sc

Exemplar

Optical Coherence Tomography - Right - 20/300 sc

Exemplar / OCT Stack

Optical Coherence Tomography - Left - 20/250 sc

Exemplar / OCT Stack

Infrared Fundus Photograph - Right - 20/300 sc

Exemplar

Infrared Fundus Photograph - Left - 20/250 sc

Exemplar

Green Autofluorescence - Right - 20/300 sc

Exemplar

Green Autofluorescence - Left - 20/250 sc

Exemplar

Visit at age: 38 years (Visit 2)

Fundus Photography - Right - 20/150 sc

Exemplar

Fundus Photography - Left - 20/300 sc

Exemplar

Optical Coherence Tomography - Right - 20/150 sc

Exemplar / OCT Stack

Optical Coherence Tomography - Left - 20/300 sc

Exemplar / OCT Stack

Infrared Fundus Photograph - Right - 20/150 sc

Exemplar

Infrared Fundus Photograph - Left - 20/300 sc

Exemplar

Blue Autofluorescence - Left - 20/300 sc

Exemplar

Green Autofluorescence - Right - 20/150 sc

Exemplar

Green Autofluorescence - Left - 20/300 sc

Exemplar

Visit at age: 38 years (Visit 3)

Fundus Photography - Right - 20/150 sc

Exemplar

Fundus Photography - Left - 20/250 sc

Exemplar

Optical Coherence Tomography - Right - 20/150 sc

Exemplar / OCT Stack

Optical Coherence Tomography - Left - 20/250 sc

Exemplar / OCT Stack

Infrared Fundus Photograph - Right - 20/150 sc

Exemplar

Infrared Fundus Photograph - Left - 20/250 sc

Exemplar

Visit at age: 39 years

Fundus Photography - Right - 10/140 sc

Exemplar

Fundus Photography - Left - 10/400 sc

Exemplar

Optical Coherence Tomography - Right - 10/140 sc

Exemplar / OCT Stack

Optical Coherence Tomography - Left - 10/400 sc

Exemplar / OCT Stack

Infrared Fundus Photograph - Right - 10/140 sc

Exemplar

Infrared Fundus Photograph - Left - 10/400 sc

Exemplar

Green Autofluorescence - Right - 10/140 sc

Exemplar

Green Autofluorescence - Left - 10/400 sc

Exemplar

Case Level Images


Please Login or Register to download images or create a PowerPoint slideshow.