SR1471

AR Stargardt Disease (IIA)

Female

Female

SR1471

AR Stargardt Disease (IIA)

Female

Female


Please Login or Register to download images or create a PowerPoint slideshow.


Visit at age: 51 years

Fundus Photography - Right - 20/20 -3

Exemplar

Fundus Photography - Left - 20/25 +2

Exemplar

Goldmann Visual Field - Right - 20/20 -3

Exemplar

Goldmann Visual Field - Left - 20/25 +2

Exemplar

Visit at age: 54 years

Fundus Photography - Right - 20/125

Exemplar

Fundus Photography - Left - 20/50

Exemplar

Optical Coherence Tomography - Right - 20/125

Exemplar / OCT Stack
OCT Stack

Optical Coherence Tomography - Left - 20/50

Exemplar / OCT Stack
OCT Stack

Infrared Fundus Photograph - Right - 20/125

Exemplar

Infrared Fundus Photograph - Left - 20/50

Exemplar

Visit at age: 54 years (Visit 2)

Optical Coherence Tomography - Right - 20/40 -2 sc

Exemplar / OCT Stack
OCT Stack

Optical Coherence Tomography - Left - 20/60 sc

Exemplar / OCT Stack
OCT Stack

Infrared Fundus Photograph - Right - 20/40 -2 sc

Exemplar

Infrared Fundus Photograph - Left - 20/60 sc

Exemplar

Visit at age: 55 years

Optical Coherence Tomography - Right - 20/20 -1

Exemplar / OCT Stack
OCT Stack

Optical Coherence Tomography - Left - 20/20

Exemplar / OCT Stack
OCT Stack

Infrared Fundus Photograph - Right - 20/20 -1

Exemplar

Infrared Fundus Photograph - Left - 20/20

Exemplar

Visit at age: 55 years (Visit 2)

Fundus Photography - Right - 20/20 -2

Exemplar

Fundus Montage - Right - 20/20 -2

Exemplar

Optical Coherence Tomography - Right - 20/20 -2

Exemplar / OCT Stack
OCT Stack

Optical Coherence Tomography - Left - 20/25

Exemplar / OCT Stack
OCT Stack

Infrared Fundus Photograph - Right - 20/20 -2

Exemplar

Infrared Fundus Photograph - Left - 20/25

Exemplar

Visit at age: 57 years

Fundus Photography - Right - 20/20 -3

Exemplar

Fundus Photography - Left - 20/40 +2

Exemplar

Fundus Montage - Right - 20/20 -3

Exemplar

Fundus Montage - Left - 20/40 +2

Exemplar

Goldmann Visual Field - Right - 20/20 -3

Exemplar

Goldmann Visual Field - Left - 20/40 +2

Exemplar

Optical Coherence Tomography - Right - 20/20 -3

Exemplar / OCT Stack
OCT Stack
OCT Stack

Optical Coherence Tomography - Left - 20/40 +2

Exemplar / OCT Stack
OCT Stack
OCT Stack

Infrared Fundus Photograph - Right - 20/20 -3

Exemplar

Infrared Fundus Photograph - Left - 20/40 +2

Exemplar

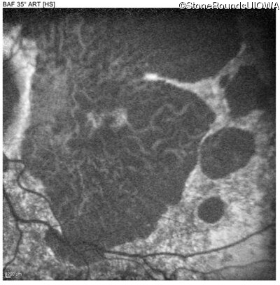
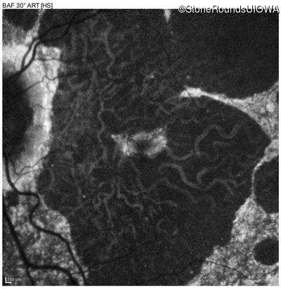
Blue Autofluorescence - Right - 20/20 -3

Exemplar

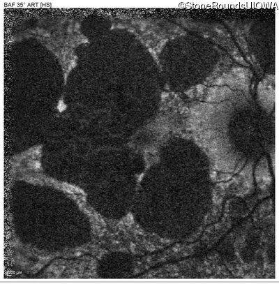
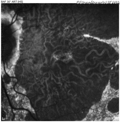
Blue Autofluorescence - Left - 20/40 +2

Exemplar

Visit at age: 58 years

Goldmann Visual Field - Right - 20/30 +1

Exemplar

Goldmann Visual Field - Left - 20/30 +1

Exemplar

Optical Coherence Tomography - Right - 20/30 +1

Exemplar / OCT Stack
OCT Stack

Optical Coherence Tomography - Left - 20/30 +1

Exemplar / OCT Stack
OCT Stack

Infrared Fundus Photograph - Right - 20/30 +1

Exemplar

Infrared Fundus Photograph - Left - 20/30 +1

Exemplar

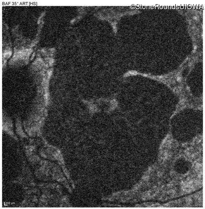
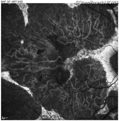
Blue Autofluorescence - Right - 20/30 +1

Exemplar

Blue Autofluorescence - Left - 20/30 +1

Exemplar

Visit at age: 59 years

Goldmann Visual Field - Right - 20/40 -2 sc

Exemplar

Goldmann Visual Field - Left - 20/60 +2 sc

Exemplar

Optical Coherence Tomography - Right - 20/40 -2 sc

Exemplar / OCT Stack
OCT Stack

Optical Coherence Tomography - Left - 20/60 +2 sc

Exemplar / OCT Stack
OCT Stack

Infrared Fundus Photograph - Right - 20/40 -2 sc

Exemplar

Infrared Fundus Photograph - Left - 20/60 +2 sc

Exemplar

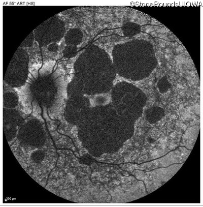
Blue Autofluorescence - Right - 20/40 -2 sc

Exemplar

Blue Autofluorescence - Left - 20/60 +2 sc

Exemplar

Visit at age: 61 years

Goldmann Visual Field - Right - 20/25 -1

Exemplar

Goldmann Visual Field - Left - 20/25 -1

Exemplar

Optical Coherence Tomography - Right - 20/25 -1

Exemplar / OCT Stack
OCT Stack

Optical Coherence Tomography - Left - 20/25 -1

Exemplar / OCT Stack
OCT Stack

Infrared Fundus Photograph - Right - 20/25 -1

Exemplar

Infrared Fundus Photograph - Left - 20/25 -1

Exemplar

Blue Autofluorescence - Right - 20/25 -1

Exemplar

Blue Autofluorescence - Left - 20/25 -1

Exemplar

Visit at age: 62 years

Goldmann Visual Field - Right - 20/25 +2

Exemplar

Goldmann Visual Field - Left - 20/20 -1

Exemplar

Optical Coherence Tomography - Right - 20/25 +2

Exemplar / OCT Stack
OCT Stack

Optical Coherence Tomography - Left - 20/20 -1

Exemplar / OCT Stack
OCT Stack

Infrared Fundus Photograph - Right - 20/25 +2

Exemplar

Infrared Fundus Photograph - Left - 20/20 -1

Exemplar

Blue Autofluorescence - Left - 20/20 -1

Exemplar

Visit at age: 64 years

Goldmann Visual Field - Right - 20/25 -1

Exemplar

Goldmann Visual Field - Left - 20/25 -1

Exemplar

Optical Coherence Tomography - Right - 20/25 -1

Exemplar / OCT Stack
OCT Stack

Optical Coherence Tomography - Left - 20/25 -1

Exemplar / OCT Stack
OCT Stack

Infrared Fundus Photograph - Right - 20/25 -1

Exemplar

Infrared Fundus Photograph - Left - 20/25 -1

Exemplar

Blue Autofluorescence - Right - 20/25 -1

Exemplar

Blue Autofluorescence - Left - 20/25 -1

Exemplar

Visit at age: 66 years

Optical Coherence Tomography - Right - 20/40 -2

Exemplar / OCT Stack
OCT Stack

Optical Coherence Tomography - Left - 20/40 +1

Exemplar / OCT Stack
OCT Stack

Infrared Fundus Photograph - Right - 20/40 -2

Exemplar

Infrared Fundus Photograph - Left - 20/40 +1

Exemplar

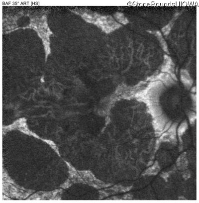
Blue Autofluorescence - Right - 20/40 -2

Exemplar

Blue Autofluorescence - Left - 20/40 +1

Exemplar

Case Level Images


Please Login or Register to download images or create a PowerPoint slideshow.