SR343

Bardet Biedl Syndrome (IB2)

Male

Male

SR343

Bardet Biedl Syndrome (IB2)

Male

Male


Please Login or Register to download images or create a PowerPoint slideshow.


Visit at age: 14 years

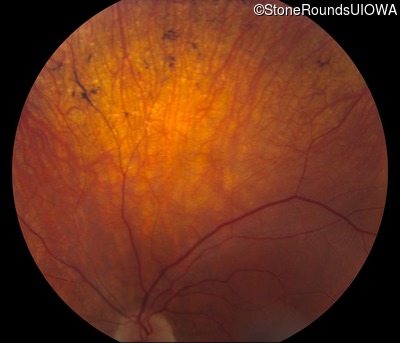
Fundus Photography - Right - 20/40 -2

Exemplar

Fundus Photography - Left - 20/40

Exemplar

Fundus Montage - Right - 20/40 -2

Exemplar

Fundus Montage - Left - 20/40

Exemplar

Goldmann Visual Field - Right - 20/40 -2

Exemplar

Goldmann Visual Field - Left - 20/40

Exemplar

Optical Coherence Tomography - Right - 20/40 -2

Exemplar / OCT Stack
OCT Stack

Optical Coherence Tomography - Left - 20/40

Exemplar / OCT Stack
OCT Stack

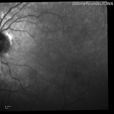
Infrared Fundus Photograph - Right - 20/40 -2

Exemplar

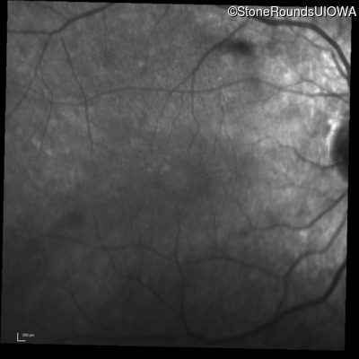
Infrared Fundus Photograph - Left - 20/40

Exemplar

Visit at age: 16 years

Goldmann Visual Field - Right - 20/70

Exemplar

Goldmann Visual Field - Left - 20/50 -1

Exemplar

Optical Coherence Tomography - Right - 20/70

Exemplar / OCT Stack
OCT Stack

Optical Coherence Tomography - Left - 20/50 -1

Exemplar / OCT Stack
OCT Stack

Infrared Fundus Photograph - Right - 20/70

Exemplar

Infrared Fundus Photograph - Left - 20/50 -1

Exemplar

Case Level Images


Please Login or Register to download images or create a PowerPoint slideshow.