SR3008

Pattern Dystrophy (IIC)

Female

Female

SR3008

Pattern Dystrophy (IIC)

Female

Female


Please Login or Register to download images or create a PowerPoint slideshow.


Visit at age: 29 years

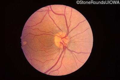
Fundus Photography - Right - 20/25 +2 sc

Exemplar

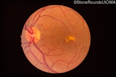
Fundus Photography - Left - 20/20 -1 sc

Exemplar

Goldmann Visual Field - Right - 20/25 +2 sc

Exemplar

Goldmann Visual Field - Left - 20/20 -1 sc

Exemplar

Fluorescein Angiography - Right - 20/25 +2 sc

Exemplar

Fluorescein Angiography - Left - 20/20 -1 sc

Exemplar

Visit at age: 36 years

Fundus Photography - Right - 20/20 sc

Exemplar

Fundus Photography - Left - 20/20 -1 sc

Exemplar

Visit at age: 39 years

Fundus Photography - Right - 20/20 sc

Exemplar

Fundus Photography - Left - 20/20 -1 sc

Exemplar

Visit at age: 53 years

Fundus Photography - Right - 20/40 -1

Exemplar

Fundus Photography - Left - 20/25

Exemplar

Fundus Montage - Right - 20/40 -1

Exemplar

Fundus Montage - Left - 20/25

Exemplar

Goldmann Visual Field - Right - 20/40 -1

Exemplar

Goldmann Visual Field - Left - 20/25

Exemplar

Optical Coherence Tomography - Right - 20/40 -1

Exemplar / OCT Stack
OCT Stack

Optical Coherence Tomography - Left - 20/25

Exemplar / OCT Stack
OCT Stack

Infrared Fundus Photograph - Right - 20/40 -1

Exemplar

Infrared Fundus Photograph - Left - 20/25

Exemplar

Blue Autofluorescence - Right - 20/40 -1

Exemplar

Blue Autofluorescence - Left - 20/25

Exemplar

Visit at age: 57 years

Fundus Photography - Right - 20/200 -1

Exemplar

Fundus Photography - Left - 20/40 -2

Exemplar

Optical Coherence Tomography - Right - 20/200 -1

Exemplar / OCT Stack
OCT Stack

Optical Coherence Tomography - Left - 20/40 -2

Exemplar / OCT Stack
OCT Stack

Infrared Fundus Photograph - Right - 20/200 -1

Exemplar

Infrared Fundus Photograph - Left - 20/40 -2

Exemplar

Case Level Images


Please Login or Register to download images or create a PowerPoint slideshow.