SR3051

Alagille Syndrome (IB)

Female

Female

SR3051

Alagille Syndrome (IB)

Female

Female


Please Login or Register to download images or create a PowerPoint slideshow.


Visit at age: 30 years

Fundus Photography - Right - Light Perception

Exemplar

Fundus Photography - Left - 20/63

Exemplar

Fundus Montage - Right - Light Perception

Exemplar

Fundus Montage - Left - 20/63

Exemplar

Goldmann Visual Field - Right - Light Perception

Exemplar

Goldmann Visual Field - Left - 20/63

Exemplar

Optical Coherence Tomography - Right - Light Perception

Exemplar / OCT Stack
OCT Stack
OCT Stack

Optical Coherence Tomography - Left - 20/63

Exemplar / OCT Stack
OCT Stack
OCT Stack

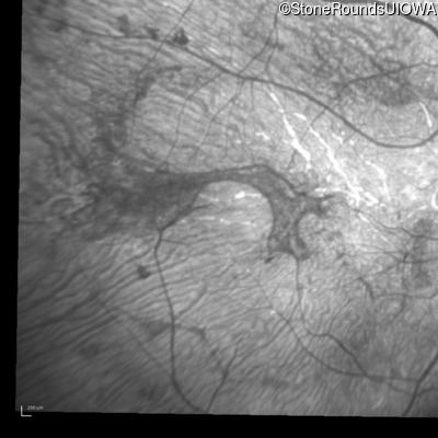
Infrared Fundus Photograph - Right - Light Perception

Exemplar

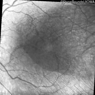
Infrared Fundus Photograph - Left - 20/63

Exemplar

Visit at age: 32 years

Goldmann Visual Field - Left - 20/60

Exemplar

Optical Coherence Tomography - Right - Light Perception

Exemplar / OCT Stack
OCT Stack
OCT Stack

Optical Coherence Tomography - Left - 20/60

Exemplar / OCT Stack
OCT Stack
OCT Stack

Infrared Fundus Photograph - Right - Light Perception

Exemplar

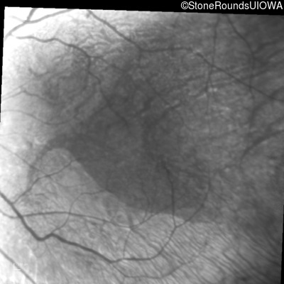
Infrared Fundus Photograph - Left - 20/60

Exemplar

Case Level Images


Please Login or Register to download images or create a PowerPoint slideshow.