SR806

Leber Congenital Amaurosis (IA2a)

Female

Female

SR806

Leber Congenital Amaurosis (IA2a)

Female

Female


Please Login or Register to download images or create a PowerPoint slideshow.


Visit at age: 7 years

Fundus Photography - Right - 20/40 -2

Exemplar

Fundus Photography - Left - 20/40 -1

Exemplar

Goldmann Visual Field - Right - 20/40 -2

Exemplar

Goldmann Visual Field - Left - 20/40 -1

Exemplar

Optical Coherence Tomography - Right - 20/40 -2

Exemplar / OCT Stack
OCT Stack

Optical Coherence Tomography - Left - 20/40 -1

Exemplar / OCT Stack

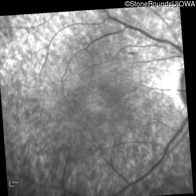
Infrared Fundus Photograph - Right - 20/40 -2

Exemplar

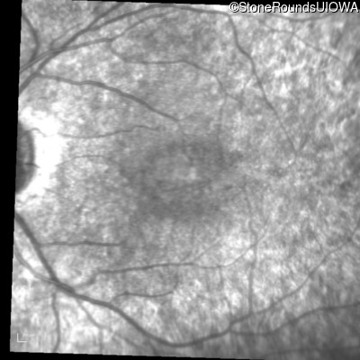
Infrared Fundus Photograph - Left - 20/40 -1

Exemplar

Visit at age: 7 years (Visit 2)

Goldmann Visual Field - Right - 20/40

Exemplar

Goldmann Visual Field - Left - 20/50

Exemplar

Optical Coherence Tomography - Right - 20/40

Exemplar / OCT Stack
OCT Stack

Optical Coherence Tomography - Left - 20/50

Exemplar / OCT Stack
OCT Stack
OCT Stack

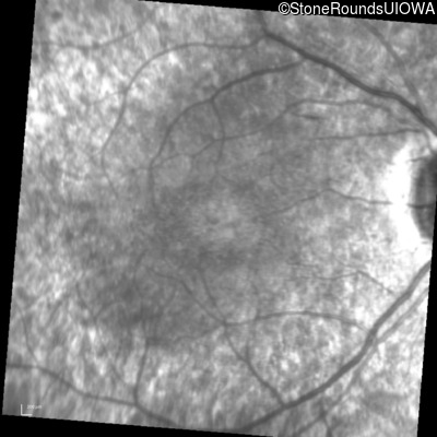
Infrared Fundus Photograph - Right - 20/40

Exemplar

Infrared Fundus Photograph - Left - 20/50

Exemplar

Visit at age: 8 years

Goldmann Visual Field - Right - 20/40 -2

Exemplar

Goldmann Visual Field - Left - 20/40 +1

Exemplar

Optical Coherence Tomography - Right - 20/40 -2

Exemplar / OCT Stack
OCT Stack

Optical Coherence Tomography - Left - 20/40 +1

Exemplar / OCT Stack
OCT Stack

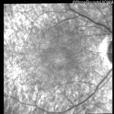
Infrared Fundus Photograph - Right - 20/40 -2

Exemplar

Infrared Fundus Photograph - Left - 20/40 +1

Exemplar

Visit at age: 9 years

Goldmann Visual Field - Right - 20/40 +2

Exemplar

Goldmann Visual Field - Left - 20/40

Exemplar

Optical Coherence Tomography - Right - 20/40 +2

Exemplar / OCT Stack
OCT Stack

Optical Coherence Tomography - Left - 20/40

Exemplar / OCT Stack
OCT Stack

Infrared Fundus Photograph - Right - 20/40 +2

Exemplar

Infrared Fundus Photograph - Left - 20/40

Exemplar

Visit at age: 10 years

Goldmann Visual Field - Right - 20/50

Exemplar

Goldmann Visual Field - Left - 20/50

Exemplar

Optical Coherence Tomography - Right - 20/50

Exemplar / OCT Stack
OCT Stack

Optical Coherence Tomography - Left - 20/50

Exemplar / OCT Stack
OCT Stack

Infrared Fundus Photograph - Right - 20/50

Exemplar

Infrared Fundus Photograph - Left - 20/50

Exemplar

Visit at age: 12 years

Fundus Photography - Right - 20/32 +1

Exemplar

Fundus Photography - Left - 20/40 -1

Exemplar

Fundus Montage - Right - 20/32 +1

Exemplar

Fundus Montage - Left - 20/40 -1

Exemplar

Goldmann Visual Field - Right - 20/32 +1

Exemplar

Goldmann Visual Field - Left - 20/40 -1

Exemplar

Optical Coherence Tomography - Right - 20/32 +1

Exemplar / OCT Stack
OCT Stack

Optical Coherence Tomography - Left - 20/40 -1

Exemplar / OCT Stack
OCT Stack

Infrared Fundus Photograph - Right - 20/32 +1

Exemplar

Infrared Fundus Photograph - Left - 20/40 -1

Exemplar

Visit at age: 13 years

Goldmann Visual Field - Right - 20/40

Exemplar

Goldmann Visual Field - Left - 20/32

Exemplar

Optical Coherence Tomography - Right - 20/40

Exemplar / OCT Stack
OCT Stack
OCT Stack

Optical Coherence Tomography - Left - 20/32

Exemplar / OCT Stack
OCT Stack
OCT Stack

Infrared Fundus Photograph - Right - 20/40

Exemplar

Infrared Fundus Photograph - Left - 20/32

Exemplar

Visit at age: 14 years

Goldmann Visual Field - Right - 20/32

Exemplar

Goldmann Visual Field - Left - 20/32

Exemplar

Optical Coherence Tomography - Right - 20/32

Exemplar / OCT Stack
OCT Stack
OCT Stack

Optical Coherence Tomography - Left - 20/32

Exemplar / OCT Stack
OCT Stack
OCT Stack

Infrared Fundus Photograph - Right - 20/32

Exemplar

Infrared Fundus Photograph - Left - 20/32

Exemplar

Visit at age: 15 years

Goldmann Visual Field - Right - 20/32 +1

Exemplar

Goldmann Visual Field - Left - 20/40 +1

Exemplar

Optical Coherence Tomography - Right - 20/32 +1

Exemplar / OCT Stack
OCT Stack
OCT Stack

Optical Coherence Tomography - Left - 20/40 +1

Exemplar / OCT Stack
OCT Stack
OCT Stack

Infrared Fundus Photograph - Right - 20/32 +1

Exemplar

Infrared Fundus Photograph - Left - 20/40 +1

Exemplar

Visit at age: 16 years

Goldmann Visual Field - Right - 20/32

Exemplar

Goldmann Visual Field - Left - 20/40 +2

Exemplar

Optical Coherence Tomography - Right - 20/32

Exemplar / OCT Stack
OCT Stack
OCT Stack

Optical Coherence Tomography - Left - 20/40 +2

Exemplar / OCT Stack
OCT Stack
OCT Stack

Infrared Fundus Photograph - Right - 20/32

Exemplar

Infrared Fundus Photograph - Left - 20/40 +2

Exemplar

Visit at age: 17 years

Goldmann Visual Field - Right - 20/32 +2

Exemplar

Goldmann Visual Field - Left - 20/40 +1

Exemplar

Optical Coherence Tomography - Right - 20/32 +2

Exemplar / OCT Stack
OCT Stack
OCT Stack

Optical Coherence Tomography - Left - 20/40 +1

Exemplar / OCT Stack
OCT Stack
OCT Stack

Infrared Fundus Photograph - Right - 20/32 +2

Exemplar

Infrared Fundus Photograph - Left - 20/40 +1

Exemplar

Visit at age: 19 years

Goldmann Visual Field - Right - 20/32

Exemplar

Goldmann Visual Field - Left - 20/32

Exemplar

Optical Coherence Tomography - Right - 20/32

Exemplar / OCT Stack
OCT Stack
OCT Stack

Optical Coherence Tomography - Left - 20/32

Exemplar / OCT Stack
OCT Stack
OCT Stack

Infrared Fundus Photograph - Right - 20/32

Exemplar

Infrared Fundus Photograph - Left - 20/32

Exemplar

Visit at age: 21 years

Optical Coherence Tomography - Right - 20/25 -2

Exemplar / OCT Stack
OCT Stack
OCT Stack

Optical Coherence Tomography - Left - 20/32

Exemplar / OCT Stack
OCT Stack
OCT Stack

Infrared Fundus Photograph - Right - 20/25 -2

Exemplar

Infrared Fundus Photograph - Left - 20/32

Exemplar

Case Level Images


Please Login or Register to download images or create a PowerPoint slideshow.