SR1869

AR Stargardt Disease (IIA)

Female

Female

SR1869

AR Stargardt Disease (IIA)

Female

Female


Please Login or Register to download images or create a PowerPoint slideshow.


Visit at age: 20 years

Fundus Photography - Right - 20/32

Exemplar

Fundus Photography - Left - 20/50

Exemplar

Fundus Montage - Right - 20/32

Exemplar

Fundus Montage - Left - 20/50

Exemplar

Goldmann Visual Field - Right - 20/32

Exemplar

Goldmann Visual Field - Left - 20/50

Exemplar

Optical Coherence Tomography - Right - 20/32

Exemplar / OCT Stack
OCT Stack

Optical Coherence Tomography - Left - 20/50

Exemplar / OCT Stack
OCT Stack
OCT Stack

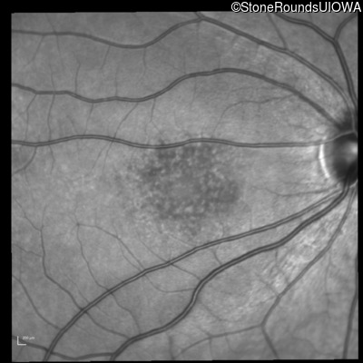
Infrared Fundus Photograph - Right - 20/32

Exemplar

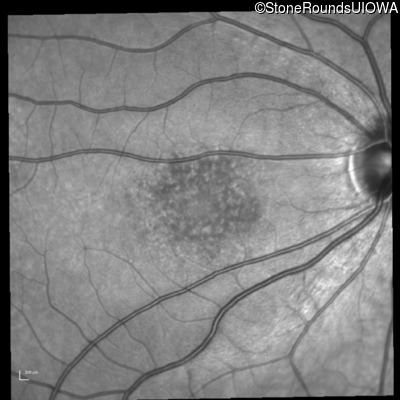
Infrared Fundus Photograph - Left - 20/50

Exemplar

Blue Autofluorescence - Right - 20/32

Exemplar

Blue Autofluorescence - Left - 20/50

Exemplar

Visit at age: 22 years

Goldmann Visual Field - Right - 20/160 -1 sc

Exemplar

Goldmann Visual Field - Left - 20/125 -2 sc

Exemplar

Optical Coherence Tomography - Right - 20/160 -1 sc

Exemplar / OCT Stack
OCT Stack
OCT Stack

Optical Coherence Tomography - Left - 20/125 -2 sc

Exemplar / OCT Stack
OCT Stack
OCT Stack

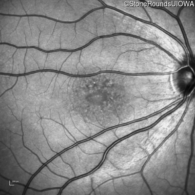
Infrared Fundus Photograph - Right - 20/160 -1 sc

Exemplar

Infrared Fundus Photograph - Left - 20/125 -2 sc

Exemplar

Blue Autofluorescence - Right - 20/160 -1 sc

Exemplar

Blue Autofluorescence - Left - 20/125 -2 sc

Exemplar

Case Level Images


Please Login or Register to download images or create a PowerPoint slideshow.