SR2091

AD Retinitis Pigmentosa (IA1aii)

Male

Male

SR2091

Student Mode

1

AD Retinitis Pigmentosa (IA1aii)

2

Male

Male


Please Login or Register to download images or create a PowerPoint slideshow.


Visit at age: 44 years

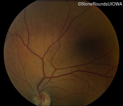
Fundus Photography - Right - 20/20 -3

Exemplar

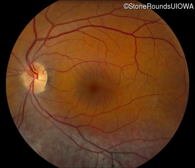
Fundus Photography - Left - 20/20 -2

Exemplar

Optical Coherence Tomography - Right - 20/20 -3

Exemplar / OCT Stack
OCT Stack

Optical Coherence Tomography - Left - 20/20 -2

Exemplar / OCT Stack
OCT Stack

Infrared Fundus Photograph - Right - 20/20 -3

Exemplar

Infrared Fundus Photograph - Left - 20/20 -2

Exemplar

Visit at age: 45 years

Fundus Photography - Right - 20/20

Exemplar

Fundus Photography - Left - 20/16 -2

Exemplar

Fundus Montage - Right - 20/20

Exemplar

Fundus Montage - Left - 20/16 -2

Exemplar

Goldmann Visual Field - Right - 20/20

Exemplar

Goldmann Visual Field - Left - 20/16 -2

Exemplar

Visit at age: 47 years

Goldmann Visual Field - Right - 20/20 +1

Exemplar

Goldmann Visual Field - Left - 20/20 -2

Exemplar

Optical Coherence Tomography - Right - 20/20 +1

Exemplar / OCT Stack
OCT Stack
OCT Stack

Optical Coherence Tomography - Left - 20/20 -2

Exemplar / OCT Stack
OCT Stack
OCT Stack

Infrared Fundus Photograph - Right - 20/20 +1

Exemplar

Infrared Fundus Photograph - Left - 20/20 -2

Exemplar

Case Level Images


Please Login or Register to download images or create a PowerPoint slideshow.