SR418

Recessive Retinoschisis (IIIB2)

Female

Female

SR418

Recessive Retinoschisis (IIIB2)

Female

Female


Please Login or Register to download images or create a PowerPoint slideshow.


Visit at age: 15 years

Fundus Photography - Right - 20/40 +1

Exemplar

Fundus Photography - Left - 20/50

Exemplar

Fundus Montage - Right - 20/40 +1

Exemplar

Fundus Montage - Left - 20/50

Exemplar

Goldmann Visual Field - Right - 20/40 +1

Exemplar

Goldmann Visual Field - Left - 20/50

Exemplar

Optical Coherence Tomography - Right - 20/40 +1

Exemplar / OCT Stack
OCT Stack

Optical Coherence Tomography - Left - 20/50

Exemplar / OCT Stack
OCT Stack

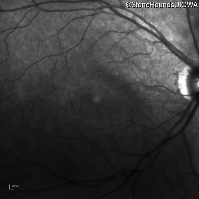
Infrared Fundus Photograph - Right - 20/40 +1

Exemplar

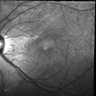
Infrared Fundus Photograph - Left - 20/50

Exemplar

Visit at age: 15 years (Visit 2)

Goldmann Visual Field - Right - 20/50 +2

Exemplar

Goldmann Visual Field - Left - 20/50 -2

Exemplar

Optical Coherence Tomography - Right - 20/50 +2

Exemplar / OCT Stack
OCT Stack

Optical Coherence Tomography - Left - 20/50 -2

Exemplar / OCT Stack
OCT Stack

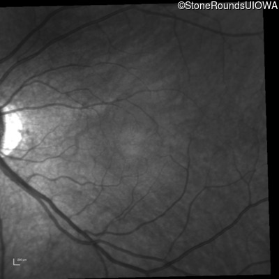
Infrared Fundus Photograph - Right - 20/50 +2

Exemplar

Infrared Fundus Photograph - Left - 20/50 -2

Exemplar

Visit at age: 16 years

Goldmann Visual Field - Right - 20/25

Exemplar

Goldmann Visual Field - Left - 20/40 +2

Exemplar

Optical Coherence Tomography - Right - 20/25

Exemplar / OCT Stack
OCT Stack
OCT Stack

Optical Coherence Tomography - Left - 20/40 +2

Exemplar / OCT Stack
OCT Stack
OCT Stack

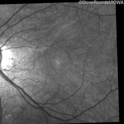
Infrared Fundus Photograph - Right - 20/25

Exemplar

Infrared Fundus Photograph - Left - 20/40 +2

Exemplar

Visit at age: 17 years

Goldmann Visual Field - Right - 20/25 +2

Exemplar

Goldmann Visual Field - Left - 20/30 -2

Exemplar

Optical Coherence Tomography - Right - 20/25 +2

Exemplar / OCT Stack
OCT Stack
OCT Stack

Optical Coherence Tomography - Left - 20/30 -2

Exemplar / OCT Stack
OCT Stack
OCT Stack

Infrared Fundus Photograph - Right - 20/25 +2

Exemplar

Infrared Fundus Photograph - Left - 20/30 -2

Exemplar

Visit at age: 18 years

Goldmann Visual Field - Right - 20/20 -3

Exemplar

Goldmann Visual Field - Left - 20/20 -2

Exemplar

Optical Coherence Tomography - Right - 20/20 -3

Exemplar / OCT Stack
OCT Stack
OCT Stack
OCT Stack
OCT Stack
OCT Stack

Optical Coherence Tomography - Left - 20/20 -2

Exemplar / OCT Stack
OCT Stack
OCT Stack
OCT Stack
OCT Stack
OCT Stack

Infrared Fundus Photograph - Right - 20/20 -3

Exemplar

Infrared Fundus Photograph - Left - 20/20 -2

Exemplar

Visit at age: 20 years

Goldmann Visual Field - Right - 20/20 -2

Exemplar

Goldmann Visual Field - Left - 20/25 -2

Exemplar

Optical Coherence Tomography - Right - 20/20 -2

Exemplar / OCT Stack
OCT Stack
OCT Stack

Optical Coherence Tomography - Left - 20/25 -2

Exemplar / OCT Stack
OCT Stack
OCT Stack

Infrared Fundus Photograph - Right - 20/20 -2

Exemplar

Infrared Fundus Photograph - Left - 20/25 -2

Exemplar

Visit at age: 22 years

Goldmann Visual Field - Right - 20/25

Exemplar

Goldmann Visual Field - Left - 20/25 -3

Exemplar

Optical Coherence Tomography - Right - 20/25

Exemplar / OCT Stack
OCT Stack
OCT Stack

Optical Coherence Tomography - Left - 20/25 -3

Exemplar / OCT Stack
OCT Stack
OCT Stack

Infrared Fundus Photograph - Right - 20/25

Exemplar

Infrared Fundus Photograph - Left - 20/25 -3

Exemplar

Case Level Images


Please Login or Register to download images or create a PowerPoint slideshow.