SR447

Type 1 Usher Syndrome (IB1a)

Female

Female

SR447

Type 1 Usher Syndrome (IB1a)

Female

Female


Please Login or Register to download images or create a PowerPoint slideshow.


Visit at age: 46 years

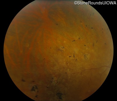
Fundus Photography - Right - 20/32

Exemplar

Fundus Photography - Left - 20/32

Exemplar

Fundus Montage - Right - 20/32

Exemplar

Goldmann Visual Field - Right - 20/32

Exemplar

Goldmann Visual Field - Left - 20/32

Exemplar

Optical Coherence Tomography - Right - 20/32

Exemplar / OCT Stack
OCT Stack

Optical Coherence Tomography - Left - 20/32

Exemplar / OCT Stack
OCT Stack

Infrared Fundus Photograph - Right - 20/32

Exemplar

Infrared Fundus Photograph - Left - 20/32

Exemplar

Visit at age: 47 years

Optical Coherence Tomography - Right - 20/32 -2

Exemplar / OCT Stack
OCT Stack

Optical Coherence Tomography - Left - 20/32 -1

Exemplar / OCT Stack
OCT Stack

Infrared Fundus Photograph - Right - 20/32 -2

Exemplar

Infrared Fundus Photograph - Left - 20/32 -1

Exemplar

Visit at age: 53 years

Goldmann Visual Field - Right - 20/40

Exemplar

Goldmann Visual Field - Left - 20/30

Exemplar

Optical Coherence Tomography - Right - 20/40

Exemplar / OCT Stack
OCT Stack

Optical Coherence Tomography - Left - 20/30

Exemplar / OCT Stack
OCT Stack

Infrared Fundus Photograph - Right - 20/40

Exemplar

Infrared Fundus Photograph - Left - 20/30

Exemplar

Case Level Images


Please Login or Register to download images or create a PowerPoint slideshow.