SR479

Alpha Mannosidosis (IB)

Female

Female

SR479

Alpha Mannosidosis (IB)

Female

Female


Please Login or Register to download images or create a PowerPoint slideshow.


Visit at age: 45 years

Fundus Photography - Right - 20/40 -1

Exemplar

Fundus Photography - Left - 10/300 sc

Exemplar

Fundus Montage - Right - 20/40 -1

Exemplar

Fundus Montage - Left - 10/300 sc

Exemplar

Goldmann Visual Field - Right - 20/40 -1

Exemplar

Goldmann Visual Field - Left - 10/300 sc

Exemplar

Optical Coherence Tomography - Right - 20/40 -1

Exemplar / OCT Stack
OCT Stack

Optical Coherence Tomography - Left - 10/300 sc

Exemplar / OCT Stack
OCT Stack

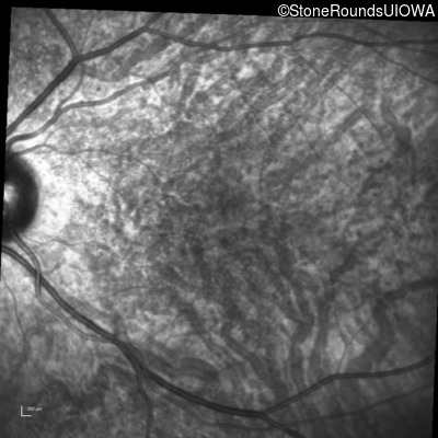
Infrared Fundus Photograph - Right - 20/40 -1

Exemplar

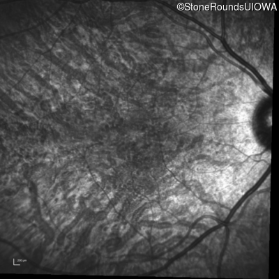
Infrared Fundus Photograph - Left - 10/300 sc

Exemplar

Visit at age: 46 years

Goldmann Visual Field - Right - 20/150 sc

Exemplar

Goldmann Visual Field - Left - 20/800 sc

Exemplar

Optical Coherence Tomography - Right - 20/150 sc

Exemplar / OCT Stack
OCT Stack

Optical Coherence Tomography - Left - 20/800 sc

Exemplar / OCT Stack
OCT Stack

Infrared Fundus Photograph - Right - 20/150 sc

Exemplar

Infrared Fundus Photograph - Left - 20/800 sc

Exemplar

Visit at age: 46 years (Visit 2)

Goldmann Visual Field - Right - 10/300 sc

Exemplar

Goldmann Visual Field - Left - 10/600 sc

Exemplar

Optical Coherence Tomography - Right - 10/300 sc

Exemplar / OCT Stack
OCT Stack

Optical Coherence Tomography - Left - 10/600 sc

Exemplar / OCT Stack
OCT Stack

Infrared Fundus Photograph - Right - 10/300 sc

Exemplar

Infrared Fundus Photograph - Left - 10/600 sc

Exemplar

Visit at age: 47 years

Fundus Photography - Right - 10/350 sc

Exemplar

Fundus Photography - Left - 10/400 sc

Exemplar

Fundus Montage - Right - 10/350 sc

Exemplar

Fundus Montage - Left - 10/400 sc

Exemplar

Goldmann Visual Field - Right - 10/350 sc

Exemplar

Goldmann Visual Field - Left - 10/400 sc

Exemplar

Optical Coherence Tomography - Right - 10/350 sc

Exemplar / OCT Stack
OCT Stack

Optical Coherence Tomography - Left - 10/400 sc

Exemplar / OCT Stack
OCT Stack

Infrared Fundus Photograph - Right - 10/350 sc

Exemplar

Infrared Fundus Photograph - Left - 10/400 sc

Exemplar

Blue Autofluorescence - Right - 10/350 sc

Exemplar

Blue Autofluorescence - Left - 10/400 sc

Exemplar

Visit at age: 49 years

Goldmann Visual Field - Right - 20/600 sc

Exemplar

Goldmann Visual Field - Left - 20/800 sc

Exemplar

Optical Coherence Tomography - Right - 20/600 sc

Exemplar / OCT Stack
OCT Stack

Optical Coherence Tomography - Left - 20/800 sc

Exemplar / OCT Stack
OCT Stack

Infrared Fundus Photograph - Right - 20/600 sc

Exemplar

Infrared Fundus Photograph - Left - 20/800 sc

Exemplar

Visit at age: 53 years

Goldmann Visual Field - Right - 10/600 sc

Exemplar

Goldmann Visual Field - Left - 5/400 sc

Exemplar

Optical Coherence Tomography - Right - 10/600 sc

Exemplar / OCT Stack
OCT Stack

Optical Coherence Tomography - Left - 5/400 sc

Exemplar / OCT Stack
OCT Stack

Infrared Fundus Photograph - Right - 10/600 sc

Exemplar

Infrared Fundus Photograph - Left - 5/400 sc

Exemplar

Case Level Images


Please Login or Register to download images or create a PowerPoint slideshow.