SR1028

Usher Syndrome (IB1)

Female

Female

SR1028

Usher Syndrome (IB1)

Female

Female

Highlighted Images

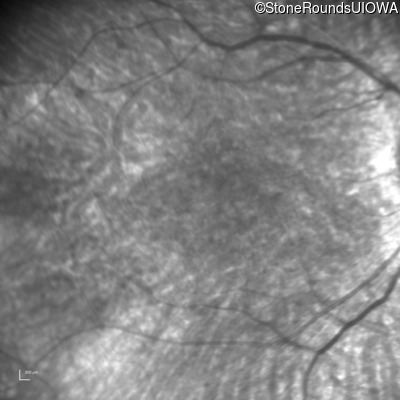
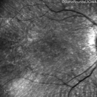
Age at visit: 10 years
OD OS

Pedigree

Age at visit: 10 years
Age at visit: 11 years
Age at visit: 12 years
Age at visit: 13 years
Age at visit: 14 years
Age at visit: 16 years

Diagnosis & molecular findings

Disease Gene Allele 1 variant(s) Allele 2 variant(s) Inheritance mode
Usher Syndrome TUBB4B Glu410Lys GAG>AAG   AD
Disease:
Gene:
Allele 1:
Glu410Lys GAG>AAG
Allele 2:
 
Inheritance:
AD
Cite this case