SR1471

AR Stargardt Disease (IIA)

Female

Female

SR1471

AR Stargardt Disease (IIA)

Female

Female

Highlighted Images

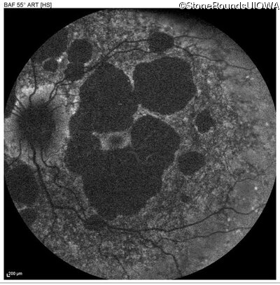
Age at visit: 51 years
OD OS

History

This 51 year old woman first experienced some abnormality in her distance vision when she was 27 years old. She feels that her vision has been stable since that time.

Pedigree

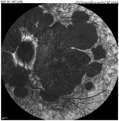
Age at visit: 51 years
Age at visit: 54 years
Age at visit: 54 years (Visit 2)
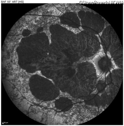
Age at visit: 55 years
Age at visit: 55 years (Visit 2)
Age at visit: 57 years
Age at visit: 58 years
Age at visit: 59 years
Age at visit: 61 years
Age at visit: 62 years
Age at visit: 64 years
Age at visit: 66 years

Diagnosis & molecular findings

Disease Gene Allele 1 variant(s) Allele 2 variant(s) Inheritance mode
AR Stargardt Disease ABCA4 Gly1507Arg GGG>AGG IVS42+1 G>A AR
Gene:
Allele 1:
Gly1507Arg GGG>AGG
Allele 2:
IVS42+1 G>A
Inheritance:
AR
Cite this case