SR184

AR Stargardt Disease (IIA)

Male

Male

SR184

AR Stargardt Disease (IIA)

Male

Male

Highlighted Images

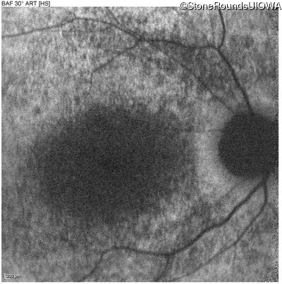
Age at visit: 6 years
OD OS

History

This 6 year old male first experienced a loss of visual acuity at age 5. His acuity was previously normal. He is otherwise healthy.

Pedigree

Age at visit: 5 years
Age at visit: 6 years
Age at visit: 7 years
Age at visit: 8 years
Age at visit: 9 years
Age at visit: 11 years
Age at visit: 12 years
Age at visit: 13 years
Age at visit: 14 years
Age at visit: 17 years

Diagnosis & molecular findings

Disease Gene Allele 1 variant(s) Allele 2 variant(s) Inheritance mode
AR Stargardt Disease ABCA4 IVS9+1 G>A IVS37+1 G>A AR
Gene:
Allele 1:
IVS9+1 G>A
Allele 2:
IVS37+1 G>A
Inheritance:
AR
Cite this case