SR1869

AR Stargardt Disease (IIA)

Female

Female

SR1869

AR Stargardt Disease (IIA)

Female

Female

Highlighted Images

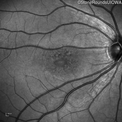
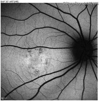
Age at visit: 20 years
OD OS

History

This 20 year old man first noticed some difficulty reading the board at school in 9th grade 20 in 2017

Pedigree

Age at visit: 20 years
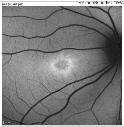
Age at visit: 22 years

Diagnosis & molecular findings

Disease Gene Allele 1 variant(s) Allele 2 variant(s) Inheritance mode
AR Stargardt Disease ABCA4 Gly607Arg GGG>AGG Gly1961Glu GGA>GAA AR
Gene:
Allele 1:
Gly607Arg GGG>AGG
Allele 2:
Gly1961Glu GGA>GAA
Inheritance:
AR
Cite this case