SR1886

Wagner Disease (IIIE4)

Male

Male

SR1886

Wagner Disease (IIIE4)

Male

Male

Highlighted Images

Age at visit: 41 years
OD OS

History

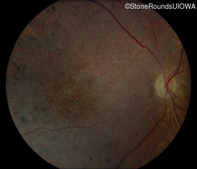
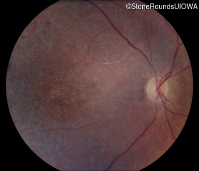
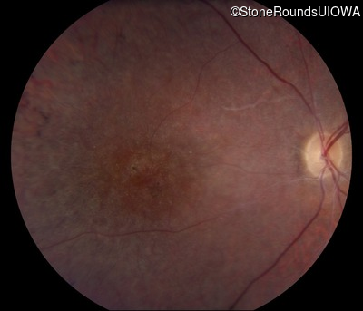
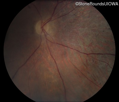
This 41 year old man first came to medical attention at age 18 months when exotropia and amblyopia of his right eye were discovered. At age 11 vitreous strands and retinal vascular sheathing were seen. He has had poor night vision and constricted visual fields since his late teens. Later, at age 44 a traction retinal detachment was noted in his left eye and was treated with a scleral buckle.

Pedigree

Age at visit: 9 years
*Acuities for this visit are inferred from other visits in this case.
Age at visit: 19 years
Age at visit: 28 years
Age at visit: 29 years
Age at visit: 30 years
Age at visit: 36 years
Age at visit: 38 years
Age at visit: 40 years
Age at visit: 41 years
Age at visit: 42 years
Age at visit: 43 years
Age at visit: 44 years
Age at visit: 44 years (Visit 2)
Age at visit: 44 years (Visit 3)
Age at visit: 44 years (Visit 4)
Age at visit: 44 years (Visit 5)
Age at visit: 45 years
Age at visit: 46 years
Age at visit: 48 years
Age at visit: 49 years
Age at visit: 50 years
Age at visit: 51 years

Diagnosis & molecular findings

Disease Gene Allele 1 variant(s) Allele 2 variant(s) Inheritance mode
Wagner Disease VCAN IVS7-1 G>A   AD
Disease:
Gene:
Allele 1:
IVS7-1 G>A
Allele 2:
 
Inheritance:
AD
Cite this case